Acta Neurológica Colombiana
0120-8748
2422-4022
Asociación Colombiana de Neurología
https://doi.org/10.22379/anc.v41i2.1831

Recibido: 18 de enero de 2024; Revision Received: 20 de enero de 2025; Aceptado: 13 de marzo de 2025; : 25 de abril de 2025

Síndrome de hipertensión intracraneal como presentación clínica de lupus eritematoso sistémico en una paciente preadolescente


Intracranial hypertension as a clinical presentation of systemic lupus erythematosus in a preadolescent patient

D. Castilla Bolaños, 1* M. Castilla Bolaños, 2 C. Rojas Cerón, 1

Departamento de Pediatría, Universidad del Valle, Cali, Colombia Universidad del Valle Departamento de Pediatría Universidad del Valle Cali Colombia
Department of Medical Biophysics, University of Toronto, Toronto, Canadá University of Toronto Department of Medical Biophysics University of Toronto Toronto Canada

Correspondencia/Correspondence: Diana Carolina Castilla Bolaños, Facultad de Salud, Universidad del Valle, Cl. 4b #36-00, El Sindicato, Cali (Valle del Cauca), Colombia. Correo-e: diana.castilla@correounivalle.edu.co
Los autores declaran no tener conflictos de interés con la publicación de este caso clínico.

Resumen

Introducción:

El lupus eritematoso sistémico (LES) es una enfermedad autoinmune con amplio espectro clínico, donde el 14-95 % de los pacientes presentan manifestaciones neurológicas, por ejemplo, hipertensión intracraneal (HIC) manifestada con cefalea, náuseas, vómito, papiledema, disminución de la agudeza visual y parálisis de los nervios craneales. A pesar de su relevancia clínica, la HIC no está clasificada por el Colegio Americano de Reumatología (CAR) como una manifestación neuropsiquiátrica específica del LES.

Presentación del caso:

Se reporta el caso de una preadolescente con signos sistémicos, afectación cutánea y deterioro neurológico en el debut de LES, quien desarrolló papiledema como manifestación de HIC. Aunque se reporta que la mayoría de pacientes con HIC y LES responden favorablemente al tratamiento con corticoides y acetazolamida como primera línea de manejo, en este caso la respuesta fue insuficiente. La paciente recibió corticoides e inmunomoduladores, pero debido a la persistencia de los síntomas neurológicos, se adicionó ciclofosfamida, lo que finalmente resultó en una mejoría significativa de su condición.

Discusión:

Este caso es relevante debido a los pocos reportes pediátricos de LES que presentan HIC. Se destaca la presentación del síndrome de HIC en el debut de la enfermedad autoinmune, resaltando la importancia de una mayor vigilancia de esta condición neurológica en el diagnóstico y manejo temprano del LES pediátrico.

Conclusiones:

Este caso, acompañado a lo encontrado en la literatura, plantea la HIC como una posible manifestación neuropsiquiátrica de LES.

Palabras clave:

hipertensión intracraneal, lupus del sistema nervioso central, lupus eritematoso sistémico, lupus juvenil, papiledema, vasculitis por lupus del sistema nervioso central.

Abstract

Introduction:

Systemic lupus erythematosus (SLE) is an autoimmune disease with a broad clinical spectrum, with 14-95% of patients presenting with neurological manifestations. At the neurological level, patients may present with intracranial hypertension (ICH), manifested by headache, nausea, vomiting, papilledema, decreased visual acuity, and cranial nerve palsies. Despite its clinical relevance, ICH is not classified as a specific neuropsychiatric manifestation of SLE by the American College of Rheumatology (ACR).

Case presentation:

We report the case of a preadolescent girl with systemic signs, cutaneous involvement, and neurologic deterioration at the onset of SLE. She developed papilledema as a manifestation of ICH. Although it has been reported that most patients with ICH and SLE respond favorably to treatment with corticosteroids and acetazolamide as first-line therapy, in this case the response was inadequate. The patient received corticosteroids and immunomodulators, but due to the persistence of neurological symptoms, cyclophosphamide was added, which eventually resulted in a significant improvement in her condition.

