Caso clínico

SPECT cerebral con 99Tc- MIBI para discriminar entre infiltración tumoral y absceso cerebral en casos de tomografía computarizada y resonancia magnética no concluyentes. Presentación de un caso

99mTc-MIBI Brain SPECT to discriminate between tumor infiltration and brain abscess in cases of computed tomography and magnetic resonance unconvincing. Case Presentation

Roberto León Castellón (1), Kali Cepero Llauger (2), Carmen Rodríguez Rodríguez (2), Mayte Castro Jiménez (1), Leda Fernández Cue (1), Adlin López Díaz (3), Juan Miguel Martín Escuela (4)

(1) Especialista de primer grado en Neurología, Hospital Clínico Quirúrgico Hermanos Ameijeiras, La Habana, Cuba.
(2) Especialista de primer grado en Hematología, Hospital Clínico Quirúrgico Hermanos Ameijeiras, La Habana, Cuba.
(3) Ingeniera nuclear, Hospital Clínico Quirúrgico Hermanos Ameijeiras, La Habana, Cuba.
(4) Licenciado en Física, Hospital Clínico Quirúrgico Hermanos Ameijeiras, La Habana, Cuba.

Recibido: 30/08/15. Aceptado: 12/11/15.
Correspondencia: Roberto León Castellón: robertoleonc@infomed.sld.cu.


Resumen

La diferenciación entre abscesos y metástasis cerebrales en pacientes con algún grado de inmunosupresión y con neoplasias hematológicas resulta en ocasiones difícil. Los estudios funcionales como la tomografía de emisión de fotón único (SPECT) y la tomografía por emisión de positrones (PET) son herramientas diagnósticas eficaces para este propósito. Presentamos el caso de una paciente con diagnóstico de leucemia mieloide crónica en crisis blástica a quien se le informó múltiples abscesos cerebrales; diagnóstico basado en que no existió captación de 99mTc - MIBI en SPECT cerebral y en la buena respuesta al tratamiento antimicrobiano en ocasión en que los estudios de tomografía computarizada (TC) cerebral y resonancia magnética (RM) cerebral no fueron concluyentes. Teniendo en cuenta los resultados de la SPECT se decidió postergar el esquema de quimioterapia, ya que esta podría desencadenar complicaciones probablemente fatales en la paciente.

Palabras clave: Absceso cerebral. SPECT cerebral 99mTc - MIBI (DeCS).


Summary

The differentiation between brain abscess and brain metastasis in patients with some grade of immune suppression and hematological neoplasm is difficult in some situations. Functional studies like Single-Photon Emission Tomography (SPECT) and Positron Emission Tomography (PET) are useful for this purpose. We present the case of a patient with diagnosis of chronic myelogenous leukemia in blast crisis that a diagnosis of brain abscess was made. The diagnosis had a base in 99mTc - MIBI brain SPECT did not show MIBI uptake and the good treatment response to antibiotics when brain CT scan and MRI were not conclusive. Attending to the SPECT result, chemotherapy was postponed because of probably fatal complications in this patient with brain abscess.

Key words: Brain abscess. Brain SPECT. 99mTc - MIBI (MeSH).


Introducción

Establecer el diagnóstico de tumor cerebral no es siempre un proceso llano (1) aún con el desarrollo de técnicas imagenológicas como la tomografía computarizada (TC) y la resonancia magnética (RM) cerebral.

Muchas enfermedades no neoplásicas del sistema nervioso central pueden simular tanto clínica como imagenológicamente los tumores cerebrales; entre ellas: radionecrosis, esclerosis múltiple, trombosis de senos venosos durales, sífilis, abscesos cerebrales (bacterianos, micóticos o parasitarios), entre otras (1).

Presentamos el caso de una paciente con diagnóstico de leucemia mieloide crónica en crisis blástica, la cual presentó varias crisis focales que en los estudios de TC y RM cerebral, a pesar de que se observaron lesiones que justificaban estos eventos, las imágenes obtenidas no fueron concluyentes para el diagnóstico etiológico. Se diagnosticaron múltiples abscesos cerebrales ya que la tomografía por emisión de fotón único (SPECT) cerebral con 99mTc hexakis-2-methoxy-2-methyl-1-propylisonitrile (99mTc- MIBI) no mostró captación patológica del radiofármaco y la respuesta al tratamiento antimicrobiano fue favorable.

Presentación del caso

Paciente femenina de 60 años de edad que en diciembre de 2014 comenzó con astenia y anemia. Fue ingresada en el servicio de hematología donde se constató palidez cutáneo- mucosa, hepatomegalia y anemia severa con blastos en periferia. Se realizó un medulograma con biopsia de médula ósea, la cual presentó una infiltración masiva por blastos de aspecto mieloide y que asociado al comportamiento clínico de la enfermedad, se diagnosticó posteriormente una leucemia mieloide crónica en crisis blástica.

