Acta Neurológica Colombiana
0120-8748
Asociación Colombiana de Neurología
https://doi.org/10.22379/24224022211

Recibido: 4 de agosto de 2018; Aceptado: 2 de junio de 2018

Vasculitis primaria del sistema nervioso central, un reto diagnóstico. Reporte de caso


Primary vasculitis of the central nervous system, a diagnostic challenge. Case report

M. Silva Soler, (1)A. Quintero, (2)A. González, (3)*

Neurólogo clínico, Fundación Universitaria Ciencias de la Salud, Bogotá, Colombia. Hospital de San de José, Bogotá, Colombia. Coordinador académico, Servicio de Neurología, Hospital de San José, Bogotá, Colombia. Fundación Universitaria Ciencias de la Salud Bogotá Colombia
Neurorradióloga, Clínica Reina Sofía, Bogotá, Colombia. Clínica Reina Sofía Bogotá Colombia
Residente de segundo año de Neurología, Fundación Universitaria Ciencias de la Salud Hospital de San José, Bogotá, Colombia. Fundación Universitaria Ciencias de la Salud Hospital de San José Bogotá Colombia

Correspondencia: Aura Virginia González, avgonzalez@fucsalud.edu.co

RESUMEN

La angeítis primaria del sistema es una rara entidad, en la cual hay destrucción y compromiso inflamatorio de los vasos del sistema nervioso central. Con frecuencia, es subdiagnosticada por sus múltiples formas de presentación clínica y por los hallazgos en neuroimágenes que pueden simular otras patologías, lo que retrasa el diagnóstico y el manejo oportuno. Este tipo de vasculitis es muy poco comprendida y no existen suficientes estudios en la actualidad respecto a su fisiopatología y manejo. Los marcadores inflamatorios suelen ser normales, con alteración del LCR en un 80-90 % de los casos y la arteriografía cerebral puede mostrar un patrón típico descrito como áreas alternantes de dilatación y estenosis; sin embargo, con muy baja sensibilidad. Ante una alta sospecha clínica y ausencia de pruebas diagnósticas no invasivas, el diagnóstico se realiza a través de biopsia de las lesiones cerebrales y meninges. Finalmente, el tratamiento se basa en combinación de corticoides y ciclofosfamida, aunque se carece de estudios controlados que lo soporten.

PALABRAS CLAVES:

angeítis primaria, vasculitis, sistema nervioso central, ciclofosfamida, demencia, neoplasia cerebral (DeCS).

SUMMARY

Primary angiitis of the central nervous system is a rare condition in which there is destruction and inflammatory involvement of the vessels of the central nervous system. It is often underdiagnosed given its multiple forms of clinical presentation and neuroimaging findings that can mimic other pathologies delaying diagnosis and management. This type of vasculitis is very poorly understood and there are not enough studies at present regarding the pathophysiology and management. Inflammatory markers are usually normal with abnormal CSF in 80-90 %% of cases and cerebral arteriography may show a typical pattern described as in "Rosario" however with very low sensitivity. Given the persistence of high clinical and absence of non-invasive diagnostic tests suspect the final diagnosis is made by biopsy of brain lesions and meninges. Finally, treatment is based on a combination of corticosteroids and cyclophosphamide however has not controlled studies support it.

KEY WORDS:

primary angiitis, vasculitis, central nervous system, cyclophosphamide, dementia, brain neoplasms (MeSH).

