Caso clínico

Hemangioma capilar intramedular

Intramedullary capillary hemangioma

Vladimir Rodríguez Parra, Gustavo Adolfo Díaz Silva, Diana Paola Quiroz, Carlos Zamora, Ronald Gerardo García Gómez, Alexandra Pérez Sotelo

Vladimir Rodríguez Parra. MD. Gustavo Adolfo Díaz Silva. MD. Grupo de Ciencias Neurovasculares.
Diana Paola Quiroz. MD. Área de Investigación en Pediatría, Instituto del Corazón.
Carlos Zamora. MD. Departamento de Patología, adscrito a la Fundación Cardiovascular de Colombia.
Ronald Gerardo García Gómez. MD, PhD. Grupo de Ciencias Neurovasculares.
Alexandra Pérez Sotelo. MD 2. Área de Investigación en Pediatría. Instituto del Corazón, Fundación Cardiovascular de Colombia, Floridablanca, Colombia.

Correspondencia: vlad.rodriguez@hotmail.com o vladimirrodriguez@fcv.org

Recibido: 06/09/12. Revisado: 04/03/13. Aceptado: 21/05/13.


RESUMEN

Los hemangiomas capilares son lesiones tumorales benignas comunes en diferentes localizaciones. Sin embargo la afección del sistema central es extremadamente inusual. En la literatura tan solo han sido reportados 7 casos de hemangiomas capilares de localización exclusiva intramedular y poco más de 20 casos con compromiso extra-medular adicional. Reportamos un paciente adolescente alteración motora y sensitiva progresivo del miembro superior izquierdo asociado a cervicalgia y espasmos musculares cervicales. La resonancia magnética reveló la presencia de una lesión medular cervical sugestiva de neoplasia con un importante componente vascular. Durante la resección no se observó compromiso extra-medular. Los exámenes histopatológico e inmunohistoquímico confirmaron el diagnostico de hemangioma capilar. Si bien, se han publicado muy pocos casos de hemangiomas capilares intramedulares, se cree que puede existir un importante subregistro. En general constituyen una patología benigna de buen pronóstico y que no requiere de manejos adyuvantes como quimio o radioterapia, pero si de un seguimiento neurológico.

PALABRAS CLAVE: hemangioma intramedular capilar, paresia, alteración sensitiva (DeCS).


SUMMARY

Intramedullary capillary hemangiomas are common benign tumors in different locations; however, only 7 cases with involvement of central nervous system have been previously reported and near 20 cases with involvement of the central nervous system have been described. We report a 16 year old male who developed to cervical pain and muscle spasms. The magnetic resonance imaging revealed the presence of a cervical spinal cord injury suggesting a neoplastic lesion with a significant vascular component. The spinal cord lesion was resected and no extramedullary compromise was observed. Histopathological and immunohistochemical examinations confirmed the diagnosis of a capillary hemangioma.Only few cases of intramedullary capillary hemangiomas have been published, it is believed that there is an important under register. This condition represents a benign pathology with a good prognosis. Radiotherapy and chemotherapy is not required in this cases.

KEY WORDS: intramedullary capillary hemangioma; paresis; sensory deficit (MeSH).


INTRODUCCIÓN

Los hemangiomas capilares son lesiones tumorales benignas del endotelio vascular, observadas comúnmente en la piel, mucosas y tejidos blandos, especialmente en cabeza y cuello (1, 2). Con frecuencia, también suelen afectar los cuerpos vertebrales, globos oculares y el hígado. Sin embargo, el compromiso del Sistema Nervioso Central (SNC) es extremadamente raro (3). La población pediátrica parece tener una mayor susceptibilidad al desarrollo de hemangiomas capilares, aunque los casos descritos de compromiso nervioso han sido reportados predominantemente en sujetos mayores de 50 años (4). En la literatura, poco más de 20 casos de hemangiomas capilares intradurales de localización extramedular han sido reportados, mientras que solo se han documentado 7 casos de localización exclusivamente intramedular (3-11). La mayor parte de los casos descritos de Hemangiomas Capilares Intramedulares (HCIM) se ubican en la médula dorsal o afectando el cono medular o las raíces de la cauda equina (12).

