Acta Neurológica Colombiana
0120-8748
Asociación Colombiana de Neurología
https://doi.org/10.22379/24224022210

Recibido: 18 de diciembre de 2017; Aceptado: 22 de mayo de 2018

Manejo endovascular de estenosis vertebral intracraneal con stent coronario balón expandible: reporte de dos casos y revisión de la literatura


Endovascular management of intracranial vertebral stenosis with a coronary balloon-expandable-stent: report of two cases and literature review

J. López-Esparza, (1)*E. Chiquete, (2)O. Pichardo, (3)M. Amancha-Gabela, (4)C. Díaz-Pacheco, (1)O. Vargas, (1)V. Torres, (1)N. Serna-Arroyave, (1)B. Pabón-Guerrero, (1)

Servicio de Neurointervencionismo, Hospital Angiosur, Medellín, Colombia. Hospital Angiosur Medellín Colombia
Departamento de Neurología y Psiquiatría, Instituto Nacional de Ciencias Médicas y Nutrición Salvador Zubirán, Ciudad de México, México. Departamento de Neurología y Psiquiatría Instituto Nacional de Ciencias Médicas y Nutrición Salvador Zubirán Ciudad de México México
Servicio de Neurointervencionismo, ISSSTE Hospital Regional 1.o de Octubre, Ciudad de México, México. ISSSTE Hospital Regional Ciudad de México México
Servicio de Neurología, Hospital Luis Yernaza, Guayaquil, Ecuador. Hospital Luis Yernaza Guayaquil Ecuador

Correspondencia: Jorge Octavio López Esparza, neurogeorge@gmail.com

RESUMEN

INTRODUCCIÓN:

El manejo endovascular de la estenosis de la arteria vertebral en pacientes con infarto cerebral recurrente continúa siendo un tema con múltiples lagunas de conocimiento debido a la poca evidencia científica con la que se cuenta en la actualidad.

CASOS CLÍNICOS:

Se informan dos casos típicos de estenosis vertebral y recurrencia de infarto cerebral cerebral manejados con dispositivos endovasculares alternativos a los utilizados en la actualidad (stent balón expandible medicado con zotarolimus), con desenlaces clínicos e imagenológicos satisfactorios. Se describe la técnica usada, la condición clínica y se ilustran los resultados angiográficos.

CONCLUSIÓN:

A la luz de las nuevas generaciones de dispositivos y técnicas neuroendovasculares, consideramos que debe realizarse una evaluación cuidadosa e individual de los pacientes con recurrencia de enfermedad cerebrovascular y estenosis vertebral, a pesar de un manejo médico optimizado. Aún se requieren estudios conrolados que permitan la uniformidad futura en la selección de pacientes y la toma de decisiones.

PALABRAS CLAYES:

Aterosclerosis, Insuficiencia vertebrobasilar, Stents (DeCS).

SUMMARY

INTRODUCTION:

Endovascular management of vertebral artery stenosis in patients with recurrent cerebral infarction remains a topic with multiple gaps in knowledge because of poor scientific evidence is available today.

REPORT OF CASES:

Here are reported two typical cases of cerebral infarction recurrence due to vertebral artery stenosis managed with new endovascular devices (balloon-expandable-stent medicated with zotaroli-mus), with satisfactory clinical and neuroimaging outcomes. Herein it is described the technique used and the angiographic findings are illustrated.

CONCLUSION:

In light of new devices and neurointerventional techniques, we consider that it should be done a careful and individual evaluation of patients with vertebral stenosis and stroke recurrence despite an optimized medical management. It is still required more studies that allow future consistency in the selection of patients and decision making.

KEY WORDS:

Atherosclerosis, Yertebrobasilar insufficiency, Stents (MeSH).

INTRODUCCIÓN

El accidente cerebro vascular (ACY) es la segunda causa de muerte y representa la principal causa de discapacidad a escala mundial, con una incidencia calculada para América Latina que oscila entre 35 y 183 por 100.000 habitantes. La incidencia de ACY reportada para la población de Colombia es del 88,9 por 100.000 habitantes, con una prevalencia en mayores de 50 años de 19,9 por 1000, según el Estudio Epidemiológico Nacional (Epineuro) 1. La recurrencia anual de ACY puede alcanzar hasta el 34 %.

