Recibido: 7 de julio de 2024; Revision Received: 13 de enero de 2025; Aceptado: 15 de abril de 2025; : 24 de junio de 2025
Intoxicación por metanol
Methanol intoxication
Resumen
Introducción:
La intoxicación por metanol (IM) no es infrecuente en nuestro país. Las manifestaciones clínicas son variadas y con frecuente compromiso neurológico y del nervio óptico. Su diagnóstico temprano y el tratamiento oportuno disminuyen la morbimortalidad asociada a la IM.
Materiales y métodos:
Se realiza una revisión no sistemática de la literatura sobre la epidemiología, la toxicocinética, la fisiopatología, las manifestaciones clínicas, el diagnóstico, el tratamiento y el pronóstico de la IM.
Resultados:
La IM corresponde al 1,1 % de las intoxicaciones en Colombia. El conocimiento del metabolismo del metanol, del efecto toxico de sus metabolitos y de sus principales manifestaciones clínicas facilitan su diagnóstico y la instauración de tratamientos específicos. El fomepizol y la eritropoyetina (EPO) son fármacos que ayudan a disminuir el daño tisular por la IM. Uno de cada cinco pacientes con IM fallece y hasta el 40,0 % queda con secuelas neurológicas.
Conclusiones:
En Colombia, la IM es frecuente. La acumulación de metabolitos tóxicos produce acidemia y neurotoxicidad, sin embargo, se pueden disminuir sus consecuencias mediante el diagnóstico temprano y la instauración de medidas que inhiban su metabolismo y aceleren la eliminación del metanol y los meta-bolitos. La EPO (eritropoyetina) surge como alternativa para mejorar el pronóstico visual de los pacientes.
Palabras clave:
alcohol deshidrogenasa, aldehído deshidrogenasa, etanol, fomepizol, formaldehído, metanol, nervio óptico, mortalidad, ácido láctico.Abstract
Introduction:
Methanol Intoxication (MI) is not unusual in Colombia. The clinical presentation is protean, often with neurologic and optic nerve damage. Morbimortality can be diminished with a timely diagnosis and treatment.
Materials and methods:
A non-systematic literature review of the epidemiology, toxicokinetics, pathophysiology, clinical presentation, diagnosis, treatment, and prognosis of MI was carried out.
Results:
MI correspond to 1.1% of all poisonings in Colombia. Knowledge of methanol metabolism, toxic effects of its metabolites, and main clinical manifestations facilitates diagnosis and specific drug treatment. Fomepizol and erythropoietin (EPO) are drugs that reduce tissue damage in MI. One in five patients with MI die, and up to 40% have neurologic sequala.
Discussion and conclusions:
In Colombia, methanol intoxication (MI) is common. The accumulation of toxic metabolites leads to acidemia and neurotoxicity; however, its consequences can be mitigated through early diagnosis and the implementation of measures that inhibit methanol metabolism and accelerate the elimination of methanol and its metabolites. EPO (erythropoietin) emerges as an alternative to improve the visual prognosis of patients.
Keywords:
Alcohol Dehydrogenase, Aldehyde Dehydrogenase, Ethanol, Fomepizole, Formaldehyde, Methanol, Optic Nerve, mortality, Lactic Acid.Introducción
Los alcoholes más frecuentemente asociados a toxicidad en humanos son el etanol, el etileno glicol, el dietileno glicol y el alcohol isopropílico En Estados Unidos, el metanol produce aproximadamente el 1,0 % de las intoxicaciones, con 1000-2000 casos por año 1. La intoxicación por metanol (IM) se relaciona con su ingesta accidental, por intento suicida o intoxicación delictiva. El metanol es metabolizado a ácido fórmico y puede causar gran morbimortalidad sin un diagnóstico y tratamiento oportuno 1. Los síntomas principales de la IM son la embriaguez, la depresión del sistema nervioso central, los síntomas gastrointestinales, la acidosis metabólica y los cambios visuales 2. La mayoría de los pacientes muestran signos de neuropatía óptica con grados variables de pérdida visual. El compromiso de los ganglios basales con necrosis putaminal bilateral es la lesión cerebral más frecuente, que en ocasiones produce parkinsonismo a largo plazo 2.
