Síndrome de Moyamoya y complicaciones neurológicas en un paciente con enfermedad de células falciforme

Moyamoya syndrome and neurological complications in a patient with sickle cell disease

Alexander Granados. Neurólogo- Universidad Nacional de Colombia. Olga Helena Hernández Ortíz. Neuromtensrvista. Unidad de Cuidados Intensivos Neurológicos - Instituto Neurológico de Colombia (INDEC). Alejandro Guerra Palacio. Intensivista. Unidad de Cuidados Intensivos Neurológicos - Instituto Neurológico de Colombia (INDEC). Carlos Santiago Uribe. Neurólogo. Unidad de Cuidados Intensivos Neurológicos - Instituto Neurológico de Colombia (INDEC). Medellín, Colombia.
Correo electrónico: olgahdezo@yahoo.com / investigacion@neurologico.org.co

Recibido: 10/11/11. Revisado: 11/11/11. Aceptado: 07/03/12.


RESUMEN

La enfermedad de células falciformes, aunque infrecuente, es una patología con una alta comorbilidad; el ataque cerebrovascular (ACV) y las malformaciones vasculares por deformidad endotelial, son complicaciones mayores y catastróficas en las pacientes con alteraciones falciformes, es por esto que el adecuado seguimiento de estos pacientes permite prevenir la alta tasa de complicaciones que esta enfermedad conlleva. Se presenta el caso de una mujer de raza negra de 24 años con enfermedad de células falciformes, con infartos cerebrales en la adolescencia y quien durante su gestación se complica con hemorragia intraventricular secundaria a múltiples malformaciones vasculares tipo Moyamoya, desarrollando un estado epiléptico convulsivo y deterioro neurológico irreversible.

PALABRAS CLAVES. Enfermedad de Células Falciformes, Enfermedad de Moyamoya, Infarto Cerebral, Hemorragia Intraventricular (DeCS).


SUMMARY

Sickle cell disease, although infrequent, is a disease with high comorbidity, stroke and vascular malformations by endothelial deformity are major and catastrophic complications in patients with sickle cell disease, which is why proper monitoring of these patients can prevent the high rate of complications that this disease leads. The situation of a 24 years old african-american woman with sickle cell disease and several strokes during adolescence is exposed. The patient had a complicated pregnancy due to secondary intraventricular hemorrhage and multiple vascular malformations type Moyamoya. She developed a convulsive status epilepticus and an irreversible neurological impairment.

KEY WORDS. Sickle cell disease, Moyamoya Syndrome, stroke, Cerebral Infarction (MeSH).


INTRODUCCIÓN

La enfermedad de células falciformes, afecta a 1 en 600 mujeres afroamericanas, y es la hemoglobi-nopatia mas común en los Estados Unidos (1). En América Latina la prevalencia de anemia falciforme es de 0.16/1.000 Las frecuencias de Hb S y Hb C en población de origen africano de países del Caribe son de 6.1 a 18% y de 0 a 5% respectivamente. En estos está incluida Colombia con 1.184 individuos analizados con una frecuencia de 11.2% para Hb S y 0% para Hb C (2).

El ataque cerebrovascular (ACV) es una complicación mayor y catastrófica en las pacientes con enfermedad falciforme y según el estudio cooperativo (Cooperative Study of Sickle Cell Disease) el 53,9% de los casos son eventos isquémicos, seguido por un 34,2% de tipo hemorrágico, 10,5% del tipo isquemia transitoria y en 1,3% eventos isquémicos y hemorrágicos en forma simultánea (3).

El estudio retrospectivo realizado en Estados Unidos, recopilando bases de datos de múltiples centros de atención obstétrica evaluó la morbilidad durante el embarazo de las pacientes con anemia de células falciformes, y encontró que el 0,1% de las pacientes tenía de base esta enfermedad, sumando un total de 17952 partos. Entre el grupo de mujeres con esta enfermedad se detectó un mayor riesgo de complicaciones y se encontró significancia estadística en la presentación de trombosis venosa cerebral, neumonía, trombosis venosa profunda, necesidad de transfusiones, infección postparto, y síndrome de respuesta inflamatoria sistémica. A la vez se demostró que existía mayor riesgo de cardiomio-patía, hipertensión pulmonar y anemia. Así mismo, hubo mayores complicaciones obstétricas como preeclampsia y eclampsia, abrupcio de placenta, sangrado anteparto, parto pretérmino, retardo del crecimiento intrauterino, bacteriuria asintomática e infección urinaria (1).