Discussion:

This case is relevant due to the few pediatric reports of SLE presenting with ICH. It highlights the presentation of ICH syndrome in the debut of autoimmune disease and emphasizes the importance of increased surveillance for this neurological condition in the early diagnosis and management of pediatric SLE.

Conclusion:

This report, together with the findings in the literature, leads us to consider ICH as a potential neuropsychiatric manifestation of SLE.

Keywords:

Intracranial hypertension, Central nervous system lupus, Systemic lupus erythematosus, Juvenile lupus, Papilledema, Central nervous system lupus vasculitis.

Introducción

El lupus eritematoso sistémico (LES) es una enfermedad autoinmune caracterizada por la producción de autoanticuerpos contra componentes nucleares celulares del organismo, lo que resulta en un amplio espectro de manifestaciones clínicas. Las complicaciones neurológicas, presentes en el 14-95 % de los pacientes, varían su manifestación. Su sintomatología puede incluir desde cefalea hasta condiciones graves, como estados confusionales, mielopatía o eventos cerebrovasculares. Estas afecciones neurológicas, a menudo polimórficas y asociadas a un pronóstico desfavorable, pueden ocurrir incluso en ausencia de otros signos sistémicos de la enfermedad 1-3.

La hipertensión intracraneal (HIC) es una posible complicación neurológica del LES, sin embargo, la HIC no está clasificada por el Colegio Americano de Reumatología (CAR) como una manifestación neuropsiquiátrica de la enfermedad 3. La HIC se caracteriza por un aumento de la presión intracraneal (PIC) y se manifiesta clínicamente con cefalea, náuseas, vómito, papiledema, disminución de la agudeza visual o parálisis de los nervios craneales 2,4.

La fisiopatología de la HIC en LES es multifactorial y podría explicarse por varios mecanismos. El daño del tejido cerebral mediado por inmunocomplejos afecta las vellosidades aracnoideas y disminuye la absorción del líquido cefalorraquídeo 5. La interacción de anticuerpos con antígenos presentes en las membranas neuronales y la producción intratecal de citoquinas, que generan un estado neuroinflamatorio, exacerban su complejidad. Además, el aumento de la presión intracraneal (PIC) podría ser secundario a microangiopatía o a la obliteración trombótica de los sistemas arteriovenosos cerebrales, como consecuencia del estado de hipercoagulabilidad característico del LES 1,6. Recientemente, se ha planteado que los anticuerpos anti-MOG (anti-mielina oligodendrocito glicoproteína), aunque poco frecuentes en LES, podrían contribuir a la desmielinización y al daño neurológico en algunos pacientes, lo que sugiere una posible superposición entre el LES y los trastornos del espectro MOGAD (siglas en inglés para enfermedad de anticuerpos anti-MOG) en casos específicos 7.

En este artículo se reporta el caso de una paciente preadolescente que presenta HIC como parte del debut de LES. Este artículo se ha elaborado siguiendo las directrices CARE 8.

Presentación del caso

Paciente femenina de 10 años que ingresó a un hospital de la ciudad de Cali, Colombia, por un cuadro clínico de un mes de evolución, con lesiones cutáneas purpúricas confluentes en área facial, cuello y miembros superiores. Asociado a estas lesiones, presentó fiebre, adenomegalias generalizadas, edema palpebral, malestar general e hipoactividad desde dos semanas previas a la consulta. Como antecedente familiar relevante, la paciente tiene dos primas con diagnóstico de LES, con debut en la adolescencia.

Al ingreso a la institución, la paciente se encontraba alerta, hipoactiva, apática y febril. Presentó taquicardia, adenomegalias generalizadas y aftas no dolorosas en la cavidad oral. Se observaron papulovesículas eritematovioláceas confluentes en área malar que respetaban el surco nasogeniano, el cuello, el tórax y los miembros superiores. A nivel neurológico no se evidenciaron otras alteraciones.

Se realizaron paraclínicos (tabla 1) que reportaron hipocalcemia, hipofosfatemia, proteinuria y disminución del complemento sérico. Los paraclínicos también incluyeron hemograma, extendido de sangre periférica, reactantes de fase aguda, perfil infeccioso, función renal y función hepática dentro de los límites normales.