Al séptimo día del ingreso comenzó con crisis focales simples mioclónicas que involucraron el miembro superior derecho, lo que motivó una interconsulta con neurología. En el examen físico neurológico no se constataron signos focales ni papiledema. Se decidió realizar una TC cerebral donde se observaron múltiples lesiones en anillo (frontal izquierda, occipital derecha y parietal posterior derecha) asociadas a edema, que no desplazaron las estructuras de la línea media ni produjeron herniaciones, las cuales captaron poco contraste en la periferia en estudio de TC contrastada (Figura 1). Las características imagenológicas de estas lesiones ofrecían la duda diagnóstica entre una infiltración al sistema nervioso central por su enfermedad de base o múltiples abscesos cerebrales.

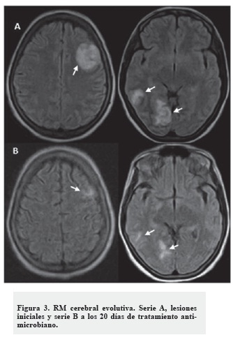
Se realizó una RM cerebral donde se observaron lesiones ligeramente hipointensas en T1 e hiperintensas en T2 con áreas de menor intensidad en su interior (frontal izquierda, occipital derecha y parietal posterior derecha), siendo la mayor frontal izquierda (23 x 21 mm), que no desplazaban las estructuras de la línea media ni producían herniaciones (Figuras 2 y 3, serie A). Las características imagenológicas de estas lesiones tampoco fueron concluyentes para un diagnóstico etiológico de las mismas.

Al realizar una punción lumbar con manometría para el estudio del líquido cefalorraquídeo, se comprobó una presión de apertura de 16 cm H2O. El estudio citoquímico resultó ser normal y los estudios: bacteriológicos, micológicos, virológicos, en busca de bacilo acido-alcohol resistente y sífilis fueron negativos. El resultado citológico fue negativo para células neoplásicas.

Decidimos realizar una SPECT cerebral con 99mTc - MIBI donde no se observó captación patológica del radiofármaco en el estudio precoz el ni tardío (Figuras 2, serie B y C). Ante la negatividad de este estudio, diagnosticamos que las lesiones evidenciadas en TC y RM de cráneo correspondían a abscesos cerebrales. La paciente fue tratada con antimicrobianos de amplio espectro y en estudio evolutivo a los 20 días -RM cerebral-, se observó una gran mejoría de las lesiones encefálicas (Figura 3).

Discusión

La leucemia mieloide crónica es el síndrome mieloproliferativo crónico más frecuente y representa entre el 15-20% de todos los casos nuevos de leucemia. Sin tratamiento progresa de una fase inicial a una acelerada y a crisis blástica (2).

La crisis blástica es definida por tener más del 20% de blastos en médula ósea o sangre periférica o infiltrado extramedular que afecta con más frecuencia la piel, los ganglios, el bazo, el hueso o el sistema nervioso (3).

Los estudios imagenológicos funcionales permiten obtener información molecular específica. La mayoría de los estudios de imagen de medicina nuclear pueden ser considerados como funcionales. Estos estudios son útiles para caracterizar cualitativa y cuantitativamente los procesos biológicos celulares y moleculares (4). En la actualidad contamos con novedosas técnicas como la SPECT y la tomografía por emisión de positrones (PET).

Desde 1970 el 99mTc viene perfeccionándose como radiofármaco y se emplea cada vez más en medicina nuclear. Es un radioisótopo con peso muy elevado (599 Ci μmol−1); sus otras características físicas en relación a su energía (140 KeV), riqueza fotónica (90%) y corta vida media (seis horas), son ideales para los estudios biomédicos de SPECT (5, 6).

El 99mTc MIBI es normalmente excluido de las neuronas del encéfalo por la barrera hematoencefálica (7). Muestran una elevada captación de MIBI en los tumores gliales de alto grado y otros tumores malignos como los meduloblastomas, los linfomas primarios cerebrales y las metástasis cerebrales de tumores sistémicos (8), lo cual está relacionado con el porcentaje de células en fase S y el nivel de aneuploidía del tumor cerebral (9).

Los estudios con 99mTc-MIBI muestran una sensibilidad y especificidad de 100% y 69% respectivamente en la detección de linfomas cerebrales en pacientes con SIDA (10).

En pacientes inmunocomprometidos, los estudios con talio pueden diferenciar el linfoma cerebral de la neurotoxoplasmosis, pero son muy reducidos los estudios entorno a este tema. Generalmente un índice lesión/fondo superior a 2,5 es indicativo de linfoma cerebral en pacientes con HIV, el cual generalmente es talio y galio positivo, mientras que la neurotoxoplasmosis es 201Talio negativa pero 67Galio positiva (11).

