https://doi.org/10.22379/2422402228

Caso clínico

Causa infrecuente de encefalitis por Staphylococcus aureus, reporte de un caso

Infrequent cause of encephalitis by Staphylococcus aureus

Luis M. Polo (1), Martín Torres (1), Luis Taboada (2), Randy Guerra (3), Adriana Fortich S. (4), Luis A. Díaz (5), José M. Cañas (5), Laura Álvarez (6), José Dussán (7), Andrés de León (8)

(1) Neurólogo. Fundación Centro Colombiano de Epilepsia y Enfermedades Neurológicas, FIRE. Cartagena, Colombia.
(2) Radiólogo. Fundación Centro Colombiano de Epilepsia y Enfermedades Neurológicas, FIRE. Cartagena, Colombia.
(3) Médico. Investigador. Centro Latinoamericano de Investigaciones en Epilepsia, LIE.
(4) Residente de Medicina Interna, Universidad de Cartagena. Cartagena, Colombia.
(5) Residente de Medicina Interna, Universidad del Sinú. Cartagena, Colombia.
(6) Residente de Neurología Clínica, Universidad del Sinú. Cartagena, Colombia.
(7) Médico de planta, Fundación Centro Colombiano de Epilepsia y Enfermedades Neurológicas, FIRE. Cartagena, Colombia.
(8) Médico SSO. Fundación Centro Colombiano de Epilepsia y Enfermedades Neurológicas, FIRE. Cartagena, Colombia.

Recibido: 5/08/14. Aceptado: 17/02/15.
Correspondencia: Luis Polo Verbel: poloverbel@hotmail.com


Resumen

Se presenta un caso de encefalitis por Staphylococcus aureus meticilino sensible. Se trata de una paciente de sexo femenino, de 20 años de edad, quien fue atendida en la Fundación Centro Colombiano de Epilepsia y Enfermedades Neurológicas, de Cartagena, por presentar cefalea, progresivo deterioro del estado cognitivo y focalidad neurológica súbita con limitación a la emisión del lenguaje. Hallazgos en cultivo de LCR revelan crecimiento de Staphylococcus aureus meticilino sensible. La evolución de esta paciente fue satisfactoria.

Se hace una revisión del caso, se realiza análisis de infrecuencia de encefalitis por Staphylococcusa ureus meticilino sensible sin foco de infección primario establecido.

Palabras clave: Encefalitis por Staphylococcus aureus meticilino sensible (DECS).


Summary

A case of encephalitis Staphylococcus aureusmethicillin sensitive is presented. This is a female patient of 20 years old, who was treated at ColombianFoundation Center for Epilepsy and Neurological Diseases, in Cartagena. Her symptoms were headaches, progressive deterioration of cognitive status, and sudden neurological deficit with limitation on the issuance of language. CSF culture findings reveal growth of S. aureusmethicillin sensitive. The evolution of this patient was satisfactory.

A review of the case is made, analysis infrequency of encephalitis is carried by Staphylococcus aureus methicillin sensitive in primary, focus of infection established.

Key words. Staphylococcus aureus methicillin sensitive encephalitis (MeSH).


Introducción

La encefalitis se define como un proceso inflamatorio del parénquima cerebral, que se asocia con una disfunción clínica o con evidencia paraclínica de alteración neurológica (1, 2).

Los síntomas característicos de la encefalitis se exponen en la tríada: fiebre, cefalea y alteración del estado de conciencia, y en algunos casos se puede evidenciar alteración en la función cognitiva, cambios comportamentales, déficit focal o convulsiones (2).

La incidencia es variable según el área geográfica, la edad, el agente etiológico, la historia de vacunación, la exposición a animales y el estado inmunológico previo del huésped (3).

Solo en un tercio de los casos se logra determinar la causa. Cuando esta se documenta, los virus llegan a ser la causa más frecuente, representan dos tercios de todas las causas documentadas. Existen causas menos comunes, como bacterianas, por priones, parásitos, hongos, o de etiología autoinmunitaria (3).

