Hidrocefalia y aracnoiditis en neurocisticercosis
Hydrocephalus and arachnoiditis in neurocysticercosis
Federico Arturo Silva, Sergio Andrés Salgado, Vladimir Rodríguez, Nhora P. Ruiz, Mónica Ocampo, Jorge A. Castellanos Prada, Carlos Iván Amaya
Federico Arturo Silva, Sergio Andrés Salgado, Vladimir Rodríguez, Nhora Patricia Ruiz, Departamento de Neurociencias, Grupo de Ciencias Neurovasculares.
Mónica Ocampo, Departamento de Radiología.
Jorge A. Castellanos Prada, Carlos Iván Amaya. Departamento de Neurociencias, Grupo de Ciencias Neurovasculares. Fundación Cardiovascular de Colombia. Floridablanca, Santander, Colombia.
Correspondencia: federicosilva@fcv.org
Recibido: 19/05/13. Revisado: 23/05/13. Aceptado: 09/06/13.
RESUMEN
La neurocisticercosis es una enfermedad con alta prevalencia en países tropicales y de bajos recursos, sin embargo su incidencia ha aumentado en países desarrollados. Este es el caso de una mujer de 49 años con neurocisticercosis subaracnoidea generalizada asociada a compromiso encefálico y medular, una presentación rara de este parásito neurotrópico, con convulsiones y limitación motora severa. Las imágenes muestran respuesta inflamatoria generalizada del cerebro y el espacio subaracnoideo, hidrocefalia y múltiples lesiones calcificadas, reafirmando la importancia de las neuroimágenes para la correlación clínica y el diagnóstico de las enfermedades infecciosas cerebrales como la neurocisticercosis, con variabilidad en la presentación y múltiples compromisos del sistema nervioso central.
PALABRAS CLAVES. Neurocisticercosis, Líquido Cefalorraquídeo, Tomografía Computarizada, Imagen por Resonancia Magnética, Inmunoglobulina G (DeCS).
SUMMARY
Neurocysticercosis is a disease of high prevalence in tropical and low-income countries and its incidence has been increased in developed countries. This is the case of 49-year-old woman with generalized subarachnoid neurocysticercosis associated to encephalic and medullar compromise, a rare presentation of this neurotropic parasite, with seizures and severe motor limitation. Images showed generalized inflammatory response of the brain and spinal subarachnoid space, hydrocephalus and multiple calcified lesions, demonstrating and reaffirming the importance of neuroimaging tools for the clinical correlation and diagnosis of brain infectious diseases as neurocysticercosis with variability on the presentation and multiple central nervous system involvement.
KEY WORDS: Neurocysticercosis, Cerebrospinal Fluid, Computed Tomography Scanner, Magnetic Resonance Imaging, Immunoglobulin G (MeSH).
INTRODUCCIÓN
La neurocisticercosis (NCC) es la parasitosis más frecuente del sistema nervioso central (SNC) en los países de bajos recursos y es causada por la forma larvaria del helmito intestinal Taenia solium (1). La infección humana ocurre cuando se consumen los quistes de T. solium en agua o alimentos contaminados con heces de animales portadores del parásito como los cerdos (contaminación fecal-oral), o su carne mal cocinada (2-4). En regiones endémicas como Centroamérica, Sur América, África y Asia la incidencia oscila entre el 2-4% de la población general (5). Los estudios en Latino América han estimado en aproximadamente 75 millones las personas en riesgo de presentar NCC, 400.000 de las cuales son sintomáticas (6). El incremento en la incidencia de NCC en los Estados Unidos se debió a la inmigración desde regiones endémicas a aquellas zonas en las cuales la prevalencia del parásito es baja (7,8).
Las manifestaciones clínicas dependen de la localización de los quistes dentro del SNC y están divididas en formas parenquimatosas y extraparenquimatosas. Las formas extraparenquimatosas incluyen el compromiso intraventricular, subaracnoideo, intraocular y espinal. Los quistes parenquimatosos están asociados con convulsiones y cefalea, mientras que los quistes extraparenquimatosos lo están con síntomas de presión intracraneal elevada y compromiso mental. El examen neurológico usualmente no muestra signos focales y pueden ser inespecíficos e incluso el paciente puede estar asintomático.
El diagnóstico de NCC se realiza con base en los hallazgos clínicos y los estudios neuroimagenológicos. El análisis serológico confirmatorio puede ser de ayuda pero no es siempre necesario, es por ello que la evaluación neuroimagenológica es muy importante para entender la fisiopatología de la enfermedad. La evaluación de las lesiones primarias depende del estadio de la enfermedad (vesicular, coloide, granular y calcificado), la localización (parénquima cerebral, sistema ventricular, el espacio subaracnoideo o la médula espinal), la respuesta inflamatoria del huésped y de la presencia de procesos secundarios como hidrocefalia, paquimeningitis, aracnoiditis, gliosis, edema, vasculitis e isquemia entre otros (9,10).