La administración temprana de fomepizol, un inhibidor de la enzima alcohol deshidrogenasa (ADH), disminuye la formación de ácido fórmico con una probable reducción de daño a órganos blanco y mejores desenlaces para los pacientes 2. La adición de ácido folínico o ácido fólico al tratamiento puede incrementar el metabolismo del ácido fórmico, disminuyendo su toxicidad 2. La acidosis metabólica es un determinante de la morbimortalidad de la IM, se relaciona con la concentración sanguínea de metanol y la hemodiálisis es una herramienta útil para el tratamiento de la intoxicación 2.
La mortalidad aguda por IM puede ser del 18,0 % al 21,0 %, con secuelas en los sobrevivientes entre el 10,0 % y el 34,0 % 3. La mortalidad tardía, en los siguientes seis meses, puede llegar al 40,0 % 3. Por su frecuencia y sus consecuencias, a corto y largo plazo, es importante que el médico reconozca tempranamente la IM y comience su tratamiento de manera inmediata.
Metodología
Los autores realizaron una revisión no sistemática de la literatura sobre la epidemiología, la toxico-cinética, la fisiopatología, las manifestaciones clínicas, el diagnóstico, el tratamiento y el pronóstico de la IM. Los temas se asignaron a cada autor de acuerdo con su especialidad y experiencia en el tema. Los autores certifican la veracidad y fidelidad de la información presentada y no reportan conflicto de intereses.
Epidemiología
La IM en el mundo se remonta al año 1904. En Colombia, uno de los casos más relevantes con mortalidad por la sustancia se presentó en Bogotá, por ingestión de licor adulterado en los años 60, en la denominada boda fatídica. En la ciudad de Barranquilla, se presentaron dos brotes masivos, el primero en 1989 con 21 personas fallecidas y el segundo en mayo de 2004 con 19 muertes. En años recientes, en septiembre de 2013, en la frontera colombo-venezolana, 5 indígenas yukpas de la comunidad Río Yasa fallecieron y, poco tiempo después, en cercanías de la frontera, se reportaron otras 3 muertes por IM 4.
Los informes de IM en Colombia provienen del sistema de vigilancia en salud pública (Sivigila), como parte de la subdirección de vigilancia y control del Instituto Nacional de Salud, con su más reciente reporte del año 2024 5.
Debido a que el metanol es utilizado en muchos compuestos en la industria, por su bajo valor en comparación con el etanol y sus características fisicoquímicas (sin color, olor y sabor alcohol), esta es una sustancia ideal para adulterar bebidas alcohólicas. La primera causa de IM en Colombia es por adulteración de bebidas alcohólicas, sin embargo, existen exposiciones accidentales, con fines suicidas y, en ocasiones, por contacto al ser usado para controlar la fiebre en niños, con una mortalidad de hasta el 50,0 % en este último grupo 4,6. Actualmente, la IM corresponde aproximadamente al 1,1 % del total de las intoxicaciones reportadas en Colombia y, a pesar de los adelantos diagnósticos de laboratorio y la respuesta oportuna por parte de las entidades de salud, continúa siendo un problema de salud pública con un importante subregistro 5.
Toxicocinética
El alcohol metílico (o metanol) es una sustancia química líquida, incolora y cuya estructura molecular es CH3OH. También recibe el nombre de hidroximetano, alcohol de madera o de reverbero. Es un líquido volátil, inflamable, con ligero olor alcohólico, fácilmente soluble en agua, otros alcoholes, ésteres, cetonas y solventes. Se usa en múltiples actividades industriales y se encuentra en el mercado con diferentes grados de pureza.