INTRODUCCIÓN

La vasculitis primaria del sistema nervioso central fue descrita inicialmente en 1950 como una angeítis granulomatosa, de acuerdo con los hallazgos postmórten de la época. A través del tiempo, con la descripción de múltiples casos y el mayor conocimiento de la patología, se han hecho grandes aportes y se la ha reconocido como una entidad independiente que compromete solo vasos pequeños, exclusivamente del sistema nervioso central 1. Las manifestaciones clínicas no son típicas ni específicas, lo que dificulta el enfoque diagnóstico, y los hallazgos en neuroimágenes no son patognomónicos, incluso pueden presentarse como lesiones ocupantes de espacio. El abordaje inicial debe excluir los principales diagnósticos diferenciales y ante una alta sospecha clínica, confirmar el diagnóstico a través de la biopsia meníngea y cerebral, para ofrecer oportunamente un tratamiento adecuado y evitar complicaciones como la muerte 2,3. A continuación, se presenta el caso de una paciente que debuta con una demencia rápidamente progresiva y en quien los estudios de extensión no fueron conclusivos para el diagnóstico.

REPORTE DE CASO

Se trata de una paciente de 65 años, con cuadro clínico de tres meses de evolución que inicia con episodios de irritabilidad, apatía, bradipsiquia, bradilalia, pensamiento y discurso incoherente, con progresión rápida de los síntomas, parafasias fonéticas y semánticas, episodios de desorientación en espacio y en tiempo. Recientemente, no reconoce a sus familiares, por lo cual ellos deciden acudir al servicio de urgencias del hospital de San José en la ciudad de Bogotá. En la revisión por sistemas se encuentran síntomas gastrointestinales como, ocasionalmente, deposiciones blancas en cintilla, insomnio de mantenimiento con sueño fragmentado y despertares frecuentes desde hace un año. Como antecedentes de importancia, presencia de gastritis y reflujo gastroesofágico desde 6 años que había sido manejada con ranitidina.

Al examen físico se encuentra a la paciente en regular estado general, con signos vitales estables, muy poco colaboradora, orientada en persona, desorientada en tiempo y en espacio, bradipsíquica, hipoproséxica, responde a algunas preguntas sencillas, con labilidad emocional, llanto fácil, sin que se logre valorar el resto de las funciones mentales superiores por su estado clínico, bradilálica. Nomina, repite y obedece ordenes sencillas. No hay compromiso de pares craneales, tampoco focalización motora ni sensitiva, y no hay movimientos anormales.

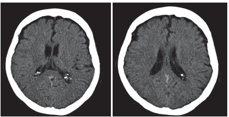
Al ingreso a la institución se considera que la paciente cursa con un cuadro clínico sugestivo de demencia rápidamente progresiva, se toma TAC (tomografía axial computarizada) simple, la cual no muestra áreas de isquemia, sangrado ni lesiones que ocupen espacio (figura 1).

TAC cráneo simple, imágenes en cortes axiales. No se identifica isquemia ni sangrado agudo, línea media conservada, no hay lesiones parenquimatosas que ocupen espacio.

Figura 1: TAC cráneo simple, imágenes en cortes axiales. No se identifica isquemia ni sangrado agudo, línea media conservada, no hay lesiones parenquimatosas que ocupen espacio.

Se realiza punción lumbar con presión de apertura normal, pleocitosis leve con leucocitos de 6 y proteínas levemente elevadas de 55 mg/dl. Gram y VDRL negativo, relación glucosa líquido cefalorraquídeo (LCR) y sérica normal, PCR para virus de Epstein Barr, mycobacterium, herpes simplex tipo I y II, varicela zoster negativo, ADA normal. Se solicitan estudios de extensión con VIH negativo, perfil inmunológico negativo y estudios en búsqueda de patología neoplásica negativos (endoscopia y colonoscopia negativas para malignidad).

Las imágenes de resonancia magnética (RM) muestran múltiples lesiones intraaxiales, mal definidas, algunas confluentes, hiperintensas en T2 y FLAIR (fluid attenuated inversion recovery), sin mostrar restricción en la difusión. Las lesiones están localizadas en ambos lóbulos temporales, en el centro semioval izquierdo, en la región temporooc-cipital derecha, en la frontotemporal izquierda, tálamo y pedúnculo cerebral izquierdo. Hay realce nodular, luego del contraste en las lesiones temporooccipital derecha y en la frontotemporal izquierda. No se observó realce leptomeníngeo (figura 2)

Resonancia magnética cerebral simple y contrastada, resonador GE, 1,5 T. A: FLAIR, B Y C: T2 D:T1 + C. A, B Y C: aumento de la señal T2 y FLAIR en la región temporal, frontal, gangliobasal, pedúnculo cerebral izquierdo y región occipito-temporal derecha. D: realce al medio de contraste en regiones temporal izquierda y occipito-temporal derecha.