PRESENTACIÓN DEL CASO
Un paciente de 49 años de sexo femenino, procedente de zona rural de Santander, Colombia, fue admitida a la Fundación Cardiovascular de Colombia por presentar historia clínica de 2 años de evolución caracterizada por caquexia marcada, dolor lumbar, cefalea intensa, debilidad muscular y dificultad para la marcha. Seis meses antes de la consulta la paciente inició con episodios convulsivos tónicoclónico generalizados y durante los últimos 4 meses los síntomas la han limitado completamente.
Al examen neurológico se encontró una paciente con dislalia, bradipsiquia, alteración cognitiva leve, papiledema bilateral, posturas distónicas cervicales, cuadriparesia espástica de predominio en el hemicuerpo derecho e hiperreflexia con signo bilateral de Babinski.
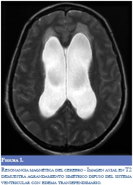
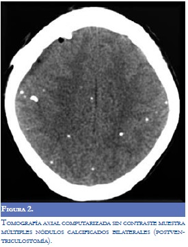
Los laboratorios realizados (hemograma, electrólitos, proteína C-reactiva, VDRL y VIH) fueron normales. Se realizó punción lumbar pero no se obtuvo retorno de líquido cefalorraquídeo (LCR) por bloqueo del espacio subaracnoideo. El LCR se obtuvo por medio de ventriculostomía externa y su análisis mostró hipoproteinorraquia; posteriormente se realizó derivación ventriculoperitoneal y se realizó un segundo análisis de LCR (Tabla 1). La reacción en cadena de polimerasa para tuberculosis fue negativa en LCR (otros análisis se encontraron normales). Los niveles de inmunoglobulina G en sangre fueron positivos para cisticerco (Índice IgG de 4,57; V.R. menor de 0,35). La primera resonancia magnética del cerebro realizada al ingreso al servicio de urgencias mostró marcada hidrocefalia (Figura 1). Después de la ventriculostomía externa, y la colocación de la derivación ventrículoperitoneal, la tomografía axial computarizada del cerebro (TAC) mostró múltiples nódulos calcificados sugestivos de NCC sin edema perilesional (Figura 2). La RM de la médula espinal reveló paquimeningitis generalizada, realce meníngeo y lesiones nodulares sugestivas de NC subaracnoidea (Figura 3). Otros estudios imaginológicos como TAC toracoabdominal con contraste y gamagrafía ósea se encontraron dentro de los límites normales. La biopsia meníngea realizada reveló la presencia de células fibrosas monomórficas rodeadas por tejido colagenosos, sin parásitos, compatible con inflamación crónica o hidrocefalia crónica.




Se inició tratamiento con albendazol 15mg/kg y prednisolona 10 mg al día durante 14 días. Un mes después de finalizado el tratamiento, la paciente fue valorada, observándose reversión del papiledema, disminución de la espasticidad, recuperación de la fuerza e inicio del patrón de marcha. Actualmente, la paciente se encuentra orientada con esfera mental normal y mejoría del estado nutricional. La válvula ventriculoperitoneal tiene una ubicación adecuada y es funcional. Al examen neurológico presenta lateropulsión leve pero sin paresia.
DISCUSIÓN
La NCC tiene desafíos especiales. El quiste parenquimatoso es la forma más común de NCC y se presenta en más del 60% de los casos (11,12). La forma extraparenquimatosa puede ocurrir en el espacio intraventricular o subaracnoideo y puede producir hidrocefalia, compromiso ocular o espinal (13). Alrededor del 50% de los pacientes tienen una combinación de 2 o más estadios de la NCC. A pesar de la elevada incidencia de NCC en zonas endémicas, el compromiso de la médula espinal ocurre en aproximadamente 1% de los casos. La cisticercosis espinal usualmente está localizada en el espacio subaracnoideo donde puede producir cambios inflamatorios y desmielinizantes en las raíces de los nervios periféricos. Los pacientes usualmente presentan dolor radicular, parestesias o alteraciones en el control de esfínteres (14,15).
