Manifestación atípica de encefalopatía posterior reversible (PRES) en Miastenia Gravis tratada con inmunoglobulina: reporte de caso
Atypical manifestation of posterior reversible encephalopathy (PRES) in Myasthenia Gravis treated with immunoglobulin: case report
Luis Fernando Roa Wandurraga, Laura Milena Barreto Forero, Angel Basilio Corredor Quintero
Luis Fernando Roa Wandurraga, MD, Neurólogo, especialista en Enfermedad Vascular Cerebral.
Laura Milena Barreto Forero, MD, Angel Basilio Corredor Quintero, MD, Residentes de Neurología, Fundación Universitaria Ciencias de la Salud. Hospital Infantil Universitario San José. Bogotá.
Correspondencia: luisroaw10@yahoo.com
Recibido: 08/07/13. Revisado: 23/09/13. Aceptado: 25/10/13.
RESUMEN
El Síndrome de Encefalopatía Posterior Reversible (PRES por sus siglas en Inglés), es una entidad rara que se asocia a hipertensión arterial, enfermedades autoinmunes y medicamentos oncológicos. Se describe una paciente de 62 años, con crisis miasténica que posterior al tratamiento con inmunoglobulina G presentó deterioro y focalización neurológica, con lesiones en resonancia magnética inicial sugestivas de PRES, las cuales se confirmaron en control imaginológico. Esta entidad debe ser considerada en los pacientes que presenten deterioro neurológico focal posterior al uso de inmunoglobulina.
PALABRAS CLAVES. Encefalopatías, Hemorragia Cerebral, Inmunoglobulina G, Miastenia Gravis (DeCS).
SUMMARY
The Posterior Reversible Encephalopathy Syndrome (PRES), is a rare entity that is associated with hypertension, autoimmune diseases and cancer drugs. We describe a 62 year old female patient with myasthenic crisis that following treatment with immunoglobulin G who presents neurological impairment, with initial MRI lesions suggestive of PRES, which were confirmed in control imaging. This entity should be considered in patients presenting with focal neurological impairment following the use of immunoglobulin.
KEY WORDS: Brain disease, Cerebral Hemorrhage, Immunoglobulin G, Myasthenia Gravis (MeSH).
INTRODUCCIÓN
El Síndrome de Encefalopatía Posterior Reversible (PRES) es una patología neurológica, con baja frecuencia, que se presenta como consecuencia de la alteración del endotelio vascular, secundaria a diferentes enfermedades e intervenciones terapéuticas. Por definición la localización usual es en regiones posteriores, sin embargo, han aumentado los reportes en otras localizaciones (1). En una revisión de la literatura, encontramos reportes de caso sobre manifestaciones atípicas del PRES asociados a uso de inmunoglobulina G humana en Síndrome de Guillain-Barrè (SGB) y otras patologías, sin embargo, no se encontraron casos asociados a Miastenia Gravis (MG). Se presenta este caso clínico ya que en la literatura son pocos los casos de PRES atípico asociado a inmunoglobulina y no hay relación con Miastenia Gravis.
Presentación del caso
Paciente femenina de 62 años, con antecedente de Miastenia Gravis y timectomia 12 años antes en tratamiento con piridostigmina 60mg cada 6 horas, azatriopina 50mg cada 12 horas, prednisolona 30mg al día. Ingresó a urgencias por manifestaciones clínicas de 3 días con deposiciones diarréicas, astenia y adinamia sin debilidad neuromuscular; se consideró como gastroenteritis con paraclínicos normales, hemograma sin leucocitosis, parcial de orina sin patología, se realizó hidratación y egresó por evolución favorable. ocho horas después, la paciente reingresó por aparición súbita de dolor en hipocondrio izquierdo asociado a disnea, taquipnea (FR: 26), taquicardia (FC: 132/min), con hipertensión sistólica (TA: 150/78) con saturación del 91% y FIO2 de 21% y alteración del alertamiento.
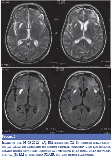
En la evaluación por neurología persistió disnéica con uso de musculatura intercostal, taquipnéica (FR: 32), taquicárdica (120) e inestabilidad hemodinámica (TA: 90/70), alerta con tendencia a la somnolencia, conteo vocal en 13, hipofonía, cuadriparesia 3/5 simétrica e hiporreflexia en 4 extremidades con respuesta plantar felxora bilateral. Se diagnosticó crisis miasténica, con inminencia de falla ventilatoria por lo cual se inició tratamiento con inmunolglobulina G humana y traslado a UCI. Durante la estancia hospitalaria, la paciente presentó respuesta inflamatoria sistémica, con aumento significativo de reactantes de fase aguda y enzimas hepáticas, secundario a bacteremia por Gram negativos, con requerimiento de soporte vasoactivo. Dos días después de finalizar manejo con inmunoglobulina, presentó focalización neurológica con mirada tónica hacia la izquierda, sin respuesta a estimulo externos, ni respuesta nociceptiva. Se realizó TC cerebral donde se evidenció sangrado en región frontal izquierda, otro en región cerebelosa derecha, ambos con edema perilesional, y disminución en la densidad en la sustancia blanca con aspecto de edema vasogénico (Figura 1). En la RM cerebral simple y contrastada se observaron lesiones hiperintensas subcorticales bilaterales con áreas de hemorragia (Figura 2). Se realizó panangiografia cerebral con vasoespasmo de la ACM izquierda M1 y ACA A1 derecha sin patrón de vasculitis. Durante su estancia hospitalaria presentó mejoría clínica y a las dos semanas se observó mejoría del edema vasogénico en las neuroimágenes (Figura 3).