Dado el cuadro clínico y los hallazgos paraclínicos, se consideró una posible etiología reumatológica, por lo que se amplificó el perfil inmune encontrando prueba de Coombs, ENA (antígenos nucleares extraíbles) y antiDNA positivos. También se realizó biopsia de piel con hallazgos que favorecen el diagnóstico de lupus cutáneo subagudo. Adicionalmente, la paciente fue valorada por oftalmología, hallando papiledema con vasos engrosados y tortuosos, y se sospechó de la presencia de hipertensión intracraneal. La tomografía simple de cráneo identificó una lesión hipodensa a nivel frontobasal derecho sin efecto de masa y la punción lumbar arrojó un resultado de líquido claro y presión de apertura de 43 cm H20. El citoquímico, gram y cultivo de líquido cefalorraquídeo reportaron resultados dentro de los parámetros normales.

Al considerar lo anterior, se diagnosticó LES juvenil, con alta actividad de la enfermedad y se indicó la administración de metilprednisolona de 30 mg/kg/día por tres días, asociado a manejo con azatioprina e hidroxicloroquina.

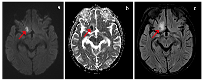
Posteriormente, la angiorresonancia cerebral contrastada evidenció una alteración en el calibre y la morfología de los vasos arteriales en la circulación anterior distal, sugestivo de vasculitis. Además, se observó un pequeño foco de restricción a la difusión por lesión de tipo isquémico en la región frontal derecha, con hiperintensidad en T1, que sugiere la presencia de conversión hemorrágica (figura 1). Ante estos resultados y por la persistencia de los síntomas neurológicos, se adicionó ciclofosfamida según el protocolo del National Institute of Health (NIH), acetazolamida y ácido acetilsalicílico, con posterior mejoría del estado general y neurológico.

Tabla 1: Paraclínicos

Paraclínico Resultado Paraclínico Resultado
Uroanálisis Color amarillo, aspecto claro, densidad 1015, pH 6, leucocitos negativo, nitritos negativos, proteínas 25, glucosa normal, cuerpos cetónicos negativos, urobilinógeno normal, bilirrubina negativo, sangre negativo. Sedimento urinario: células pavimentosas escasas, leucocitos 3-5XC, bacterias +. Biopsia cutánea Descripción microscópica: se reconoce una dermatitis que se extiende al plexo vascular superficial, con presencia de vasculitis leucocitoclástica, escasos lagos de mucina perivascular, cambios vasculares del epitelio basal con presencia de abundantes queratinocitos apoptóticos intraepiteliales.
Complemento C3 <40 mg/dl Complemento C4 <8 mg/dl
Calcio 8 mg/dl Fósforo 2,4 mg/dl
AntiDNA Positivo ENA Positivos

Nota: ENA: antígenos nucleares extraíbles.

Fuente: elaboración propia.

Angiorresonancia cerebral. 1a y 1b) Imágenes de resonancia cerebral en secuencias de difusión, donde se identifica la lesión frontal basal derecha que restringe la difusión. 1c) Imagen de resonancia cerebral ensecuencia FLAIR, donde se identifica la lesión hiperintensa frontal derecha

Figura 1: Angiorresonancia cerebral. 1a y 1b) Imágenes de resonancia cerebral en secuencias de difusión, donde se identifica la lesión frontal basal derecha que restringe la difusión. 1c) Imagen de resonancia cerebral ensecuencia FLAIR, donde se identifica la lesión hiperintensa frontal derecha

Fuente: historia clínica de la paciente (con autorización).

Discusión

La prevalencia de manifestaciones neuropsiquiátricas en pacientes con LES se ha reportado entre el 30 % 3 y el 80 % 9. En la población pediátrica, se ha evidenciado que el 14-95 % de los niños con LES presentan compromiso neurológico 10-11. Dentro del espectro de manifestaciones neurológicas del LES se encuentra la HIC, aunque esta entidad no está clasificada por el CAR como manifestación neuropsiquiátrica de la enfermedad 3.