El Staphylococcus aureus tiene una distribución ubicua en el ser humano, hace parte de la flora normal del área inguinal, perineal y axilar. Existen, además, portadores nasales, los cuales representan su principal sitio de localización y potencial fuente de diseminación.

Se ha establecido la existencia de múltiples factores de riesgo que perpetúan la propagación de Staphylococcus aureus y por lo general están relacionados con el antecedente de trauma encefálico penetrante, intervenciones neuroquirúrgicas o uso de drogas por vía parenteral (3).

Se ha encontrado incremento del número de infecciones por Staphylococcus aureus, tanto adquirido en la comunidad como de origen nosocomial, los cuales se ven acompañados en grados variables y crecientes por resistencia a antibióticos, en particular a Meticilina (SAMR), o más recientemente, a la Vancomicina.

El diagnóstico debe ir orientado hacia el examen neurológico y la correlación de imágenes y laboratorio con el contexto clínico.

Resumen del caso clínico

Presentamos el caso de una paciente de sexo femenino, 20 años de edad, quien ingresa con cuadro clínico de tres días de evolución, consistente en cefalea, progresivo deterioro del estado cognitivo y posteriormente focalidad neurológica súbita con limitación a la emisión del lenguaje. Paraclínicos revelan la presencia de anemia, la cual requiere transfusión de hemoderivados. Hallazgos en citoquímico de líquido cefalorraquídeo con evidencia de pleocitosis moderada de predominio neutrofílico, en presencia de hipoglucorraquia. Luego, el cultivo de LCR arroja crecimiento de Staphylococcus aureus meticilino sensible. La paciente, tras inicio de antibioticoterapia, cursa recuperación progresiva de su estado neurológico, con mejoría de la fuerza muscular y lenguaje dislálico.

Tras completar veintiún días de tratamiento antibiótico, la paciente es dada de alta con signos de franca mejoría clínica.

Presentación del caso

Paciente de sexo femenino, de 20 años de edad, sin antecedentes médicos, quien cursa cuadro clínico de tres días de evolución, con cefalea holocraneana de inicio insidioso, que aumentó progresivamente en intensidad, luego moderada y mejoró parcialmente con analgésicos, asociada a sensación de náuseas y malestar general. A los dos días de iniciado el cuadro clínico la paciente presenta de forma súbita debilidad del hemicuerpo derecho e imposibilidad para la emisión del lenguaje, motivo por el cual es remitida a la unidad de cuidados intensivos de la Fundación Centro Colombiano de Epilepsia y Enfermedades Neurológicas (FIRE), el cual es centro de referencia en la costa Caribe en enfermedades neurológicas. La paciente ingresa en aceptable estado general, con los siguientes signos vitales: TA 119/67 mmHg FC 63 x' FR 15 x' T 37,2 °C. Saturación arterial de oxígeno: 100%; en el examen físico se evidencian conjuntivas hipocrómicas, palidez mucocutánea generalizada y rigidez nucal. Al examen neurológico se documenta escala de coma de Glasgow de 11/15 (apertura ocular 4, respuesta verbal 1, respuesta motora 6), afasia motora, parálisis facial central derecha, tono espástico en el hemicuerpo derecho con fuerza muscular de 2/5 en el miembro superior e inferior; con reflejos bicipital, tricipital, braquioestilorradial, patelar y aquiliano+++/++++, y respuesta plantar extensora derecha.

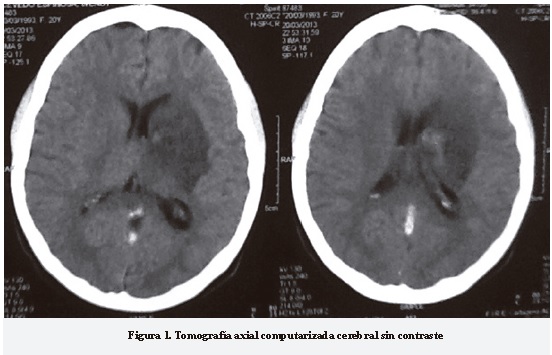
Tomografía axial computarizada de cráneo sin contraste de ingreso, evidencia imagen hipodensa en región paratalámica izquierda con hiperdensidad que sugiere presencia de hemorragia versus neuroinfección (Figura 1).