DISCUSIÓN
La Encefalopatía Posterior Reversible (PRES) es una entidad infrecuente que se presenta en el contexto de patologías asociadas a compromiso sistémico del endotelio vascular, tales como enfermedades autoinmunes, trasplante de órganos, hipertensión, administración de quimioterapéuticos y ciclosporina (1); ellas generan lesión endotelial directa o indirecta por liberación de endotoxinas, con posterior inflamación del endotelio y repercuten sobre la membrana celular originando edema vasogénico y cambios de permeabilidad en la barrera hematoencefálica (2).
La localización usual del PRES se circunscribe a las áreas de la circulación posterior sin compromiso hemorrágico. Sin embargo se han descrito localizaciones atípicas en el siguiente orden de frecuencia: núcleo basales, tálamo, lóbulo frontal y tallo cerebral; también no solo presentan edema vasogénico el cual se representa hiperintenso en el mapa ADC y la difusión, sino que puede presentar otras lesiones de tipo isquémico, citotóxicas, hemorrágicas o realce anormal con el contraste en las neuroimágenes (3).
Son poco los casos de PRES por inmunoglobulina descritos, se han reportado asociados con síndrome de Guillain Barré (SGB), Púrpura Trombótica Trombocitopénica y mieloma múltiple (4-8). En la búsqueda no se documentaron casos en pacientes con Miastenia Gravis.
En los pacientes adultos reportados con Síndrome de Guillain Barré se usaron inmunoglobulinas, en su mayoría fueron mujeres, mayores de edad (más de 50 años) con hipertensión intrahospitalaria (4-6, 9). Un paciente masculino de 53 años presentó Síndrome de Miller Fisher, otro paciente femenino de 62 años con SGB sin uso concomitante de inmunoglobulina (6, 9).
El uso de inmunoglobulinas es un factor de riesgo para aumento de la presión arterial, de la viscosidad plasmática y de vasoespasmo severo, todos se asocian al PRES.(6, 7). Sin embargo, este mecanismo también puede ser secundario a elevación de citocinas (tipo 6), que alteran la permeabilidad capilar, predisponiendo a disrupción de la barrera hematoencefálica (6).
Se han documentado pacientes con PRES y otras patologías autoinmunes neurológicas como la Neuromielitis Óptica, todas fueron mujeres con una mediana etaria de 48 años y presentaron alteración de la conciencia con recuperación rápida de la encefalopatía en un promedio de 4 días (rango 1-7). Ninguna presentó convulsiones (10).
En resumen, el PRES es una condición neurológica infrecuente que podría considerarse en pacientes con Miastenia Gravis que presentan deterioro neurológico focal posterior al uso de inmunoglobulina.
REFERENCIAS
1. BARTYNSKI WS. Posterior reversible encephalopathy syndrome, part 1: fundamental imaging and clinical features. AJNR Am J Neuroradiol. 2008; 29:1036-42.
2. HAMILTON BE, NESBIT GM. Delayed CSF enhancement in posterior reversible encephalopathy syndrome. AJNR Am J Neuroradiol. 2008;29:456-7.
3. AHN KJ, YOU WJ, JEONG SL, LEE JW, KIM BS, LEE JH, ET AL. Atypical manifestations of reversible posterior leukoencephalopathy syndrome: findings on diffusion imaging and ADC mapping. Neuroradiology. 2004;46:978-83.
4. ELAHI A, KELKAR P, ST LOUIS EK. Posterior reversible encephalopathy syndrome as the initial manifestation of Guillain-Barré Syndrome. Neurocrit Care. 2004;1:465-8.
5. BAVIKATTE G, GABER T, ESHIETT MU. Posterior reversible encephalopathy syndrome as a complication of Guillain-Barré syndrome. J Clin Neurosci. 2010;17:924-6.
6. VAN DIEST D, VAN GOETHEM JW, VERCRUYSSEN A, JADOUL C, CRAS P. Posterior reversible encephalopathy and Guillain-Barre syndrome in a single patient: coincidence or causative relation? Clin Neurol Neurosurg. 2007;109:58-62.
7. OKEDA R, KAWAMOTO T, TANAKA E, SHIMIZU H. An autopsy case of drug-induced diffuse cerebral axonopathic leukoencephalopathy: the pathogenesis in relation to reversible posterior leukoencephalopathy syndrome. Neuropathology. 2007;27:364-70.
8. BELMOUAZ S, DESPORT E, LEROY F, TEYNIE J, HANNEQUIN J, AYACHE RA, ET AL. Posterior reversible encephalopathy induced by intravenous immunoglobulin. Nephrol Dial, Transplant. 2008;23:417-9.
9. NAKAJIMA M. Posterior reversible encephalopathy complicating intravenous immunoglobulins in a patient with miller-fisher syndrome. Eur Neurol. 2005;54: 58-60.
10. MAGAÑA SM, MATIELLO M, PITTOCK SJ, MCKEON A, LENNON VA, RABINSTEIN AA, ET AL. Posterior reversible encephalopathy syndrome in neuromyelitis optica spectrum disorders. Neurology. 2009. 24;72:712-7.