La absorción de metanol es rápida por vía gastrointestinal, piel y mucosas. No se une a proteínas en el organismo y su vida media oscila entre 12 y 24 horas, o hasta 30-52 horas en presencia de etanol 4-6. Apenas el 10,0 % es eliminado por el riñón y los pulmones sin metabolizar, mientras que el 90,0 % restante es metabolizado a ácido fórmico que se elimina por vía renal 4. El metanol en el hígado sufre oxidación por la enzima ADH a formaldehído y este, a su vez, es oxidado a ácido fórmico por la enzima aldehído deshidrogenasa, metabolitos responsables de la toxicidad (figura 1). La acidosis sistémica es causada por el ácido fórmico y el ácido láctico, este último generado por la alteración del proceso de fosforilación oxidativa celular. Además, el compromiso visual es causado por efectos tóxicos del ácido fórmico. Finalmente, tanto el etanol como el metanol compiten por la enzima ADH, siendo el primero 20 veces más afín 6.
Figura 1: Toxicocinética del metanol
Fisiopatología
Los efectos tóxicos del metanol se dan por la acción de sus metabolitos. La dosis letal de metanol puede oscilar entre 30 y 240 ml, con una mejor estimación de 1 g/kg (1,2 ml/kg) 7-8. Como ha sido descrito, el metanol sufre dos oxidaciones sucesivas por las enzimas del ADH y el aldehído deshidrogenasa, con la producción de formaldehído, ácido fórmico y su forma no protonizada de un formiato. La intervención de la enzima ADH en el metabolismo del metanol es parte de un paso crítico respecto a su toxicidad y su inhibición es un objetivo terapéutico.
En etapas iniciales, la acidosis metabólica por acumulación del ácido fórmico explica la mayoría de los efectos tóxicos. El ácido fórmico y el formiato inhiben la enzima de citocromo oxidasa, parte de la fase final de la cadena transportadora de electrones (CTE) mitocondrial. Esta inhibición ocurre a concentraciones de 5 a 30 mmol/l de metanol (16 a 96 mg/dl) 9. La inhibición del metabolismo energético mitocondrial incrementa, de forma exponencial, la producción de moléculas oxidativas reactivas y aumenta la probabilidad de lesión oxidativa 10. El formiato, por agotamiento del glutatión, que es protector de la retina contra el estrés oxidativo, parece aumentar la vulnerabilidad de la retina al daño oxidativo 11.
En etapas ulteriores, la acumulación del formiato, por efectos citotóxicos, inhibe la respiración mitocondrial. Además, se incrementa la producción de lactato, aumenta la acidemia metabólica y, a su vez, la toxicidad del formiato, capaz de atravesar la barrera hematoencefálica 12. El círculo vicioso hipóxico generado, lesiona los tejidos susceptibles de los ganglios basales y el nervio óptico.
Por otra parte, la acumulación de alcohol y de sus metabolitos aumenta la osmolalidad sérica y la brecha osmótica. Además, la acumulación de aniones ácidos orgánicos incrementa la brecha aniónica sérica. Como el metanol es el principal agente osmótico y el ácido fórmico y el formiato son ácidos orgánicos, en la medida en que se metaboliza el metanol, disminuye la brecha osmótica y se incrementa la brecha aniónica con acidosis (figura 2).
Figura 2: Curso temporal de los cambios en la brecha osmolal y anión gap
Manifestaciones clínicas
El metanol, al igual que todos los alcoholes, tiene un efecto inicial depresor del sensorio, para luego producir una disfunción multiorgánica.
Los síntomas iniciales de la IM son variados e inespecíficos, aunque generalmente son: vómito, anorexia, cefalea, confusión, convulsiones seguidas de hiperventilación, a medida que progresa la acidosis metabólica 7-8,13-14. Se resaltan las manifestaciones visuales que incluyen visión borrosa, escotoma central, visión en halo, visión en túnel, fotofobia, visión en "campo de nieve" y ceguera 15. Al examen oftalmológico se puede encontrar midriasis, amaurosis, edema retiniano, hiperemia, papiledema y atrofia óptica 9,13-14,16-18. Estas manifestaciones se deben a la hipoxia tisular con el consecuente daño celular que altera el flujo axoplásmico, causando lesión mielinoclástica y resultando en la condición patológica del ojo 10-11. Otras manifestaciones clínicas incluyen disfunción pulmonar, algunos casos de abdomen agudo, probablemente debido a pancreatitis 14,16; estado de coma y raramente parkinsonismo. Las manifestaciones clínicas generalmente se presentan entre 6 y 24 horas después de su absorción, pero pueden aparecer entre 72 a 96 horas en caso de coingesta con etanol por inhibición competitiva de su metabolismo por la enzima ADH. Las secuelas neurológicas pueden manifestarse días o semanas después de la ingesta 13-14,16-17.