A continuación se presenta el caso de un adolescente que debutó con dolor cervical asociado a espasmos musculares y que dos meses después del inicio de la sintomatología se asoció a monoparesia de miembro superior izquierdo y alteración sensitiva progresiva. Finalmente se realizó el diagnóstico de Hemangioma Capilar de localización exclusiva Intramedular (HCIM), que además destaca por su ubicación en segmentos cervicales, hallazgo aún más inusual y que correspondería al segundo caso descrito en el mundo con esta localización cefálica.

Presentación de caso

Paciente de sexo masculino de 16 años de edad, sin antecedentes patológicos relevantes, quién desarrolló dolor cervical asociado a espasmos musculares en dicha región, manejado hasta ese momento con medidas locales y analgésicos comunes. Dos meses después del inicio de estos síntomas, el paciente desarrolló monoparesia del miembro superior izquierdo y alteración sensitiva distal distal en el mismo miembro. Al ingreso a nuestra institución se encontró al paciente sin déficit en la esfera mental, ni alteraciones al examen físico general, pero con monoparesia de miembro superior izquierdo 2/5 y con hipoestesia ipsilateral en el dorso de la mano. Se realizó resonancia magnética (RM) de columna cervical en la cual se evidenció una lesión medular intraaxial cervical que comprometía desde la altura del cuerpo vertebral C2 hasta C5, de intensidad mixta y que captaba activamente el medio de contraste, sin evidencia de nido vascular (Figura 1). Con base en lo anterior, se consideró la posibilidad de una neoplasia intramedular altamente vascularizada. La arteriografía medular cervical permitió observar una lesión neoplásica con vascularización tipo capilar y con drenaje por venas dorsales prominentes y permitió descartar la posibilidad de una malformación arteriovenosa (Figura 2).

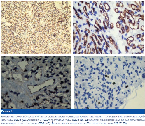
El paciente fue llevado a laminectomía C2 - C5, más resección del tumor intramedular, logrando una resección mayor al 95% de la masa tumoral. La pieza macroscópica obtenida fue de un tejido semiencapsulado violáceo, altamente vascularizado y de consistencia blanda; fue llevada a evaluación histopatológica, en la que se describieron múltiples formaciones neoplásicas de características multilobuladas correspondientes a pequeños vasos sanguíneos de paredes delgadas recubiertas por células endoteliales maduras sin atipia citonuclear, ni actividad mitótica. En la periferia de la lesión se observó tejido normal con límites claramente definidos con las formaciones neoplásicas. Lo anterior, sugirió el diagnóstico de hemangioma capilar, por lo que se enviaron muestras para estudio inmunohistoquímico, en el que la positividad para los antígenos CD31 y Ki-67 y un índice de proliferación celular de 2% confirmó el diagnóstico (Figuras 3 y 4).

La evolución postoperatoria del paciente fue satisfactoria, con desaparición del dolor y progresiva recuperación del déficit motor en seguimiento a dos años.

DISCUSIÓN

Los hemangiomas son lesiones tumorales benignas del endotelio vascular, caracterizadas histológicamente por su distribución en lóbulos constituidos por múltiples vasos capilares de diferentes tamaños y divididos por tabiques de tejido conectivo. Adicionalmente, dependiendo del tipo de vaso dominante, estas lesiones pueden ser subclasificadas como hemangiomas capilares o cavernosos (1, 6).

Las características histopatológicas de los hemangiomas capilares en el SNC son similares a los hemangiomas capilares cutáneos. Macroscópicamente consisten en masas de color violáceo ó rojo-intenso, compuestas predominantemente por componentes vasculares y encapsuladas por tejido conectivo, lo que permite una franca delimitación del parénquima subyacente.

El comportamiento epidemiológico de los hemangiomas capilares del SNC no es muy conocido, en parte debido a la baja frecuencia de aparición y a su alto índice de subdiagnóstico. Según los reportes de casos de HCIM parece existir predominio de afección en sujetos mayores de 50 años (2). Roncaroli y colaboradores en una extensa revisión de casos, encontraron un promedio de edad de el diagnóstico de 52 años (12, 13). A pesar de esto, también se han descrito casos de hemangiomas capilares intradurales en infantes (4, 5). En el presente reporte se describió el caso de un paciente adolescente, edad de afección inusual.