Figura 2: Resonancia magnética cerebral simple y contrastada, resonador GE, 1,5 T. A: FLAIR, B Y C: T2 D:T1 + C. A, B Y C: aumento de la señal T2 y FLAIR en la región temporal, frontal, gangliobasal, pedúnculo cerebral izquierdo y región occipito-temporal derecha. D: realce al medio de contraste en regiones temporal izquierda y occipito-temporal derecha.

De acuerdo con el cuadro clínico y los hallazgos en la resonancia cerebral, se consideran diagnósticos diferenciales el linfoma angiocéntrico y la vasculitis primaria del sistema nervioso central, por lo que se complementaron estudios con una panangiografía cerebral la cual no mostró alteración de las estructuras vasculares arteriales.

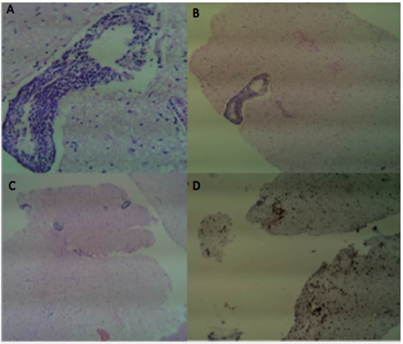
Ante la alta sospecha clínica de vasculitis primaria se decide realizar biopsia de la lesión encontrada en resonancia cerebral, para lo cual fue valorada por neurocirugía, que toma biopsia de la corona radiada derecha con reporte de patología que muestra un proceso con infiltración linfoide policlonal predominantemente T, con localización perivascular que plantea como primera posibilidad diagnostica vasculitis cerebral (figura 3).

Coloración hematoxilina y eosina en diferentes aumentos A. 40X. B. 10X. C. 4X. D. Marcador de inmunohistoqumica CD34 que resalta las células endoteliales de las estructuras vasculares. Muestra el parénquima cerebral con proceso infiltrativo linfoide policlonal predominantemente T con localización perivascular que plantean como primera posibilidad diagnóstica vasculitis cerebral.

Figura 3: Coloración hematoxilina y eosina en diferentes aumentos A. 40X. B. 10X. C. 4X. D. Marcador de inmunohistoqumica CD34 que resalta las células endoteliales de las estructuras vasculares. Muestra el parénquima cerebral con proceso infiltrativo linfoide policlonal predominantemente T con localización perivascular que plantean como primera posibilidad diagnóstica vasculitis cerebral.

Se inicia manejo con bolos de metilprednisolona, a dosis de 1 g/día por cinco días, y se administra primera dosis de ciclofosfamida, con lo cual hay franca mejoría clínica. Posteriormente, presenta deterioro neurológico, a pesar de la aplicación de dos ciclos más, por lo cual se plantea en conjunto con reumatología manejo con rituximab.

DISCUSIÓN

La vasculitis primaria del sistema nervioso central es una patología que afecta específicamente los vasos de pequeño y mediano calibre del cerebro o de la médula espinal, sin compromiso de otros órganos. En la actualidad, los datos epidemiológicos son limitados, ya que existen pocos estudios al respecto, al tratarse de una patología rara, subdiagnosticada, de la cual no hay un amplio conocimiento de su fisiopatología y manejo. La edad media del diagnóstico en adultos es a los 50 años, aproximadamente y tiene igual prevalencia en hombres y en mujeres 4,5.