El estudio de la prevalencia de la HIC en pacientes con LES es un reto, debido a que la mayoría de la literatura consiste en casos clínicos individuales o pequeñas series de casos; no obstante, en un hospital de Israel reportaron una cohorte de 651 pacientes con LES, con una prevalencia de HIC del 1,5 % 3, siendo esta una prevalencia significativamente mayor a la documentada en la población general de aproximadamente un 0,01 % 12.

Este artículo aborda el caso de una preadolescente con LES e HIC como primera manifestación neurológica dentro del espectro del debut de su enfermedad autoinmune. Aunque el CAR no ha incluido a la HIC como parte de las manifestaciones neurológicas del LES, en la literatura se encuentra una relación entre estas entidades 13-14, sin embargo, solo se conocen algunos casos reportados sobre esta condición clínica a nivel pediátrico, por lo que no se han establecido recomendaciones o guías de manejo para estos pacientes.

Se considera que la HIC en LES puede ser causada por una lesión inmunomediada, un estado de hipercoagulabilidad, una posible interacción de anticuerpos con antígenos en la membrana neuronal o por la producción intratecal de citoquinas 1.

La isquemia es una de las causas principales de las manifestaciones neuropsiquiátricas del LES 15, representando el 5-36 % de los casos 16. Existen varios mecanismos que pueden conducir a la isquemia en pacientes con LES, como alteraciones en la coagulación, adelgazamiento de los vasos sanguíneos o procesos inflamatorios. Por otra parte, la vasculitis es una causa infrecuente de manifestaciones neuropsiquiátricas y otorga un peor pronóstico, dado por el empeoramiento de los síntomas con el tiempo o la no respuesta al tratamiento 9.

En este caso, la paciente presentaba una enfermedad cerebrovascular secundaria al LES, con compromiso establecido por vasculitis del sistema nervioso central y ECV isquémica; adicionalmente, se identificó HIC como otra complicación neurológica, por la alteración en la absorción del LCR (líquido cefalorraquídeo) en el contexto del proceso inflamatorio o mediado inmunológicamente, dado que se descartó la presencia de trombosis de senos venosos durales y otras causas estructurales con la angiorresonancia cerebral.

En la literatura se ha documentado que, la mayoría de los pacientes con LES que presentan compromiso neurológico por HIC, presentan papiledema, así como esta paciente. Por lo tanto, es de gran relevancia evaluar el fondo de ojo durante el diagnóstico y realizar un seguimiento. También se ha observado que la mayoría de los pacientes que presentan HIC y LES tienen una alta actividad de la enfermedad, un aumento de los marcadores inflamatorios e hipo-complementemia 13. En este caso, la paciente presentaba estos hallazgos, con excepción del aumento de los marcadores inflamatorios.

En los casos clínicos encontrados sobre pacientes con HIC y LES, se ha reportado que la mayoría reciben manejo con corticoides sistémicos y acetazolamida como primera línea, con una respuesta adecuada en la mayoría de los casos 3,13. En esta oportunidad, la paciente se trató inicialmente con corticosteroides, asociados al uso de inmunomoduladores (azatioprina e hidroxicloroquina); sin embargo, la persistencia de síntomas neurológicos indicó la adición de ciclofosfamida, obteniendo resultados favorables, con recuperación neurológica completa. Posteriormente, de manera ambulatoria, se indicó acetazolamida y ácido acetilsalicílico como prevención secundaria de ECV.

Este caso es relevante debido a los pocos reportados en pediatría sobre pacientes con LES que presentan HIC. Se destaca que la paciente presentó el síndrome de HIC en el debut de la enfermedad autoinmune, lo cual acompañado de lo encontrado en la literatura, llevó a plantear esta entidad como una de las posibles manifestaciones neuropsiquiátricas de LES.

Conclusiones

La relación entre la HIC y el LES es poco comprendida, debido a la rareza de su asociación. Se debe continuar documentando los casos de pacientes con LES que presenten signos de aumento de la PIC, para mejorar el conocimiento sobre la prevalencia de la HIC en esta población. Además, en el espectro clínico de las manifestaciones neuropsiquiátricas del LES en pediatría se sugiere considerar la inclusión del síndrome de HIC dentro de las manifestaciones típicas de esta enfermedad.