Se decide realizar estudio de LCR (mediante punción lumbar), cuyo análisis muestra pleocitosis polimorfonuclear (leucocitos: 48 cel/mm3, 100% neutrófilos), hiperproteinorraquia (59,3 mg/dl) e hipoglucorraquia (glucorraquia: 46 mg/dl, glucemia: 85 mg/dl). Gram de LCR: Cocos gram positivos.

Ante estos hallazgos se inicia antibioticoterapia con Ceftriaxona 2 gr IV cada 12 horas y Vancomicina 1 gr IV cada 12 horas, de acuerdo al protocolo institucional.

Resultados de paraclínicos

Paraclínicos de ingreso. Glucemia. Azoados dentro de límites normales. Hemograma que muestra anemia microcítica, hipocrómica (hemoglobina: 5,9 gr/dl; hematocrito: 23,9%). Ante estos resultados se decide transfundir dos unidades de glóbulos rojos empacados, hemocompatibles, con niveles de hemoglobina 9,6 mg/dl postransfusión (Tabla 1).

Durante su estancia, la paciente presenta crisis focales motoras complejas con generalización secundaria (versión cefálica hacia la izquierda, luego movimientos clónicos del hemicuerpo izquierdo y pérdida del estado de conciencia), por lo cual se inicia tratamiento anticomicial.

Posteriormente no se documentan nuevos episodios de crisis, sin embargo persisten fluctuaciones del estado de conciencia.

Teniendo en cuenta la persistencia de focalidad neurológica y el grado de compromiso del sensorio, se decide realizar RNM cerebral, en la cual se observan lesiones hiperintensas gangliobasales bilaterales, en secuencia potenciada en T1, con edema perilesional (Figuras 2 y 3).

Imágenes diagnósticas

Cultivo de líquido cefalorraquídeo con crecimiento de Staphylococcus aureus meticilino sensible; se continuó la misma antibioticoterapia por la respuesta clínica de la paciente y la presentación atípica del cuadro clínico. Se aclara que por la alteración del estado de conciencia de la paciente y ante los resultados iniciales del LCR que nos ayudaron en la orientación diagnóstica, no se documentaron hallazgos de hemocultivos, pero al pensar en un posible proceso sistémico es necesario realizarlos.

Por sospecha de etiología isquémica secundaria a émbolo séptico (considerando como posibilidad etiológica endocarditis), se realiza ecocardiograma transtorácico, sin documentarse alteraciones estructurales.

Se realiza punción lumbar de control (cuarto día de antibioticoterapia), cuyo citoquímico muestra disminución de pleocitosis (leucocitos 10 cell/mm3, con viraje a predominio mononuclear), hiperproteinorraquia (76,7 mg/dl) e hipoglucorraquia (46,5 mg/dl).

La paciente cursa progresivamente mejoría del estado de conciencia, dada por mayor conexión con el entorno; además, disminución en los niveles de reactantes de fase aguda.

Se realiza panangiografía cerebral, la cual es normal, como se observa en la tabla 1.

Al décimo día de tratamiento antibiótico se traslada a la paciente a sala general, con buena evolución clínica, sin nuevos episodios de desconexión con el entorno, mejoría en el lenguaje y fuerza muscular del hemicuerpo derecho.

Pruebas serológicas para toxoplasma (LCR), negativas; de igual forma, en un caso de encefalitis en paciente joven, para aclarar el agente etiológico se recomienda la determinación de Mycoplasma pnuemoniae como complemento al estudio etiológico de meningoencefalitis.

Se aprecian, además, niveles séricos de hierro y ferritina disminuidos, por lo cual se inicia tratamiento con sulfato ferroso.

Se realizó RNM cerebral de control tras completar esquema de antibioticoterapia, con evidencia de disminución del tamaño de las lesiones hiperintensas de forma significativa.