Las manifestaciones clínicas incluyen focalización neurológica, como hemiparesia o afasia, crisis focales complejas, deterioro cognitivo, alteración del estado de conciencia, encefalopatía o cefalea. El inicio puede ser súbito 4,6 o con progresión gradual de los síntomas. No hay presencia de síntomas constitucionales ni pérdida de peso, ni otros síntomas que sugieran compromiso de órganos diferentes 6,7.

La fisiopatología es poco comprendida, las manifestadones clínicas pueden ser secundarias a eventos isquémicos o hemorrágicos hasta en un 50 %, debido al engrosamiento de los vasos y la obstrucción de la pared por infiltrados inflamatorios perivasculares, lo que se asocia al aumento de factores procoagulantes locales y disfunción del tono vasomotor, y esto último puede también debilitar las paredes de los vasos y ser la causa de hemorragias intraparenquimatosas. En la actualidad, hay hipótesis que sugieren como probable etiología la exposición previa a procesos infecciosos que pudieran desencadenar la respuesta inmunológica e inflamatoria que explique la presencia de infiltrados. Sin embargo, esto no se ha comprobado 4,2.

Existen tres patrones histopatológicos en el espectro de esta patología que, de igual manera, afecta las arteriolas, los capilares y las vénulas del parénquima cerebral y meninges: el granulomatoso, el linfocitico y el necrotizante. Este último es el menos frecuente 8,9.

La vasculitis granulomatosa es la más frecuente (58 % de los casos), con presencia de células mononucleares y granulomas con células multinucleadas, la cual corresponde a las descripciones iniciales de la patología en estudios postmórten 1. El compromiso puede ser segmentario incluso en el mismo vaso 4-6. Hay presencia de depósitos beta amiloide en al menos el 50 °% de los pacientes, lo cual podría estar en correlación con la etiología de este patrón, según modelos en ratones transgénicos 6. El segundo patrón más frecuente es el linfocítico (28 %), en el que se evidencia infiltrado de predominio linfocítico tipo T perivascular, frecuentemente con angiografía normal, dado el compromiso de vasos de pequeño calibre con presencia de distorsión y destrucción vascular. Finalmente, la variante necrotizante, menos frecuente (14 °% de los casos), se caracteriza por necrosis fibrinoide transmural que favorece el debilitamiento de las paredes de los vasos, lo que predispone a la formación de aneurismas y rupturas 1.

Dentro de los estudios de extensión para el abordaje inicial de los pacientes con sospecha clínica, se deben descartar los principales diagnósticos diferenciales, para lo cual se considera contar con un perfil inmunológico completo, reactantes de fase aguda -los cuales son normales en esta entidad- y descartar procesos infecciosos activos o presencia de malignidad, ya que las manifestaciones clínicas pueden ser similares a un síndrome paraneoplásico. Clásicamente, los hallazgos en liquido cefalorraquídeo presentan pleocitosis leve < 20 (0-575 células/ml), con hiperproteinorraquia <120 (5-1034 mg/dl), glucosa normal y puede haber presencia de bandas oligoclonales. Estos hallazgos se documentan en un 80-90 °% de los casos. En los estudios por imágenes, la panangiografía cerebral es una herramienta útil y en ocasiones definitiva para el diagnóstico. El patrón típico se caracteriza por áreas alternantes de estenosis y dilatación de arterias endocraneanas, lo que recuerda o simula un patrón en rosario. Estos hallazgos pueden estar presentes en otro tipo de patologías, como vasoespasmo, ateroesclerosis y procesos infecciosos 10. La sensibilidad de la arteriografía varia entre 40 y 90 %%, con una especificad baja de 30 %%, lo cual sugiere que, a pesar de que existan hallazgos normales, no se descarta la presencia de esta patología 1.