La enfermedad aterosclerótica intracraneal (EAI) representa entre el 15 y el 54 %% de los casos de ACY, dependiendo de la población estudiada. Los estudios WASID 2 y WARSS 3 evidenciaron menores grados de mortalidad y conversión hemorrágica en pacientes sometidos a manejo médico con ácido acetil salicílico cuando se comparó con-warfarina; sin embargo, la recurrencia alcanzó el 19 %% a dos años en el primer estudio. La poca evidencia científica con que se cuenta, que compare el manejo médico óptimo con respecto a angioplastia y stent transluminal percutáneo (PTAS, por sus siglas en inglés) en el contexto de EAI, proviene básicamente de dos ensayos clínicos controlados: The Vitesse Intracranial Stent Study for Ischemic Therapy (YISSIT) 4 y Stenting vs Aggressive Medical Management for Prevention of Recurrent Ischemic Stroke (SAMMPRIS) 5, los cuales fueron suspendidos tempranamente debido a la presencia de mayor de ACY/muerte en la población sometida a PTAS. Sin embargo, cabe señalar que en el estudio SAMMPRIS se incluyó solamente el 13 %% de pacientes con estenosis de arterias vertebrales, en tanto que en el estudio YISSIT dicho porcentaje no se reportó. Además, en estos ensayos clínicos no se incluyeron estenosis menores al 70 %%. En el estudio YISSIT no se documentó tabaquismo en más de la mitad de los pacientes y la mayor parte de los individuos reclutados fueron hombres de raza blanca.

Con la reciente publicación del estudio Stenting for Symptomatic Vertebral Artery Stenosis (YIST) 6, que incluyó a 182 pacientes y comparó el manejo médico óptimo aunado a PTAS vertebral vs. solo manejo médico, y evaluó la recurrencia de ACY en pacientes con EAI y enfermedad aterosclerótica extracraneal (EAE), se evidenciaron ACY en cinco pacientes (un caso fatal) incluidos en el grupo de PTAS, en comparación con doce en el grupo de manejo conservador (un caso fatal). Cabe señalar que la mayor parte de los pacientes con desenlaces desfavorables tenían estenosis intracraneales. Luego de tres años y medio de seguimiento clínico hubo una diferencia no significativa del riesgo de recurrencia en el grupo de PTAS y una menor probabilidad acumulada de ACY. Un total de 56 casos (63,7 %%) se realizaron con stent balón expandibles.

La siguiente serie representa dos casos de tratamiento médico óptimo aunado a PTAS en el contexto de EAI, en los que se utilizó un stent coronario medicado con zotarolimus en dos pacientes con ACY recurrente, a pesar del manejo médico óptimo.

REPORTE DE CASO

Caso 1

Se presenta el caso de un hombre afrocolombiano de 52 años, con lateralidad manual diestra, historia de hipertensión arterial sistémica, diabetes mellitus tipo 2 y dislipidemia, tabaquismo suspendido hace 15 años, historia de ataque isquémico transitorio (AIT) de alto riesgo (ABCD2: siete puntos) de circulación posterior manifestado por disartria, vértigo, disimetría y disdiadococinecia izquierdas con recuperación ad integrum en el lapso de 12 min. Se realizó angioresonancia magnética evidenciando estenosis del la arteria vertebral del 80 % en su segmento intradural (Y4) lo cual fué corroborado por el método utilizado en el estudio: North American Symptomatic Carotid Endarterectomy Trial (NASCEI) 7.