Durante estancia hospitalaria la paciente presenta adecuada evolución clínica, por lo cual es dada de alta, tras completar veintiún días de tratamiento antibiótico.

Discusión

La encefalitis se define como un proceso inflamatorio del parénquima cerebral que se asocia con evidencia clínica o paraclínica de disfunción neurológica.

Clínicamente se presenta con la clásica tríada de cefalea, fiebre y alteración del estado de conciencia. Se puede acompañar además de otras alteraciones como déficit neurológico focal, alteraciones cognitivas y convulsiones.

La contigüidad de las estructuras del sistema nervioso central (SNC) hace que se presenten cuadros mixtos, de modo que la infección puede afectar al cerebro y a estructuras próximas al mismo.

En caso de encefalitis bacteriana se considera que debe existir una puerta de acceso. El Sthaphylococus aureus muestra predilección de transmisión a través de la invasión de vías respiratorias superiores (sinusal y ótica), piel (cirugías craneales, lesiones cutáneas) o farmacodependientes parenterales.

Con relación al caso presentado, la paciente no cursaba con factores de riesgo, ni se registraron posibles puertas de acceso durante la evaluación clínica.

Glaser et al. (2006), revisaron la etiología en 1.570 casos (California Encephalitis Project), entre 1998 y 2005, encontrando un agente etiológico claro solo en el 16% de los casos; el 69% correspondió a virus, 20% a bacterias, 7% a priones, 3% a parásitos y 1% a hongos.

Por su parte, Granerod et al. (2010) reunieron información sobre 203 pacientes de 24 hospitales de Inglaterra e identificaron la causa en el 63% de los casos, siendo infecciosa en el 42% (19% por herpes virus, 5% por virus varicela-zóster y 5% M. tuberculosis). Hubo mortalidad del 12% y en 21% de los casos el origen fue no infeccioso.

En el caso expuesto se documentó crecimiento bacteriano (Staphyloccus aureus meticilino sensible) a través de cultivo de líquido cefalorraquídeo (LCR), lo cual representa un caso de escasa incidencia a nivel global.

A nivel mundial se estima una incidencia de encefalitis que se encuentra entre 1,5 a 7,4 casos por cada 100.000 personas al año. Se calcula, en países como Inglaterra, 1 caso por 700 personas/año, mientras que en Francia es de 1/1.200 personas-año. En Estados Unidos es alrededor de 7/100.000 personas, siendo más frecuente en los extremos de la vida. En Colombia no hay registros estadísticos que se relacionen con la incidencia de encefalitis.

La encefalitis debe sospecharse en todo paciente que consulte por alteración del estado de conciencia u otros signos de disfunción cerebral (1).

En el caso de la paciente presentada, se realizó la presunción diagnóstica ante los datos de compromiso del estado de conciencia, focalidad y hallazgos en neuroimagen.

La presentación clínica con frecuencia va precedida de un pródromo de fiebre, cefalea, mialgias o infecciones respiratorias; luego aparecen los cambios en el nivel de la conciencia y los signos neurológicos focales o difusos (hemiparesia, convulsiones).

La presentación clínica de los pacientes con encefalitis puede ser similar a la de pacientes con meningitis, y aunque los hallazgos focales y la disminución del nivel de conciencia sugieren compromiso encefálico más que meníngeo, la presencia de tales hallazgos como única sintomatología no excluye el diagnóstico de meningitis, pues los infartos y el edema citotóxico cerebral, como complicación de meningitis, pueden manifestarse de esta misma forma (4).

Hasta la fecha no existen estudios de impacto mundial en pacientes con encefalitis que permitan definir la frecuencia real de síntomas específicos al momento de su presentación (5). No obstante, en el caso descrito, los síntomas predominantes fueron cefalea, focalidad neurológica, compromiso del lenguaje y episodio ictal, tal y como se han descrito ampliamente en la literatura.

La alteración del estado de conciencia, presente en el contexto del caso expuesto, es producto del compromiso difuso cortical; este representa, entonces, un hallazgo clave en la presunción clínica de la encefalitis, constituyendo dentro de los hallazgos más frecuentes y en el contexto evolutivo del padecimiento actual el signo más sugerente de un cuadro encefalítico.