Los hallazgos en neuroimágenes varían ampliamente, pueden simular diversas patologías y no son específicos. Hay compromiso de sustancia gris y blanca, cortical y subcortical, y se visualizan como lesiones intraaxiales, hiperintensas en T2 y FLAIR. En un tercio de los casos se observa realce anormal con el contraste 6. Se pueden presentar infartos y hemorragias hasta en un 50 °% de los casos; también se puede observar realce leptomeníngeo 11. En ocasiones, estas lesiones parenquimatosas pueden tener apariencia similar a tumores 6-1.

El diagnóstico se basa en tres características principales. Entre ellas, se sugiere descartar en primera instancia otra patología que pudiera explicar los síntomas y hallazgos imagenológicos; se debe confirmar la presencia de vasculitis a través de biopsia cerebral y finalmente, que este compromiso sea restringido al sistema nervioso central 12,1).

Los hallazgos histopatológicos se basan en los tres patrones previamente mencionados; sin embargo, hay quienes indican que para confirmar el diagnóstico se requiere la presencia de daño de la pared vascular asociado a inflamación transmural 1. En la actualidad, la biopsia es considerada la prueba de oro para el diagnóstico y debe realizarse tomando muestra de la lesión a nivel intraparenquimatoso y de meninges; se recomienda que para aumentar el rendimiento se realice a cielo abierto 6. Los hallazgos histopatológicos pueden ser idénticos a los encontrados en pacientes con linfoma; no obstante, la única manera de diferenciarlos es a través de análisis molecular e inmunohistoquímica 6,13,14.

Entre los principales diagnósticos diferenciales se encuentran la ateroesclerosis, la displasia fibromuscular, la enfermedad de moya moya, el síndrome de vasoconstricción cerebral posterior reversible, la angeítis migrañosa, el consumo de anfetaminas, de cocaína, el linfoma angiocéntrico, la gliomatosis cerebri, CADASIL y procesos infecciosos como el virus de varicela zoster, hepatitis C, tuberculosis o neoplasias 6,8.

A pesar de los avances y grandes aportes para tipificar esta patología, aún no existen ensayos clínicos aleatorizados que respalden el tratamiento. Las estrategias utilizadas en la práctica clínica se basan en el manejo de otro tipo de vasculitis y resultados obtenidos en los reportes de caso 12. Se indica manejo inicial con corticoides endovenosos posteriormente al diagnóstico y de acuerdo con el estado clínico del paciente, se adiciona al manejo ciclofosfamida con aplicación mensual por seis meses. Como mantenimiento se pueden utilizar medicamentos inmunosupreso-res entre los cuales se incluye micofenolato, azatioprina o metotrexate 1.

De acuerdo con los hallazgos hechos en la cohorte de la clínica de mayo, en los pacientes en quienes se documenta compromiso principalmente de vasos de pequeño calibre, con angiografía normal y biopsia cerebral positiva, se ofrece en primera instancia manejo con corticoide oral o endovenoso, de acuerdo con la condición clínica del paciente. Si hay respuesta se hará disminución progresiva de la dosis; si no, se adiciona al manejo ciclofosfamida; y, en caso de que no haya mejoría clínica, se considerará inicio de bloqueadores de factor de necrosis tumoral o rituximab 13. Cuando haya compromiso proximal de vasos de gran calibre, con arteriografía positiva y presencia de infartos cerebrales, se deberá realizar terapia de inducción con bolos de metilprednisolona a dosis de 1 mg/kg/día por 3-5 días y ciclofosfamida a 0,75 g/m2 mensual por seis meses 15. En caso de obtener respuesta se dejará dosis de mantenimiento con prednisona y azatioprina o micofenolato. Si no hay respuesta, se considerará manejo con rituximab o bloqueadores de TNF 13,15.

Los pacientes con mejor pronóstico son aquellos en quienes se documenta compromiso de vasos de pequeño calibre, con arteriografía cerebral negativa, realce leptomeníngeo en neuroimágenes y compromiso cognitivo dentro de las manifestaciones clínicas 15.