Las características neuroimagenológicas de las lesiones dependen del estadio del parásito. El primer estadio es la fase vesicular, en la cual la tenia tiene una forma quística menor de 1.5 pulgadas, con una membrana muy delgada. El quiste puede permanecer latente durante décadas o puede entrar en un proceso de degeneración que termina con la muerte del parásito. En esta fase se puede reconocer la imagen patognomómica de "agujero con punto" ("hole with dot"). El siguiente estadio es la etapa coloidal, llamada también "fase de encefalitis", donde se presentan múltiples lesiones con una pared quística de mayor grosor y un escólex interno. En esta etapa la RM muestra un quiste rodeado de una pared gruesa e hipointensa con marcado edema perilesional. La etapa nodular se deriva del aspecto granular del escólex. En la RM se pueden observar lesiones hiperintensas nodulares rodeadas por edema o gliosis; en este punto de la respuesta inflamatoria, la identificación estructural del parásito sigue siendo difícil (16).
El estadio final se desarrolla cuando los quistes evolucionan a la fase calcificada, donde se convierten en nódulos calcificados e inertes. Esta fase es la más frecuente y el diagnóstico se realiza principalmente mediante la TAC simple, que muestra múltiples lesiones pequeñas hiperdensas sin edema perilesional. Aunque en la RM estas lesiones inactivas pueden realzar con gadolinio, en esta etapa la TAC adquiere más importancia que la RM debido a su sensibilidad para identificar calcificaciones (Figuras 2 y 3).
Otras localizaciones de la NCC incluyen el espacio intraventricular en el 33% de los casos, el cuarto ventrículo es el más afectado, seguido por los ventrículos laterales, tercer ventrículo y por último el acueducto (7). La cisticercosis ventricular se observa en la TAC como lesiones hipodensas que distorsionan el sistema ventricular causando hidrocefalia obstructiva o asimétrica (10). La forma subaracnoidea corresponde al 2-12% de los casos y las imágenes muestran un compromiso difuso con aracnoiditis, hidrocefalia, vasculitis con o sin compromiso isquémico (1). La cisticercosis medular puede ocurrir con menor frecuencia y puede estar asociada con mielopatía debido a la invasión intramedular del quiste (2); los hallazgos radiológicos se resumen en la tabla 2.

El compromiso neurológico se produce por las formas activas e inactivas de la NCC. Las manifestaciones clínicas y los hallazgos imagenológicos dependen de la localización de las lesiones en el SNC, la respuesta inflamatoria, el compromiso en la circulación del LCR y la etapa de la enfermedad. Este caso tuvo una gran variedad de manifestaciones neurológicas estrechamente relacionadas con el compromiso difuso del SNC. En la evaluación clínica y neuroimagenológica se demostró una NCC nodular calcificada con hidrocefalia, compromiso medular y trastornos motores. La TAC y la RMN mostraron una forma meníngea crónica de la NC con compromiso espinal caracterizado por la presencia de hipertensión intracraneal secundaria a aracnoiditis generalizada y adherencias que ocasionaron obstrucción del flujo del LCR e hidrocefalia. Hubo aracnoiditis cerebral y espinal. La paciente tuvo convulsiones recurrentes y síntomas motores explicados por nódulos focales e hidrocefalia, hipertensión intracraneal y aracnoiditis medular, respectivamente.
La evaluación neuroimagenológica es muy importante dada la tasa de falsos negativos que tienen las pruebas de laboratorio para la cisticercosis (por ejemplo, el ensayo inmunoabsorbente ligado a enzimas -ELISA-), que puede estar cerca del 40% (17). Sin embargo, a pesar de que el diagnóstico de NCC puede ser difícil, incluso en lugares de alta incidencia, en nuestro paciente hubo una concordancia entre la prueba diagnóstica de laboratorio, los hallazgos imaginológicos y la evolución clínica después del tratamiento.
El diagnóstico diferencial es muy importante en este tipo de compromiso neurológico. Por ejemplo, las complicaciones cerebrovasculares de la NCC son similares a los infartos cerebrales por otras causas vasculares (18). La aracnoiditis espinal crónica puede observarse en otras infecciones cerebrales como la tuberculosis y los hongos, o condiciones inflamatorias como la sarcoidosis (19). En nuestro caso, las neuroimágenes fueron la clave para llegar al diagnóstico.
Este reporte de caso muestra diferentes formas de presentación de la NCC en el mismo paciente con la descripción de un tipo infrecuente de la enfermedad, la forma subaracnoidea, caracterizada por una sintomatología y un compromiso difuso, menos comunes que pueden dificultar su enfoque. Sin embargo, los estudios imaginológicos, TAC y RM, tienen una alta sensibilidad y especificidad en el diagnóstico de NCC. Son herramientas muy útiles para llegar al diagnóstico final y definir el tratamiento en pacientes NCC como hemos demostrado en este caso.