El síndrome de encefalitis puede también coexistir en la forma de meningoencefalitis o encefalomielitis (1, 6), representando un verdadero reto diagnóstico al momento de dilucidar la naturaleza del proceso infeccioso subyacente.

En un paciente de quien se sospecha infección de SNC, la ausencia de signos meníngeos al examen físico (Brudzinski, Kerning y rigidez de nuca) no es suficiente para considerarla encefalitis como causa principal de su cuadro clínico, pues la sensibilidad de los mismos para el diagnóstico de meningitis varía de 5 a 30%, lo cual connota un bajo rendimiento diagnóstico para su exclusión (7, 8).

La diplopía, la ataxia y la disartria pueden ser manifestaciones clínicas en pacientes inmunocomprometidos con encefalitis y compromiso del tallo cerebral, principalmente observados en infecciones por herpes HSV (9, 10); no obstante, el diagnóstico diferencial incluye entidades como neurosífilis o síndromes paraneoplásicos (v. g. encefalitis por anticuerpos contra receptor NMDA) (11, 12).

Los adultos mayores, así como los pacientes en tratamiento con corticoides u otro medicamento inmunosupresor, pueden no tener respuesta febril y la distinción entre encefalitis, meningitis viral o bacteriana podría estribar en el grado de compromiso del sensorio, presencia de convulsiones y hallazgos focales (13), soportados en los datos anamnésicos del historial clínico.

El segundo elemento diagnóstico está constituido por elementos epidemiológicos, dentro de los que se incluye: edad, sexo, condición inmunológica, condiciones medioambientales y las características epidémicas y endémicas de la región donde se habite, los cuales brindan importante información acerca de un posible caso de encefalitis y su probable causa (2-4).

El tercer elemento del cual podemos valernos son las ayudas paraclínicas, dentro de las cuales tenemos: estudio hematológico, estudio del líquido cefalorraquídeo, neuroimágenes, electroencefalograma y aislamiento del virus, estudios serológicos y neuropatológicos (14, 15).

En el caso de nuestra paciente, no se documentaron alteraciones familiares, leucocitarias, ni hubo hallazgos de procesos de inmunosupresión secundaria que pudiesen explicar la ausencia de fiebre en el contexto de una noxa bacteriana.

En el estudio hematológico se debe evaluar presencia de leucopenia y trombocitopenia, así como indagar acerca de trastornos tóxicos o metabólicos (14, 15).

A todos los pacientes con sospecha o diagnóstico de encefalitis se les debe descartar la presencia de infección por VIH (4).

El LCR usualmente muestra pleocitosis linfocitaria, encontrándose en el 95% de los pacientes más de 5 células por mm3 (10% tienen más de 500); la glucorraquia suele ser normal (4, 5, 15). En caso de encontrarse hipoglucorraquia debe investigarse la presencia de TBC, hongos, bacterias, parásitos o infiltración neoplásica. Las proteínas suelen estar elevadas. El examen de LCR no debe retrasarse a menos que exista una contraindicación formal (5, 16). Además del estudio citoquímico y microbiológico de LCR, se puede solicitar la reacción en cadena de la polimerasa (PCR) para amplificación de DNA viral en caso de sospecha de virus del herpes simple, virus de varicela zóster, citomegalovirus y virus de Epstein Barr; esta técnica ha permitido aumentar sensibilidad y especificidad del diagnóstico microbiológico (6, 7). El cultivo de LCR se realiza solo en casos muy especiales y en investigación epidemiológica para aislamiento de virus específicos, como es el caso de los enterovirus, ya que en el caso del virus del herpes simple tipo 1 son invariablemente negativos (8). En las pruebas serológicas se utiliza detección de Ags y Acs, además de la búsqueda de IgG e IgM específica para el virus que se sospeche como causal.