El tratamiento tardío de la IM aumenta la probabilidad de desarrollar coma, insuficiencia respiratoria y falla circulatoria en los pacientes.
Manifestaciones neurológicas
En un estudio noruego de 51 pacientes admitidos al hospital por IM, el 77,0 % era sintomático, de los cuales, 28 (55,0 %) tenía trastornos visuales, 22 (43,0 %) síntomas gastrointestinales, 21 (41,0 %) disnea, 12 (24,0 %) comatosos, 8 (16,0 %) arresto ventilatorio, 6 (12,0 %) dolor torácico y 8 (16,0 %) otros síntomas, principalmente fatiga 19. En la IM, los trastornos visuales son de los más frecuentemente reportados, con incidencias del 29,0 % al 64,0 % 19. Essayagh et al., en un estudio de 26 pacientes, encontraron que el 53,8 % tenía trastornos de conciencia, el 34,6 % cefalea, el 27,1 % coma, el 19,2 % problemas visuales, el 15,4 % ceguera y el 15,4 % irritabilidad 20. Mientras que en una serie de casos de Arabia Saudí, la pérdida visual fue aguda, bilateral, simétrica y no dolorosa 21. En la fase aguda se encontró: papila levemente edematosa y pálida con ligero edema de retina (figura 3), y la agudeza visual varió desde 20/25 hasta no percepción de luz 21.
Figura 3: Edema de papila y retina por oftalmoscopia directa
En la campimetría, la pérdida visual central fue el defecto más frecuente y todos los pacientes del estudio de Arabia Saudí desarrollaron atrofia óptica 21. 13 de los 50 pacientes de dicha serie presentaron temblores o temblor con rigidez y, en la resonancia magnética (RM) cerebral de 30 pacientes, se encontró disminución del calibre del nervio óptico bilateral, 11 con necrosis del putamen y, ocasionalmente, del claustrum bilateral, además de 2 pacientes con focos de desmielinización subcortical y de sustancia blanca profunda 21. La variabilidad de la dosis de metanol relacionada con daño neurológico se puede deber a susceptibilidad individual, consumo de etanol concomitante y sesgo de memoria sobre la cantidad ingerida 20-21. La selectividad tóxica del metanol sobre el nervio óptico está en relación con la inhibición de la actividad del citocromo oxidasa, por el ácido fórmico que previene la fosforilación oxidativa mitocondrial. Estudios histopatológicos en animales mostraron daño laminar y retrolaminar del nervio óptico con disrupción del flujo axonal, edema y agrupamiento mitocondrial, fragmentación de neurofilamentos y neurotúbulos, vacuolas axonales y cambios en la glía 21.
La lesión cerebral más común por IM es la necrosis hemorrágica o no hemorrágica bilateral del putamen 21. La causa de la vulnerabilidad de los ganglios basales al metanol se desconoce, pero puede deberse a una mayor concentración de ácido fórmico, al flujo sanguíneo, la sensibilidad aumentada a metabolitos del metanol o a su mayor capacidad de apoptosis 21; sin embargo, en estudios de RM en pacientes con IM, se han encontrado lesiones subcorticales y de la sustancia blanca profunda, lesiones corticales cerebrales y cerebelosas, lesiones del mesencéfalo, hemorragias cerebrales e intraventriculares, edema cerebral y realce parcial de las lesiones necróticas 22 . Aunque el compromiso visual y los síndromes extrapiramidales son los más frecuentemente asociados a la IM, el espectro de presentación es grande e incluye: coma, crisis epilépticas, delirio, ataxia y síndromes cognitivos en relación con la extensión de la lesión, más allá de los ganglios basales 23.