Los médicos deben estar informados de las manifestaciones neurológicas generalizadas y la variabilidad de los signos radiológicos para encontrar esas formas poco frecuentes de la enfermedad. Aunque se trata de una parasitosis común en los países tropicales y de bajos recursos, el aumento actual de las migraciones facilita la presentación global de este tipo de enfermedades por lo que los médicos de cualquier latitud deben estar sensibilizados para reconocer y tratar estas condiciones.
Conflicto de intereses. Los autores no expresan conflicto alguno de intereses y aceptan todo el contenido.
REFERENCIAS
1. GARCÍA HH, DEL BRUTTO OH. Neurocysticercosis: updated concepts of an old disease. Lancet Neurol. 2005; 4:653-61.
2. KRAFT R. Cysticercosis: An Emerging Parasitic Disease. Am Fam Physician. 2007; 76: 91-6.
3. KIMURA-HAYAMA ET, HIGUERA JA, CORONA-CEDILLO R, CHÁVEZ-MACÍAS L, PEROCHENA A, QUIROZ-ROJAS LY, ET AL. Neurocysticercosis: Radiologic-Pathologic Correlation. Radiographics. 2010; 30:1705-19.
4. GARCÍA HH, GONZALEZ AE, TSANG VCW, GILMAN RH. Neuro¬cysticercosis: some of the essentials. Pract Neurol. 2006; 6:288-97.
5. MARTINEZ HR, RANGEL-GUERRA R, ARREDONDO-ESTRADA JH, MARFIL A, ONOFRE J. Medical and surgical treatment in neurocysticercosis: a magnetic resonance study of 161 cases. J NeurolSci. 1995; 130:25-34.
6. BERN C, GARCIA HH, EVANS C, GONZALEZ AE, VERASTEGUI M, TSANG VC, ET AL. Magnitude of the disease burden from neurocysticercosis in a developing country. Clin Infect Dis. 1999; 29:1203-09.
7. CUETTER AC, GARCIA-BOBADILLA J, GUERRA LG, MARTINEZ FM, KAIM B. Neuroysticercosis: focus on intraventricular disease. Clin Infect Dis. 1997; 24:157-64.
8. WALLIN MT, KURTZKE JF. Neurocysticercosis in the United States: review of an important emerging infection. Neurology. 2004; 63:1559-64.
9. CASTILLO M. Imaging of neurocysticercosis. Semin Roentgenol. 2004; 39:465-73.
10. GARCÍA HH, DEL BRUTTO OH. Imaging findings in neurocysticercosis. Acta Trop. 2003; 87:71-8.
11. GARCIA, HH, WITTNER, M, COYLE, CM. Cysticercosis. In: Tropical Infectious Diseases: Principles, Pathogens, and Practice. In Guerrant, RL, Walker, DH, and Weller, PF eds, Philadelphia. Churchill-Livingstone, Elsevier. 2006:1289.
12. SERPA JA, YANCEY LS, WHITE AC JR. Advances in the diagnosis and management of neurocysticercosis. Expert Rev Anti Infect Ther. 2006; 4:1051-61.
13. SÁENZ B, RUÍZ-GARCIA M, JIMÉNEZ E, HERNÁNDEZ-AGUILAR J, SUASTEGUI R, LARRALDE C, ET AL. Neurocysticercosis: clinical, radiologic, and inflammatory differences between children and adults. Pediatr Infect Dis J. 2006; 25:801-3.
14. ALSINA GA, JOHNSON JP, MCBRIDE DQ, RHOTEN PR, MEHRINGER CM, STOKES JK. Spinal neurocysticercosis. Neurosurg Focus. 2002; 12:e8.
15. BANDRES JC, WHITE AC JR, SAMO T, MURPHY EC, HARRIS RL. Extraparenchymal neurocysticercosis: report of five cases and review of management. Clin Infect Dis. 1992; 15:799-811.
16. SUJIT KUMAR GS, RAJSHEKHAR V. New solitary cysticercus granulomas causing recurrent symptoms in patients with resolved solitary granulomas. Neurol India. 2004; 52:265-7.
17. NOUJAIM SE, ROSSI MD, RAO SK, CACCIAR LLI AA, MENDONCA RA, WANG AM, ET AL. CT and MR imagin of neurocysticercosis. AJR Am J Roetgenol. 1999; 173:1485-90.
18. ADITYA GS, MAHADEVAN A, SANTOSH V, CHICKABASAVIAH YT, ASHWATHNARAYANARAO CB, KRISHNA SS. Cysticercal Chronic basal arachnoiditis with infarcts, mimicking tuberculosis in endemic areas. Neuropathology. 2004; 24:320-25.
19. CHANG KH, KIM WS, CHO SY, HAN MC, KIM CW. Comparative evaluation of brain CT and ELISA in the diagnosis of neurocysticercosis. AJNR Am J Neuroradiol. 1988; 9: 125-30.