En la angiografía por sustracción digital se decide optimizar el manejo médico previamente a su egreso, hasta alcanzar metas metabólicas y de cifras de presión arterial en las evaluaciones subsecuentes, además de añadir al manejo ácido acetil salicílico 100 mg y clopidogrel 75 mg diariamente. El paciente cuatro meses después presenta ACY en el mismo territorio arterial, sin ser sometido a terapia de reperfusión, con un puntaje en la escala de los Institutos Nacionales de Salud de los Estados Unidos (NIHSS, por sus siglas en inglés) de siete puntos, y se clasifica en la escala funcional de Rankin modificada (mRS, por sus siglas en inglés) en dos puntos, con secuelas por síndrome cerebeloso izquierdo manifestado por disartria cerebelosa, dismetría y disdiadococinecia discretas, así como gran asinergia de Babinski. Por ello, a pesar del manejo médico óptimo, se decide realizar PTAS al día diez del evento.

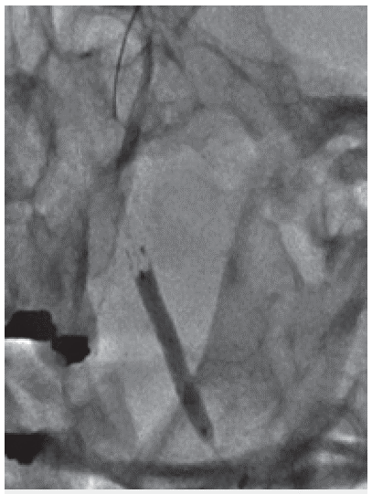
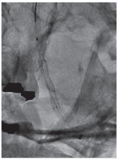
En un inicio, se utilizó stent intracraneal autoexpandible, sin objetivar complicaciones y con mejoría angiográfica que evidenció estenosis residual menor del 30 %%, sin cambios en la evolución clínica. Sin embargo, luego de un mes, se evidencia reestenosis del 90 %% en la angiografía por sustracción digital, por lo que se decide someter a PTAS con stent coronario balón expanible medicado con zotarolimus. Hasta el momento, con un seguimiento clínico de seis meses, no se han evidenciado complicaciones asociadas al dispositivo ni recurrencia de ACY (figuras 1-4).

Estenosis de la arteria vertebral izquierda en origen de la arteria cerebelosa posteroinferior

Figura 1: Estenosis de la arteria vertebral izquierda en origen de la arteria cerebelosa posteroinferior

Ascenso de microcateter asistido con microguía hidrofilica para la liberación controlada de stent coronario medicado

Figura 2: Ascenso de microcateter asistido con microguía hidrofilica para la liberación controlada de stent coronario medicado

Liberación controlada de stent coronario balón expandible

Figura 3: Liberación controlada de stent coronario balón expandible

Reconstrucción arterial final de todo el segmento estenótico

Figura 4: Reconstrucción arterial final de todo el segmento estenótico

Caso 2

Mujer afrocolombiana de 62 años, con lateralidad manual diestra, historia de hipertensión arterial sistémica, diabetes mellitus tipo 2 y dislipidemia, historia de ACY de circulación posterior manifestado por diplopía, vértigo, disartria y dismetría, NIHSS de cuatro puntos, sin ser sometida a terapia de reperfusión y con evidencia de isquemia en secuencia FLAIR de resonancia magnética en el mismo territorio arterial.

Se realizó angiorresonancia magnética, la cual evidenció estenosis del 70 %% en la cuarta porción (Y 4) de la arteria vertebral derecha, lo que se corrobora por método NASCET evidenciado en 80 %%. Se decidió optimizar el manejo médico previamente a su egreso, hasta llegar a metas metabólicas y de cifras de presión arterial en las evaluaciones subsecuentes, además de añadir al manejo ácido acetil salicílico 100 mg y clopidogrel 75 mg diariamente. Dos meses después, la paciente presentó ACY en el mismo territorio arterial, con un puntaje NIHSS de doce puntos y clasificada con un punto en la escala mRS antes del evento, con secuelas clínicas por disartria leve. Por lo comentado, se decide realizar PTAS al día doce del evento, con stent balón expandible coronario medicado con zotarolimus. En el seguimiento a seis meses no se revelan complicaciones asociadas al dispositivo ni recurrencia de ACY