La hemorragia intracerebral en las pacientes embarazadas, según análisis de base de datos de pacientes en Estados Unidos es mas común en las pacientes de raza negra, con historia de hipertensión, preeclampsia o eclampsia o en la hipertensión gestacional (4).

Se presenta este caso con el fin de realizar una mejor evaluación y una adecuada monitoria neurológica en las pacientes en embarazo con enfermedad de células falciformes que permita realizar cambios tempranos en la terapéutica y detecte complicaciones de forma oportuna para evitar complicaciones mayores.

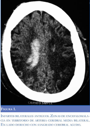
Presentación de caso. Paciente de raza negra, natural y procedente de San Pedro de los Milagros, Antioquia, con antecedente de enfermedad de células falciformes detectada a los 12 años cuando presentó déficit motor del hemicuerpo derecho, demostrándose en imágenes un ataque isquémico en territorio de la arteria cerebral media izquierda. Desde ese momento la paciente quedó con secuelas motoras. Hacia los 15 años presentó déficit en hemicuerpo izquierdo secundarios a un segundo ataque cerebro-vascular de arteria cerebral media derecha (Figura 1). Desde este momento se inició tratamiento con acido acetil salicílico, y en su evolución requirió múltiples hospitalizaciones y transfusiones.

La paciente presentaba un deterioro cognoscitivo importante no cuantificado por pruebas neurop-sicológicas pero que necesitaba supervisión para sus actividades diarias y tenia dependencia para su autosostenimiento. El estudio genético confirmo el compromiso homocigoto de una enfermedad de células falciformes. Los padres eran primos y tenían rasgos heterocigotos para la enfermedad.

A los 24 años de edad la paciente quedó en embarazo, el control prenatal se realiza por alto riesgo obstétrico (ARO). Durante la gestación requirió hospitalizaciones por crisis dolorosas, transfusiones por anemia, y estudios del feto por posible retardo del crecimiento intrauterino (RCIU). A las 34 semanas de gestación, presentó cefalea súbita intensa e inconciencia, minutos después desarrolló convulsiones generalizadas sin recuperar conciencia postictal.

Ingresó al hospital local con Glasgow 7/15 (O1V1M5) con cifras tensionales elevadas (PA:180/100), con nuevas crisis convulsivas se intubó la paciente y remitió a centro obstétrico especializado. Se realizó reanimación avanzada, se controlaron las crisis convulsivas y se llevó a cesárea de urgencia, obteniendo un fruto de bajo peso para la edad gestacional, peso 1600gr, talla 43cm. El recién nacido fue trasladado a la unidad de cuidados intensivos pediátrico, se le documenta una estenosis de rama pulmonar derecha, por lo cual se remitió a centro cardiovascular.

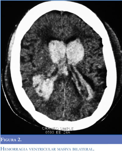
La paciente fue trasladada a la unidad de cuidados intensivos. No recuperó su estado de conciencia a pesar de suspender anestésicos y sedantes. Se realizó una tomografía de cerebro, que mostró hemorragia intraventricular masiva (Figura 2). Se consideró como diagnostico hemorragia intraventricular y estado convulsivo secundarios a hipertensión inducida por el embarazo con probable síndrome de HELLP.

Se remitió a centro especializado con Unidad de Cuidados Intensivos Neurológicos (UCIN). Ingresó con Glasgow para paciente intubada 3T(O1M1), isocórica normorreactiva, con mirada conjugada desviada a la izquierda, espasticidad generalizada, hiperreflexia y rigidez nucal.

Se brindó soporte ventilatorio, y monitoreo invasor y para el control de la hipertensión arterial se utiliza labetalol. Ante la sospecha de estado epiléptico convulsivo se realiza video monitoreo electroencefalográfico continuo, evidenciando múltiples descargas de puntas y ondas agudas bilaterales de predominio parietal izquierdo. Se controlan las crisis hipertónicas con fenitoína y midazolam endovenosos. Sin embargo persisten crisis sutiles de chupeteo, clonías palpebrales y mirada desviada a la izquierda que se controlan con adición de feno-barbital parenteral.

Se realizó ventriculostomía externa con drenaje parcial de la hemorragia ventricular. La presión arterial se continuo modulando con antihiperten-sivos orales.

En los exámenes realizados nunca se registro proteinuria, elevación de transaminasas, prolongación de tiempos de coagulación ni elevación de ácido úrico. Con lo anterior se descartó síndrome HELLP.