Exámenes diagnósticos y diagnóstico diferencial
El diagnóstico de IM es clínico con base en la anamnesis. El interrogatorio al paciente o a los acompañantes brinda información de la vía de absorción, el motivo de la intoxicación, una probable cantidad ingerida y el tiempo transcurrido desde la intoxicación; sin embargo, la confirmación del diagnóstico requiere de la medición de metanol en sangre, expresada en miligramos por decilitro 24.
En caso de ser posible, se recomienda determinar la presencia de formaldehído y ácido fórmico en orina y sangre.
Los efectos tóxicos del metanol son variables. Depende de la cantidad y concentración del metanol, la susceptibilidad individual y si hubo coingesta con etanol. Cantidades de metanol de 15 a 30 ml al 100 % pueden dar lugar a una intoxicación grave y se han reportado grados variables de severidad en adultos con ingestas de 60 a 250 ml de metanol al 40,0 %, incluso, puede haber sobrevida con 500-600 ml a bajas concentraciones 4,24.
En la etapa diagnóstica es importante calcular las brechas osmolal y aniónica, los niveles de lactato, los gases arteriales, la química sanguínea, el cuadro he-mático y otros exámenes, según las manifestaciones clínicas y los órganos comprometidos.
Los diagnósticos diferenciales principales son las intoxicaciones por otros químicos (por ejemplo: paraldehído y etilenglicol), la injuria renal aguda, la cetoacidosis diabética, la acidosis láctica y la intoxicación por salicilatos.
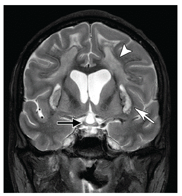
Las neuroimágenes juegan un papel primordial en la identificación de neurotoxicidad por metanol. Las lesiones aparecen en los ganglios basales, especialmente en el putamen, debido a la sensibilidad específica de sus células, sin embargo, las lesiones se pueden extender a las fibras de la sustancia blanca y, en ocasiones, ampliando los diagnósticos diferenciales 25-29 (figura 4).
Figura 4: Estructuras blanco en intoxicación por metanol
La necrosis hemorrágica del putamen es el hallazgo más característico, con grados variables de necrosis del nervio óptico. La necrosis hemorrágica se presenta con hiperatenuación en la tomografía computada, señales hiperintensas en las secuencias T2 de RM y como focos de hipointensidad en las secuencias de eco de gradiente y susceptibilidad 28-29. En las imágenes de espectroscopía por RM, se puede encontrar reducción del N-acetil-aspartato y elevación del lactato. En ocasiones, también es posible observar lesiones en la médula espinal (figura 5).
Figura 5: Mielitis aguda por metanol
Tratamiento
El aseguramiento de la vía aérea, la ventilación y la estabilidad hemodinámica, es el primer paso en el tratamiento. Por la presentación tardía de los pacientes a urgencias por la rápida y completa absorción gástrica del metanol, la descontaminación gástrica parece tener poco beneficio en el manejo de esta intoxicación 12.
El tratamiento específico de la IM incluye la corrección de la acidosis metabólica, la inhibición de su metabolismo, el poder facilitar la eliminación del metanol y sus metabolitos, aumentar el metabolismo del ácido fórmico 13-14,16 y disminuir la lesión del nervio óptico 32-33.
Corrección de la acidosis metabólica
Se recomienda que la acidosis metabólica sea tratada de forma agresiva mediante la infusión de bicarbonato de sodio con dosis de 500 a 800 mmol (mEq) o incluso más durante las primeras horas. Se busca la corrección completa de la acidosis (recomendación de grado II-2) y disminuir la cantidad de ácido fórmico que se encuentra no disociado, resultando en un menor acceso de formiato al sistema nervioso central 12-16. La dosis inicial de bicarbonato es un bolo de 1 a 2 mEq/kg de peso, seguido de una infusión continua a dosis de 1-3 ml/kg/h de una mezcla de 75 ml (75 mEq) de bicarbonato de sodio más 425 ml de dextrosa en agua destilada al 5,0 %. La meta es mantener un pH sérico entre 7,50 y 7,55 o un pH urinario cercano a 8,0. Se recomienda mantener la infusión hasta corregir la acidemia y que los niveles sanguíneos de metanol sean negativos (cualitativos) o menores a 20 mg/dl (cuantitativos).