Descripción técnica

A través de un acceso femoral con introductor vascular corto 6F multipropósito, se infiltraron 200 μg de nitroglicerina profiláctica en el contexto de espasmo de la arteria radial. En roadmap se avanzó un catéter guía 6F (CHAPERON®) hasta el inicio de la porción previa a la estenosis del eje vertebral afectado. Al sitio de estenosis se llevó un catéter intermedio de acceso distal (SOFIA 5F®) sin asistencia de microcatéteres (SNAKE: Sofia Nonwire Advancement Technike) 8. Posteriormente, conformando un sistema triaxial, se avanzó un microcateter Headway 27, por medio del cual se realizó la liberación controlada de un stent coronario balón expandible medicado con zotarolimus (Resolute Integrity System®).

DISCUSIÓN

El presente estudio aborda un área con múltiples directrices dentro de la neurología vascular y el neurointerven-cionismo, esto puede deberse a que los territorios vasculares involucrados en pacientes con estenosis intracraneales son altamente elocuentes y la experiencia informada en otras publicaciones ha apoyado la teoría de que "más es menos", es decir, el manejo conservador ha presentado mejores resultados. El estudio SAMMPRIS, en particular, proveyó evidencia en contra del tratamiento endovascular con colocación de stent. En análisis posteriores se identificaron evoluciones más tórpidas, específicamente cuando se trataron lesiones asintomáticas en circulación posterior. De manera particular, en todos los segmentos de la arteria basilar, incluyendo los aneurismas fusiformes de larga evolución tratados con diversores de flujo. Se han generado múltiples teorías para explicar dicho efecto y el comportamiento tan diferente en relación con otras partes de la circulación sistémica, incluida la cardiaca. Se ha propuesto que la diferencia de las capas musculares y las presiones de pequeños vasos puede ser el origen, sin embargo, la mayoría de estas teorías se dirigen en relación con la oclusión de ramos perforantes, la cual puede estar relacionada con los microfragmentos embólicos que se producen durante la colocación del stent o la angioplastía (efecto de arado de nieve), ocluyendo el ostium de dichos ramos.

En esta serie se presentan dos casos que evidenciaron síntomas recurrentes de ACY con una oclusión proximal al origen de la arteria basilar. La posibilidad de mejorar el flujo hemodinámico en los territorios troncoencefálicos, dejándolos libres de turbulencia y detrito posteriormente a la angioplastía, es el argumento que sustenta este tratamiento. Por el contrario, de mantenerse sin tratamiento, la posibilidad de extensión distal de la estenosis es alta y, por tanto, las malas experiencias reseñadas en estudios ya publicados se podrían hacer patentes. Un tema que parece relevante es que la fuerza radial aplicada en el vaso puede ser determinante del éxito del tratamiento, por lo que la navegabilidad y la capacidad de compactación de la estenosis debe ser una combinación imprescindible del stent que se utilice en casos similares a los aquí descritos, además de las medidas farmacológicas implícitas en los neurodispositivos, con el fin de evitar la reestenosis.

Los dispositivos utilizados en la actualidad han experimentado importantes mejorías 9, teniendo en cuenta las deficiencias identificadas con anterioridad, además de que las técnicas individuales de los neurointervencionistas en todo el mundo se han depurado, y con ello se han logrado mejores resultados que los reportados a principios de esta década.

CONCLUSIÓN

La presente serie expone dos casos de manejo neuroendovascular, en el contexto de estenosis vertebral con ACY recurrente a pesar de un manejo médico óptimo. Consideramos que debe hacerse una evaluación cuidadosa e individual de los casos, debido a que la evidencia científica aún es poca y con limitaciones en la selección de los pacientes reclutados en los ensayos clínicos. Múltiples series de casos han reportado desenlaces favorables en pacientes sometidos a PTAS, además de que en la actualidad se cuenta con dispositivos de nueva generación y nuevas técnicas de abordaje que pueden permitir, hipotéticamente, un mejor desenlace primario en el contexto de pacientes con ACY secundaria a estenosis de las arterias vertebrales.