En la literatura existen tan solo 7 casos de hemangiomas capilares de ubicación exclusiva intramedular (2-10). La localización más frecuente de este tipo de lesiones corresponde a los segmentos dorsales de la médula espinal, existen muy pocos casos de ubicaciones altas en la medula espinal (2, 8). Nowak y colaboradores realizaron una revisión de 20 casos reportados de hemangiomas capilares intradurales cuya localización más frecuente fue en el cono medular o la cauda equina. De los 5 tumores de ubicación exclusiva intramedular, 1 se ubicó en el cono medular y los otros 4 entre los segmentos D9 A D11 (12). En el caso presentado, esta lesión vascular se encontró en una localización aún más inusual, existiendo tan solo un reporte previo de compromiso cervical (10). Adicionalmente, el predominio del sexo masculino parece ser una característica de este tipo de lesión vascular neoplásica (13).

La sintomatología principal en estas lesiones suele ser la presencia de dolor en los dermatomos correspondientes a la localización de la lesión medular, alteraciones motoras y sensitivas (11, 12). Se ha estimado que las manifestaciones dolorosas se pueden presentar hasta en el 80% de los sujetos afectados, mientras el compromiso motor se observa entre el 30 y el 60% de los casos. Hasta en el 15% de los casos se puede encontrar disfunción de esfínteres (12). Al igual que lo publicado en la literatura, en el caso descrito los síntomas iniciales correspondieron a dolor en el área correspondiente a la ubicación de la lesión medular, asociado a alteración progresiva de de la fuerza muscular y déficit sensitivo en miembros superiores. Las manifestaciones clínicas usualmente son de intensidad leve, con un carácter lentamente progresivo, llevando a compromiso neurológico severo en casos de evolución prolongada, sin intervención alguna.

El método diagnóstico inicial para estas lesiones es la RM. Los principales hallazgos documentados en la RM consisten en imágenes isointensas en T1 e hiperintensas en T2 con intensa captación del gadolinio (14-16). Sin embargo en algunos casos descritos, se han reportado patrones imaginológicos opuestos.

El diagnóstico diferencial incluye la presencia de hemangioblastoma, malformaciones arteriovenosas, angioma cavernoso, hemangiopericitoma, y hemangioendotelioma (6, 8).

Los marcadores inmunohistoquímicos ayudan en la diferenciación y correcta caracterización en este tipo de lesiones. Abe y colaboradores, llevaron a cabo un estudio, en el que compararon las características histopatológicas e inmunohistoquímicas de los hemangiomas capilares cutáneos y los hemangiomas localizados en el SNC, documentando en los hemangiomas capilares medulares, positividad para el antígeno relacionado con el Factor VIII y el CD31 en las células endoteliales aplanadas que recubren las paredes de los capilares. Otro de los marcadores descritos como positivo en todos los casos reportados en dicho estudio fue el SMA, el cual se ubica en la capa subendotelial de los capilares. La positividad para el antígeno Ki-67 se halló entre las células endoteliales y las células del estroma. Los marcadores inmunohistoquímicos descritos para los hemangiomas capilares cutáneos son similares a los observados en los hemangiomas del SNC, aunque con algunas diferencias en la intensidad de las tinciones y de los índices de apoptosis (17).

El tratamiento de este tipo de lesiones se hace con exéresis microquirúrgica en bloque de la lesión (1, 12). Puede no haber recuperación de las alteraciones sensitivas y motoras en el postoperatorio inmediato, y en algunos casos se ha descrito empeoramiento de las manifestaciones, especialmente alteración en la propiocepción e incluso deterioro en el control de esfínteres. En el postoperatorio tardío se aprecia una mejoría significativa, especialmente en la alteración de fuerza y en menor grado de los trastornos sensitivos (1, 12). En el presente caso, no se observaron cambios en el compromiso sensitivomotor inicial durante el postoperatorio inmediato, sin embargo en los controles ambulatorios, se apreció notable mejoría de la monoparesia desde el 1 mes post-quirúrgico.

El seguimiento postquirúrgico se orienta principalmente al reporte de casos de diseminación extensa en piel, así como también de aparición de múltiples lesiones satélites tras la exéresis quirúrgica de hemangiomas capilares cutáneos (2).