Inhibición de la formación de metabolitos tóxicos
Para el tratamiento de la IM, es fundamental la inhibición de su metabolismo por la enzima de ADH, evitando la formación de sus metabolitos tóxicos 13-14,16. Para ello, se recomienda:
Fomepizol: las guías sugieren que el fomepizol es el antídoto de elección, aunque se puede utilizar etanol si no se dispone de fomepizol 34-37 (la dosis de carga es de 15 mg/kg por vía intravenosa, seguida de 10 mg/kg cada 12 horas por cuatro dosis y luego 15 mg/kg cada 12 horas, si es necesario). Durante la hemodiálisis, se modifica la frecuencia a cada 4 horas 7. Las principales ventajas del fomepizol son su eficacia, la ausencia de depresión del sistema nervioso central, la facilidad de administración, los pocos efectos secundarios y la capacidad de reducir la necesidad de hemodiálisis. La ausencia de pancreatitis, efecto secundario bien conocido del etanol, también hace que el fomepizol sea el antídoto de preferencia.
Se ha sugerido mantener este tratamiento hasta que el nivel de metanol en sangre sea inferior a 6 mmol/l (20 mg/dl) y que el paciente no presente síntomas. A pesar de sus múltiples ventajas, no está disponible en Colombia y el etanol es usado para inhibir el metabolismo del metanol 13-16,34.
Etanol: se administra por vía intravenosa u oral, buscando obtener y mantener niveles séricos entre 100 y 150 mg/dl. Se recomienda una monitorización de los niveles séricos de etanol cada dos horas, para verificar que se haya alcanzado la meta de concentración adecuada 13-14,16. Las concentraciones de etanol al 20,0-30,0 % por vía oral y al 5,0-10,0 % por vía endovenosa se toleran adecuadamente. La dosis de carga se debe calcular usando la fórmula abreviada (tabla 1) o aplicando la siguiente fórmula (ecuación 1), basada en las condiciones farmacocinéticas del etanol 34:
Nota: DAD: dextrosa en agua destilada. Fuente: 34.
Tabla 1: Etiloterapia para tratar la intoxicación por metanol
Vía intravenosa
DAD al 5,0 %, 450 cc + etanol al 96,0 %, 50 cc. Pasar bolo de 8 ml/kg y continuar a 1 ml/kg/h
Vía oral (sonda nasogástrica)
Comenzar con un bolo de 3 ml/kg de etanol al 30,0 % ("aguardiente"), continuando con 0,3 ml/kg/hora.
Si se tiene en cuenta que la tasa de eliminación del etanol es constante (disminución sérica promedio de 20 mg/dl/hora), la dosis de mantenimiento puede calcularse utilizando la siguiente fórmula (ecuación 2) 34:
La terapia con etanol debe mantenerse hasta cuando se alcance una concentración de metanol menor a 20 mg/dl, el paciente esté asintomático y tenga un pH arterial normal.
Facilitar la eliminación
Hemodiálisis: si se cuenta con ella, se debe tener en cuenta como parte del tratamiento, la cual tiene la capacidad de eliminar el metanol, el formiato y ayuda en la corrección del desequilibrio ácido base 7,13,14,16,34. Las indicaciones para el uso de hemodiálisis se resumen en la tabla 2 35.
Las indicaciones relativas incluyen la presencia de acidosis metabólica grave (particularmente si no responde a la terapia con bicarbonato y etanol o fomepizol), una concentración de metanol sérica superior a 16 mmol/l (50 mg/dl) o una ingesta de metanol mayor a 1 g/kg 14,16.
