Enfermedad de FAHR una causa infrecuente de calcificaciones cerebrales

Fahr disease an infrequent cause of brain calcifications

 

Luis Polo Verbel, Neurólogo. Jefe Médico de Neurología. Martín Torres Zambrano M, Neurólogo-Jefe del Programa de Cirugía.Profesor de La Universidad de Cartagena. Omar Cabarcas Barbosa, Residente de Medicina Interna-Universidad de Cartagena. Claudia Navas, Andrés González, Médicos del S.S.O. Fundación Centro Colombiano de Epilepsia y Enfermedades Neurológicas-FERE. Mario Montoya, Residente de Medicina Interna-Universidad del Sinú. Rocio Bolaños García, Especialista en Desarrollo de Procesos Cognoscitivos-Magister en Neuropsicología-Docente Universidad Tecnológica de Bolívar.
Correo electrónico: poloverbel@hotmail.com

Recibido: 15/12/10. Revisado: 13/01/11. Aceptado: 01/03/11.


RESUMEN

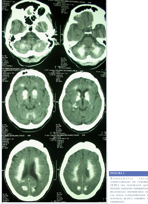
Se ilustra el caso de una paciente con episodios convulsivos, movimientos anormales y déficit cognitivo de varios meses de evolución. En la tomografía axial computarizada se evidenciaron lesiones ganglio basales, paraventriculares, sustancia blanca y cerebelo; clínicamente presentó síntomas típicos de la enfermedad de Fahr y con estudios de laboratorio complementarios se descartaron otras causas.

PALABRAS CLAVES. Atetosis, Neurología, Cerebelo.


SUMMARY

This is the case of an patient with convulsive episodes, abnormal movements and cognitive deficit of several months of evolution. The axial computed tomography demonstrated injuries ganglion basal, paraventriculares, white substance and cerebellum; presenting clinical symptoms of Fahr’s disease and with laboratory studies that reject other pathologies of similar characteristics.

KEY WORDS. Atetosis, Neurology, Cerebellum.


 

INTRODUCCIÓN

En 1850, Delacour describió calcificaciones vasculares alrededor de los ganglios de la base; en un paciente de 56 años de edad, que presentaba rigidez, debilidad de extremidades inferiores y temblor (1,2). Cinco años más tarde, Bamberger describió por estudios de histopatología calcificaciones que comprometían los vasos sanguíneos de pequeño calibre en una mujer con historia de retardo mental y epilepsia (1,2).

Finalmente en 1930, Karl Theodor Fahr describió un paciente, con demencia de larga evolución, calcificaciones alrededor de los ventrículos laterales y ganglios de la base. Esta entidad se definió como enfermedad de FAHR (2). Entidad caracterizada por calcificaciones bilaterales, generalmente simétricas, con mayor compromiso sobre los ganglios de la base. Desde el punto de vista clínico, la enfermedad de Fahr se manifiesta con movimientos atetósicos, distonías, déficit cognitivo, trastornos de conducta (3) y en ocasiones puede cursar con crisis convulsivas. La correlación clínico-radiológica es fundamental en el diagnóstico de esta entidad; las lesiones calcificas cursan con niveles séricos normales de calcio (4). La enfermedad de Fahr es poco común y en Colombia existen escasas publicaciones al respecto (5)

PRESENTACIÓN DE CASO

Paciente mestiza, de 74 años de edad, natural residente y procedente de Arjona-Bolívar; ingresó a la institución, manifestando paresia en extremidades inferiores, bradilalia, alteración para la marcha y somnolencia. Antecedente de crisis epilépticas 14 años, en tratamiento con fenitoína sódica 300 mg/día, BACAF de nódulo tiroideo y resección de meningioma frontal 11 años atrás. Al examen físico se encontró en regulares condiciones generales. Desorientación en las tres esferas, disartria, lenguaje inteligible, respuesta pobre a órdenes simples. Motilidad ocular espontánea, pupilas isocóricas, reactivas al estímulo luminoso. Al evaluar
el sistema locomotor se apreciaron movimientos atetósicos en extremidades superiores e inferiores, de predominio derecho. Ataxia durante la marcha sin lateralización. Exploración de los pares craneales dentro de lo normal. Reflejos miotendinosos +++ bilaterales.

Se solicitaron paraclínicos de función renal, hemograma, ionograma los cuales fueron normales; se realizó TAC cerebral sin contraste que evidenció imágenes hiperdensas calcificas bilaterales sobre los ganglios de la base, sustancia blanca cerebral y cerebelosa. Se apreciaron signos de atrofia cortical leve, sin alteraciones en el sistema ventricular (Figura 1). Con niveles séricos de PTH en 36,5 picogramos/ dl, pruebas de función hepática (ASAT, ALAT), niveles de cortisol de la mañana y pruebas tiroideas en rangos normales. Se realizó además evaluación neuropsicológica cuyos resultados se presentan en la tabla 1.

DISCUSIÓN

La enfermedad de Fahr está asociada con una transmisión hereditaria de forma autosómica dominante, localizada en el brazo corto del cromosoma 14; que producen calcificaciones en ciertas aéreas cerebrales como la zona periventricular, los ganglios de la base y el cerebelo. De la misma manera, se han descrito casos esporádicos como el de este reporte; donde no se evidenció relación heredofamiliar. Cuando dichas calcificaciones cerebrales no se acompañan de problemas metabólicos se establece el síndrome de Fahr (6-9) (Tabla 2).