Sin embargo, las captaciones elevadas de 201Talio han sido ocasionalmente encontradas en varios procesos infecciosos como: encefalitis por citomegalovirus, abscesos cerebrales de origen micótico y bacteriano y tuberculosis (11).

Los estudios de perfusión resultan útiles, pues los índices de retención prolongados han sido reportados en pacientes con linfoma cerebral en contraste con pacientes con neurotoxoplasmosis (11).

Un estudio comparó la eficacia del 99mTc-MIBI y del 201Talio para diferenciar linfomas cerebrales de otras lesiones no tumorales, y aunque los resultados son aún preliminares el 99mTc-MIBI parece tener mayor utilidad en este sentido (11).

La TC y la RM cerebral en muchas ocasiones no pueden diferenciar entre linfoma y áreas sépticas focales (12). Berry I y colaboradores en 6 pacientes con SIDA y lesiones en el SNC, encontraron que en cuatro de cinco pacientes con linfoma mostraron elevada captación de talio mientras que los pacientes con lesiones infecciosas no mostraron captación (12).

El 99mTc-MIBI es sensible para el diagnóstico de gliomas cerebrales y puede discriminar entre lesiones las encefálicas malignas y las benignas con efectividad (13, 14). Además es capaz de diferenciar áreas de recurrencia tumoral y radionecrosis (15, 16) (Figura 4)

En relación a los linfomas cerebrales a pesar de tener una sensibilidad similar al 201Tl, el 99mTc-MIBI presenta una mayor especificidad y además nos permite prever los resultados del tratamiento quimioterápico ya que la activación de la glicoproteína P (marca la resistencia al tratamiento quimioterápico) es responsable del flujo de lavado del radiofármaco en las células que están activadas por el gen de resistencia a multidrogas (MDR) (17). Por ello la captación de 99mTc-MIBI sólo ocurre en las células viables con capacidad para responder al tratamiento quimioterápico (17, 18).

La PET es una técnica no invasiva y altamente sensible en el estudio de las neoplasias (4). La utilidad del 3-Deoxy-3-18F-fluorothymidine (18F-FLT) - PET y de la Fluorodeoxyglucose (18F-FDG) - PET en pacientes con tumores cerebrales (gliomas cerebrales) fue evaluada de manera comparativa en una serie de 25 pacientes, donde se evidenció que los estudios con 18F-FLT tienen una sensibilidad y especificidad de 100% en gliomas de alto grado y en recurrencias de los mismos, mientras que la sensibilidad de los estudios con 18F-FDG fue inferior (72%); ambos estudios mostraron una especificidad de 100%. La captación de 18F-FLT tuvo una mejor correlación con el índice de proliferación tumoral; además mostró los mejores valores pronósticos en cuanto a la progresión tumoral y supervivencia. Atendiendo a que el 18F-FLT es un marcador de proliferación tumoral (con captación selectiva en células tumorales), podría entonces ser de gran utilidad la 18F-FLT - PET para esclarecer el diagnóstico etiológico en esta paciente que presentamos (19).

Los resultados de la SPECT cerebral con 99mTc - MIBI - en este caso - permitieron el empleo precoz de antimicrobianos. Si hubiera comenzado el esquema de quimioterapia sin tener en cuenta estos resultados, las complicaciones en esta paciente con múltiples abscesos cerebrales hubieran sido probablemente fatales.

Conclusión

Atendiendo al resultado de los estudios funcionales en esta paciente es muy probable que la SPECT cerebral con 99mTc - MIBI no muestre captación en abscesos cerebrales de origen bacteriano. Los estudios con muestras significativas en relación al tema son necesarios.

Conflicto de intereses

Los autores declaran no tener conflicto de intereses.


Referencias

1. OMURO A, LEITE C, MOKHTARI K, DELATTRE JY. Pitfalls in the diagnosis of brain tumours. Lancet Neurol. 2006. 5(11): 937-948.

2. HOFFMAN R, BENZ EJ., SILBERSTEIN LE., HESLOP HE., WEITZ JI., ANASTASI J. Chronic Myeloid Leukemia. En: HOFFMAN R. Hematology: Basic principles and practice. Sixth Edition. Philadelphia, PA. Elseiver 2013 981 -84.

3. BRECCIAA, ALIMENAA G, BACCARANIB M, BOCCHIAC M, DI RAIMONDO F, GAMBACORTI-PASSERINIE C, ET AL. Current management of CML patients: Summary of the Italian Consensus Meeting held in Rome. Crit Rev Oncol Hematol. 2014;90(3):181- 189.