Nota: 1: cualquiera de los criterios enumerados se consideran indicaciones si no responden a las medidas estándar y al tratamiento de apoyo. 2: esta es una indicación convencional, pero la evidencia y las guías recientes sugieren que la hemodiálisis puede no ser necesaria en algunos casos, si este es el único criterio que se cumple: el paciente está asintomático y el pH arterial es normal. Fuente: 35.
Tabla 2: Indicaciones de hemodiálisis en envenenamiento por metanol1
• Empeoramiento del estado clínico
• Acidosis metabólica significativa (pH de la sangre arterial <7,30)
• Insuficiencia renal
• Alteración visual
• Anomalías electrolíticas
• Nivel de metanol en suero <50 mg/dl2
Se recomienda mantener la hemodiálisis hasta que el nivel de metanol sérico sea inferior a 10 mmol/l (32 mg/dl) y la acidosis esté corregida 36 (evidencia de grado III).
Folato/ácido folínico: su uso se basa en la teoría de que el metabolismo endógeno del formato depende del folato, estimulando la oxidación del formato a CO2. Tanto el uso de ácido fólico o del ácido folínico (forma reducida del ácido fólico) incrementan las reservas de tetrahidrofolato y la tasa de metabolismo de formato. La dosis de ácido fólico vía oral o de ácido folínico endovenoso recomendadas son de 1 mg/ kg/dosis, con un máximo de 50 mg cada 4 horas por 24 horas 13-16,34-36.
Disminuir la lesión del nervio óptico
Eritropoyetina (EPO): la EPO parece tener múltiples efectos benéficos sobre el nervio óptico y la retina. Se ha propuesto que la EPO tiene el potencial de aumentar la supervivencia de las células ganglionares de la retina (CGR) y de los axones, gracias a sus propiedades neurorregenerativas y a la regulación positiva de la expresión de la proteína 43 asociada al crecimiento celular 32-33. Además, la EPO tiene un efecto neuroprotector en las CGR contra la citotoxicidad inducida por el glutamato y la toxicidad del óxido nítrico, probablemente a través de su efecto potencial para aumentar la expresión de Bel-2 32-33.
Otra posible propiedad biológica atribuible es la protección de las células contra el daño oxidativo y las citocinas inflamatorias. La EPO inhibe la peroxidación lipídica, al aumentar la actividad enzimática antioxidante intracelular, la glutatión peroxidasa y la superóxido dismutasa 33-33). La dosis estimada de EPO es de 10 000 UI de forma subcutánea cada 12 horas por tres días, para un total de seis dosis.
Pronóstico
Alrededor de uno de cada cinco individuos con IM fallece 37. La mortalidad se correlaciona con coma y crisis epilépticas al ingreso, acidosis metabólica severa, niveles de bicarbonato sérico bajo, brecha aniónica alta e hiperglicemia 38. Entre el 18,0 % y el 40,0 % de los pacientes con IAM tiene secuelas visuales y neurológicas 37. Los individuos que mueren o sobreviven con secuelas tienden a tener una mayor acidemia al ingreso 37; sin embargo, establecer el pronóstico visual y neurológico a largo plazo de la IM es difícil 6,39. Al parecer, entre más severo el déficit visual o neurológico al ingreso, mayor es la probabilidad de secuelas a largo plazo.
Conclusiones
La intoxicación por metanol corresponde, aproximadamente, al 1,0 % de las intoxicaciones. El metanol se absorbe y se metaboliza rápidamente a formaldehído y ácido fórmico por acción enzimática. Sus metabolitos tóxicos producen variadas manifestaciones clínicas con acidemia y neurotoxicidad. La morbimortalidad de la intoxicación es importante, pero se puede disminuir con un diagnóstico temprano y un tratamiento integral y oportuno. Por lo anterior, el clínico debe conocer los aspectos básicos de la intoxicación por metanol, de su diagnóstico y abordaje, así como el manejo de sus secuelas a corto, mediano y largo plazo.
La Rota: conceptualización, metodología, validación, visualización, supervisión, curación de los datos, redacción del borrador original, revisión y edición.