El hemangioma capilar intramedular es una neoplasia benigna extremadamente inusual. Sin embargo se cree que existe un importante subdiagnóstico, especialmente debido a un escaso conocimiento de la patología. Debido al buen pronóstico que conllevan este tipo de lesiones después de la exéresis quirúrgica (1, 2, 12), no es necesario someter a los pacientes afectados a tratamientos como la quimioterapia o radioterapia.

Agradecimientos

Los autores desean agradecer a los neurocirujanos Mario Isidoro Bueno e Iván Freire quienes participaron en el cuidado del paciente.

El Dr. Rodríguez como autor principal declara la ausencia de conflicto de interés en relación a este artículo. 


REFERENCIAS

1. ENZINGER FM, WEISS SH. Benign Tumors and tumor-like lesions of blood vessels. In: Weiss SH, Goldblum JR eds. Enzinger and Weiss's soft tissue tumors, 3rd edn. St Louis: Mosby; 1995: 581-6.

2. RONCAROLI F, SCHEITHAUER BW, KRAUSS WE. Capillary hemangioma of the spinal cord. Report of four cases. J Neurosurg 2000; 93: 148-51.

3. HEM S, LANDRIEL F, HASDEU S, KITROSER M, PEÑA L, VECCHI E. Hemangioma capilar medular. Reporte de un caso y revisión de la literatura. Rev Argent Neuroc 2008; 22: 118-20.

4. IANELLI A, LUPI G, CASTAGNA M, VALLERIANI A, BECHERINI F. Intramedullary capillary hemangioma associated with hydrocephalus in an infant. J Neurosurg 2005; 103: 272-6.

5. MAWK JR, LEIBROCK LG, MCCOMB RD, TREMBATH EJ. Metameric capillary hemangioma producing complete myelographic block in an infant. Case Report. J Neurosurg 1987; 67: 456-9.

6. ABE M, TABUCHI K, TANAKA S, ET AL. Capillary hemangioma of the central nervous system. J Neurosurg 2004; 101: 73-81.

7. RONCAROLI F, SCHEITHAUER BW, DEEN HG. Multiple hemangiomas (hemangiomatosis) of the cauda equina and spinal cord. Case report. J Neurosurg 2000; 92: 229-32.

8. SHIN JH, LEE HK, JEON SR, PARK SH. Spinal intradural capillary hemangioma: MR Findings. AJNR Am J Neuroradiol 2000; 21: 954-6.

9. ANDALUZ N, BALKO MG, STANEK J, MORGAN C, SCHWETSCHENAU PR. Lobular capillary hemangioma of the spinal cord: case report and review of the literature. J Neurooncol 2002; 56: 261-4.

10. HIDA K, TADA M, IWASAKI Y, ABE H. Intramedullary disseminated capillary hemangioma with localized spinal cord swelling: case report. Neurosurgery 1993; 33: 1099-101.

11. KASUKURTHI R, RAY WZ, BLACKBURN SL, LUSIS EA, SANTIAGO P. Intramedullary capillary hemangioma of the thoracic spine: case report and review of the literature. Rare Tumors 2009; 1: 4-6.

12. NOWAK DA, WIDENKA DC. Spinal intradural capillary haemangioma: a review. Eur Spine J 2001; 10: 464-72.

13. RONCAROLI F, SCHEITHAUER BK, KRAUSS WE. Hemangioma of spinal nerve root. J Neurosurg 1999; 91: 175-80.

14. KELLEHER T, AQUILINA K, KEOHANE C, O'SULLIVAN MG. Intramedullary capillary haemangioma. Br J Neurosurg 2005; 19: 345-8.

15. KI JOON KIM, JI YOUNG LEE, SANG-HO LEE. Spinal intradural capillary hemangioma. Surg Neurol 2006: 66: 212-4.

16. MARQUES DE ALMEIDA, SARMENTO S, CORREJA LIMA DE ANDRADE R, EVALDO DE SOUSA NOBREGA, GONCALVES DA SILVA. Hemangioma capilar da medula. Arq Neuropsiquiatr 2004; 62: 357-9.

17. ABE M, MISAGO N, TANAKA S, TABUCHI K. Capillary hemangioma of the central nervous system: a comparative study with lobular capillary hemangioma of the skin. Acta Neuropathol 2005; 109: 151-8.