Una arteriografía realizada durante la primera semana de evolución mostró estenosis de la carótida izquierda con adelgazamiento distal de la vascula-tura cerebral con neoformación y colateralización de circulación externa con la interna conformando un patrón típico de síndrome moyamoya (Figuras 3, 4, 5 y 6). El control imagenológico hacia los 15 días de hospitalización evidenció una disminución del 50% en el volumen del sangrado intraventricular. La paciente logró llegar a un alertamiento espontáneo sin contenido de la conciencia ni respuesta al llamado. A los 45 días de evolución logra salir de UCIN con traqueostomía percutánea y nutrición por gastrostomía.

DISCUSIÓN

El termino moyamoya fue introducido por Suzuki y Takaku en 1957 por el aspecto angiográ-fico de la circulación colateral cerebral en humo de cigarrillo o fumarola (en japonés "moyamoya"). En esta entidad existe una esteno-oclusión de múltiples vasos intracraneales con aparición de colaterales del polígono de Willis, leptomeningeas o con formación de aneurismas u otras malformaciones arteriovenosas. Cuando existen colaterales entre circulación anterior y posterior o entre la circulación intracraneana y la extracraneana existe mayor riesgo de hemorragia intracraneana. En la enfermedad de moyamoya existe predisposición genética, en cambio, en aquellos pacientes sin la enfermedad pero con el patrón angiográfico típico existe una enfermedad de base (síndrome de moyamoya) que los predispone a desarrollar el daño vascular, como la ateroesclero-sis en ancianos, la neurofibromatosis, la esclerosis tuberosa, la tuberculosis, el síndrome de Down y la enfermedad de células falciformes (5-6). Dobson describió 44 pacientes con enfermedad de células falciformes y demostró que aquellos con síndrome o patrón angiográfico de moyamoya tuvieron más riesgo de eventos cerebrovasculares recurrentes (7).

No existe un tratamiento específico para la enfermedad de células falciformes pero se han encontrado múltiples abordajes terapéuticos que pueden aminorar la progresión de la enfermedad y las complicaciones derivadas de la misma.

La hidroxiurea disminuye el número de crisis dolorosas, el síndrome toráxico agudo, las hospitalizaciones y la necesidad de transfusiones (8,9). Las transfusiones son parte fundamental en el manejo de los pacientes con anemia de celulas falciformes, en general disminuyen el riesgo de un primer ataque cerebrovascular, como demostró el estudio STOP (Stroke Prevention Trial in Sickle Cell Anemia study) (10), también disminuye el ACV recurrente, la progresión de la lesion pulmonar, las crisis dolorosas y las complicaciones penoperatonas (11).

Dada la asociación con malformaciones vasculares por deformidad endotelial y sus deletéreas complicaciones neurológicas, se recomienda estudiar angiográficamente los pacientes con anemia falciforme tan pronto como se diagnostique la enfermedad y hacer un seguimiento para considerar la opción quirúrgica en casos de encontrar patrones vasculares tipo moyamoya (5,6). La cirugía de bypass extracra-neal—intracraneal o encefaloduroarteno-smangiosis ha demostrado seguridad y efectividad en casos seleccionados (12). En un reporte de caso se demostró una menor recurrencia de infartos cerebrales con estabilización de las velocidades del flujo sanguíneo cerebral luego de la cirugía de bypass cerebral (13).

Se debe enfatizar en la asesoría genética dada la altísima morbimortalidad que tienen las pacientes con anemia de células falciformes (1,4).

El estado epiléptico convulsivo es una complicación que se puede presentar en los pacientes con ataque cerebrovascular, y según análisis de base de datos en Estados Unidos, se puede presentar en el 0.3% de los pacientes con un evento hemorrágico (14).

En casos de complicaciones neurológicas derivadas o no de la gestación se recomienda la monitoria neurológica multimodal en una unidad de cuidado intensivo neurológico que permita realizar cambios tempranos en la terapéutica y detecte complicaciones de forma oportuna para evitar complicaciones mayores (15-18).

Este reporte de caso coincide con lo informado en la literatura, pues la paciente presenta secuelas de ACV recurrentes asociadas a el patrón de moyamoya en la angiografía. Este caso es interesante pues la paciente además se presenta con un estado epiléptico, complicación que debe tenerse en cuenta, más aun cuando los pacientes no se alerten adecuadamente luego de retirar la sedación profunda o los anestésicos o si se aprecia deterioro de conciencia asociado a movimientos sutiles de ojos, párpados o cara, caso en el cual estaría conformando un estado convulsivo o un estado parcial sutil que debe monitorizarse con electroencefalografía y video mientras se trata adecuadamente.