Esta enfermedad está caracterizada por calcificaciones bilaterales y simétricas, en los núcleos de la base o en otras áreas cerebrales asociadas a trastornos neurológicos. Afecta por igual a ambos sexos y se presenta más frecuentemente hacia la edad media. Se caracteriza clínicamente por alteración del tono muscular y de la regulación de los movimientos voluntarios y automáticos. Los síntomas fundamentales se desarrollan cuando estos depósitos acumulados afectan los ganglios basales y producen un deterioro progresivo de las funciones mentales, pérdida de la capacidad motora, parálisis espástica y atetosis (10). Los síntomas neuropsiquiátricos pueden ser la manifestación más frecuente, debutando con alteración en el contenido del pensamiento, en la sensopercepción, compromiso en la atención, cambios en la personalidad o el comportamiento, demencia, psicosis, o desorientación; dichas manifestaciones fueron presentadas por la paciente. Por otra parte, pueden ocurrir alteraciones de la retina con atrofia del nervio óptico y convulsiones de diferentes tipos (11). En el caso descrito las convulsiones estuvieron presentes.

Dentro de los diagnósticos diferenciales se encuentran aquellos síndromes demenciales que afectan predominantemente estructuras subcorticales como son los ganglios de la base, tálamo, cerebelo y base del tallo cerebral (12). La tomografía axial computarizada sin contraste es fundamental para confirmar el diagnóstico de la enfermedad de Fahr y descartar otras entidades. Por otra parte, La resonancia magnética nuclear, nos permite evaluar de manera más detallada la sustancia blanca; lo que sería de gran importancia para establecer los diagnósticos diferenciales, compatibles con desmielinización tóxico metabólica (13).

Se ha detectado en lo macroscópico de autopsias, calcificaciones extensas en el putámen, del tálamo, del núcleo caudado, en el claustro, el núcleo dentado bilateral, la sustancia blanca cerebral y cerebelosa; además se encontraron extensas calcificaciones en la histología (14).

Las calcificaciones cerebrales simétricas hacen parte de un espectro clínico que incluye múltiples etiologías como las relacionadas a alteraciones metabólicas, toxicidad por metales y entidades neurodegenerativas. Por lo que es de suma importancia establecer si las calcificaciones cerebrales bilaterales hacen parte de una entidad sistémica específica o si por el contrario se constituyen como una manifestación de una enfermedad neurodegenerativa primaria, como la enfermedad de Fahr presentada.

 

REFERENCIAS

1. BALA V. What is and what is not "Fahrs disease. Parkinsonism and Related Disorders. 2005;11: 73-80.

2. IGLESIAS JR, PFANNKUCH F. Estudio morfológico y biofísico de la Enfermedad de Fahr. Patología. 1976; 9: 255-262.

3. ARRANZ P, ERGUETA M, GONZÁLES S,MARANON G. Enfermedad de Fahr y Síndrome Hipocalcémico. A Propósito de un Caso Clínico. Ann Med Intern. 1992; 10: 495-497.

4. DI FONZO H, LÓPEZ V, KONFINO J, BEGUE G. Calcificaciones Intracerebrales (Síndrome de Fahr). Medicina (Buenos Aires) 2008; 68-151.

5. OSORNO DA, VELASCO L. Enfermedad de Fahr; Reporte de un Caso. Revista de la Asociación Colombiana de Gerontología y Geriatría. 2006; 4:974-976

6. KAHLOUL N, CHAARI W, BOUGHAMOURA L, CHARFEDDINE L, KHAMMERI S, AMRI F. Pseudohypoparathyroidism revealed by Fahr syndrome. Arch Pediatr. 2009;16:444-448.

7. CHEVALIER D, MARIE L, TILLON J, ET AL. Une cause de calcifications intracérébrale a pas méconnaítre: le syndrome de Fahr. Rev Med Interne. 2005; 26: 668-670.

8. GESCHWIND DH, LOGINOV M, STERN JM. Identification of a locus on chromosome for idiopathic basal ganglia calcification (Fahr disease). Am J Hum Genet. 1999; 65: 764-772.

9. VERMERSCH P, LEYS D, PRUVO JP, ET AL. Parkinson's disease and basal ganglia calcifications: prevalence and clinico-radiological correlations. Clin Neurol Neurosurg. 1992; 94:213-217 253.

10. NEMETH AH, PAGON RA, BIRD TC, DOLAN CR, STEPHENS K. Dystonia Overview. GeneR-eviews 2006.

11. EDMUND H, DUTHIE JR PR, KATZ ML, MALONE ML. Practice of Geriatrics, 4th ed 2007.

12. KOZIC D, TODOROVIC-DJILAS L, SEMNIC R, MIUCIN-VUKADINOVIC I, LUCIC M. MR imaging - an unreliable and potentially misleading diagnostic modality in patients with intracerebral calcium depositions. Case report. Neuro Endocrinol Lett. 2009; 30: 553-557.

13. PREUSSER M, KITZWOEGERER M, BUDKA H, BRUGGER S. Bilateral striopallidodentate calcification (Fahr's syndrome) and multiple system atrophy in a patient with longstanding hypoparathyroidism. Neuropathology. 2007; 27:453-456.