4. SHANKAR V. Molecular Imaging. Radiopharmaceuticals for PET and SPECT. Springer-Verlag Berlin Heidelberg, Springer Dordrecht Heidelberg London New York, ISBN 978-3-540-76734-3. 2009; 1:3.

5. CULVER J, AKERS W, ACHILEFU S. Multimodality molecular imaging with combined optical and SPECT/PET modalities. J Nucl Med. 2008; 49(2):169-72.

6. FAN YX, LUO RC, LI GP, HUANG K. Diagnostic value of 99mTc-MIBI brain SPECT for brain glioma. Di Yi Jun Yi Da Xue Xue Bao. 2004; 24(10):1184-5.

7. GÓMEZ-RÍO M, RODRÍGUEZ-FERNÁNDEZ A, RAMOS-FONT C, LÓPEZ-RAMÍREZ E, LLAMAS-ELVIRA JM. Diagnostic accuracy of (201) Thallium-SPECT and 18F-FDG-PET in the clinical assessment of glioma recurrence. Eur J Nucl Med Mol Imaging. 2008; 35:( 8)966-75.

8. DELTUVA VP, JURKIENĖ N, KULAKIENĖ I, BUNEVIČIUS A, MATUKEVIČIUS A, TAMAŠAUSKAS A. Introduction of novel semiquantitative evaluation of (99m)Tc-MIBISPECT before and after treatment of glioma. Medicina (Kaunas).2012; 48(1):15-21.

9. ARBIZU J, DOMÍNGUEZ PD, DIEZ-VALLE R, VIGIL C, GARCÍA-EULATE R, ZUBIETA JL, ET AL. Neuroimagen de los tumores cerebrales. Rev Esp Med Nucl. 2011; 30(1):47- 65.

10. BUCERIUS J, AHMADZADEHFAR H, BIERSACK HANS-JÜRGEN. 99mTc-Sestamibi. Clinical Applications. Volumen. Edición. Berlin Heidelberg: Springer-Verlag; 2012. 8 -166.

11. MITSUTAKA F. Single-photon agents for tumor imaging: 201Tl, 99mTc-MIBI, and 99mTc-tetrofosmin. Ann Nucl Med. 2004;18(2):79-95.

12. BERRY I, GAILLARD JF, GUO Z, CORDOLIANI YS, MASSIP P, MANELFE C, DANET B. Cerebral lesions in AIDS: what can be expected from scintigraphy? Cerebral tomographic scintigraphy using thallium-201: a contribution to the differential diagnosis of lymphomas and infectious lesions. J. Neuroradiol. 1995 Sep;22(3):218-28.

13. FAN YX, LUO RC, LI GP, HUANG K. Diagnostic value of 99mTc-MIBI brain SPECT for brain glioma. Academic journal of the first medical college of PLA, 2004;24(10):1184-1185.

14. NEUBAUER GS. Medicina nuclear e imágenes moleculares. Rev Med Clin Condes. 2013;24(1):157-168.

15. CECCHIN D, SCHIORLIN I, DELLA PUPPA A, LOMBARDI G, ZUCCHETTA P, BODANZA V.ET AL. Assessing Response Using -MIBI Early after Interstitial Chemotherapy with Carmustine- Loaded Polymers in Glioblastoma Multiforme: Preliminary Results. Bio Med research international, 2014, vol. 2014: 1. Article ID 684383.

16. DELTUVA VP, JURKIENĖ N, KULAKIENĖ I, BUNEVIČIUS A, MATUKEVIČIUS A, TAMAŠAUSKAS A. Introduction of novel semiquantitative evaluation of (99m)Tc-MIBI SPECT before and after treatment of glioma. Medicina (Kaunas). 2012;48(1):15 21.

17. MENAA LM, MARTÍNA F, BRAVOA C, SANTOSB AB, ESCABIAA MV, JIMÉNEZA IR. 99mTc-MIBI SPECT in the study of brain lymphoma. Rev Esp Med Nucl. 2011;30(6):380-381.

18. KRASZNAI ZT, TÓTH A, MIKECZ P, FODOR Z, SZABÓ G, GALUSKA L, ET AL. Pgp inhibition by UIC2 antibody can be followed in vitro by using tumordiagnostic radiotracers, 99mTc-MIBI and 18FDG. Eur J Pharm Sci. 2010;41(5): 665-9.

19. WEI CHEN, TIMOTHY CLOUGHESY, NIRAV KAMDAR, NAGICHETTIAR SATYAMURTHY, MARVIN BERGSNEIDER, LINDA LIAU, ET AL. Imaging Proliferation in Brain Tumors with 18F-FLT PET: Comparison with 18F-FDG. J Nucl Med 2005; 46 (6):945-952.