REFERENCIAS

1. VILLERS MS, JAMISON MG, DE CASTRO LM, JAMES AH. Morbidity associated with sickle cell disease in pregnancy. Am J Obstet Gynecol 2008; 199:e1-125.e5

2.Informe de la reunión de un grupo de expertos en Genética Médica (La Habana, Cuba, octubre 9-11 de 1987) OPS, OMS, 30 pags. Ejecución de las actividades de Salud Genética en América Latina y el Caribe.

3.OHENE-FREMPONG K, WEINER SJ, SLEEPER LA, MILLER ST, EMBURY S, MOOHR JW, ET AL. Cerebrovascular Accidents in Sickle Cell Disease: Rates and Risk Factors. Blood 1998; 91: 288-294.

4.BATEMAN BT, SCHUMACHER HC, BUSH-NELL CD, PILE-SPELLMAN J, SIMPSON LL, ET AL. Intracerebral hemorrhage in pregnancy: Frequency, risk factors, and outcome. Neurology 2006; 67:424-429.

5.SCOTT RM, SMITH ER. Moyamoya disease and moyamoya syndrome. N Engl J Med. 2009; 19: 360:1226-1237.

6. GREGORY J ZIPFEL, DOUGLAS J FOX JR, DENNOS J RIVET. Moyamoya Disease in Adults: The Role of Cerebral Revascularization. Skull Base 2005;15 : 27-41.

7.DOBSON SR, HOLDEN KR, NIETERT PJ, CURE JK, LAVER JH, ET AL. Moyamoya syndrome in childhood sickle cell disease: a predictive factor for recurrent cerebrovascular events. Blood 2002; 99: 3144-3150.

8.LANZKRON S, STROUSE JJ, WILSON R, BEACH MC, HAYWOOD C, ET AL. Systematic Review: Hydroxyurea for the Treatment of Adults with Sickle Cell Disease. Ann Intern Med. 2008; 148: 939-955.

9.CHARACHE S, TERRIN ML, MOORE RD, DOVER GJ, BARTON FB, ET AL. Effect of hydroxyurea on the frequency of painful crises in sickle cell anemia. Investigators of the Multicenter Study of Hydroxyurea in Sickle Cell Anemia. N Engl J Med 1995; 332: 1317-1322.

10.ADAMS RJ, MCKIE VC, HSU L, FILES B, VICHINSKY E, PEGELOW C, ET AL. Prevention of first stroke by transfusions in children with sickle cell anemia and abnormal results on transcranial Doppler ultrasonography. N Engl J Med 1998; 339:5-11.

11. SHANNON W, KEITH C. Quirolo Current issues in blood transfusion for sickle cell disease. Current Opinion in Pediatrics 2009; 21:15-21.

12.HANKINSON TC, BOHMAN LE, HEYER G, LICURSI M, GHATAN S, ET AL. Surgical treatment of moya moya síndrome in patients with sickle cell disease: outcome following encephaloduroarterio-synangiosis. J Neurosurg Pediatrics 2008; 1: 211-216.

13.SCHMUGGE, M. Stroke in hemoglobin (SD) sickle cell disease with moyamoya: successful hydroxyurea treatment after cerebrovascular bypass surgery. Blood. 2001; 97: 2165-2167.

14.BATEMAN BT, CLAASSEN J, WILLEY JZ, HIRSCH LJ, MAYER SA, ET AL. Convulsive status epilepticus after ischemic stroke and intracerebral hemorrhage: frequency, predictors, and impact on outcome in a large administrative dataset. Neurocrit Care 2007; 7: 187-193.

15.SWITZER JA, HESS DC, NICHOLS FT, ADAMS RJ. Pathophysiology and treatment of stroke in sickle-cell disease: present and future. Lancet Neurol 2006; 5: 501-512.

16.ROGERS DT, MOLOKIE R. Sickle cell disease in pregnancy. Obstet Gynecol Clin North Am. 2010;37:223-37

17.HOWARD J, OTENG-NTIM E. The obstetric management of sickle cell disease. Best Pract Res Clin Obstet Gynaecol. 2012; 26: 25-36.

18.SHETH SS, SHETH KN. Treatment of Neu-rocritical Care Emergencies in Pregnancy. Curr Treat Options Neurol. 2012 Feb 2. (Epub ahead of print)