La RMC es la neuroimagen de elección para el diagnóstico de encefalitis. La anormalidad característica es una señal de alta intensidad en T2 en el lóbulo temporal en su parte medial e inferior extendiéndose a la ínsula. La RMC, sin embargo, puede ser normal en las fases tempranas de la infección. Resulta útil la realización de una escanografía cerebral simple y contrastada que, aunque pueda mostrar lesiones en la misma localización de manera más tardía, resulta de gran ayuda al descartar lesiones estructurales que contraindiquen la realización de una punción lumbar para el estudio del líquido cefalorraquídeo (5, 8, 16). La resonancia magnética funcional y la espectroscopia por resonancia muestran cambios metabólicos en relación con la muerte neuronal y disminución de la señal de N-acetil-aspartato en lesiones agudas. La gliosis resultante del proceso inflamatorio se refleja en un aumento de inositol y la creatina en la resonancia (4, 8). El electroencefalograma muestra un complejo típico de ondas agudas y lentas estereotipadas y periódicas a intervalos de dos a tres segundos; estas descargas pueden ser unilaterales o bilaterales y pueden ser observadas entre el segundo y el decimoquinto día de la enfermedad (5, 8). La biopsia cerebral solo tiene indicación en caso de PCR no diagnóstica, hallazgo de anomalías focales en RMN o deterioro clínico de paciente a pesar del manejo instaurado (5, 8).

Diagnóstico diferencial

En el abordaje de un paciente con sospecha de encefalitis se deben tener en cuenta patologías que pueden presentar manifestaciones clínicas similares, entre las que hallamos causas infecciosas ocupantes de espacio, como son: empiema subdural, tromboflebitis de senos venosos, abscesos cerebrales, granulomas cerebrales, toxoplasmosis y chagas cerebral; en dichos cuadros, además de los hallazgos paraclínicos, la epidemiologia y la presentación clínica pueden variar de la encefalitis, pero son dichos exámenes paraclínicos los que nos aclaran el diagnóstico (1, 3, 8, 10, 11).

Por otro lado, hay causas no infecciosas que se consideran diagnóstico diferencial de la encefalitis por sus múltiples variaciones clínicas: paraneoplásica asociada a carcinoma de cel. pequeñas de pulmón, patología vascular: trombosis venosa cerebral, embolias, ACV, vasculitis del SNC, microinfartos difusos por trastornos de la coagulación, intoxicaciones: alcohol, encefalopatía hepática, hemorragia subaracnoidea, sarcoidosis, para las cuales el estudio del paciente ameritará muy probablemente otros paraclínicos de acuerdo al cuadro que se considere descartar (3, 9, 10).

Conflicto de intereses

Los autores declaran no tener conflicto de intereses.


Referencias

1. BLOCH KC, GLASER C. Diagnostic approaches for patients with suspected encephalitis. Curr Infect Dis Rep. 2007, Jul; 9(4):315-22.

2. TUNKEL AR, GLASER CA, BLOCH KC, SEJVAR JJ, MARRA CM, ROSS KL, ET AL. The management of encephalitis: clinical practice guidelines by infectious Disease Society of America. Clin Infect Dis. 2008, Aug; 47(3):303-27.

3. DERBER CJ. Head and Neck Emergencies Bacterial Meningitis, Encephalitis, Brain Abscess, Upper Airway Obstruction, and Jugular Septic Thrombophlebitis. Med Clin N Am. 2012; 96:1107-26.

4. ULUHAN S, ABDURRAHMAN K, ALI M. HSV Encephalitis Study Group. Herpes simplex virus encephalitis: Clinical manifestations, diagnosis and outcome in 106 adult patients. Original research article. Journal of Clinical Virology. 2015, Jun; 60(2):112-8.

5. ROSENFELD MR, DALMAU J. Autoimmune Encephalitis Affecting Synaptic Proteins. Encyclopedia of the Neurological Sciences, second edition; 2014, p. 342-4.

6. BALBIN MM, BELOTINDOS LP, ABES NS, MINGALA CN. Encephalitis virus detection in blood by loop-mediated isothermal amplification (LAMP) assay targeting the proviral gag region. Original research article. Diagnostic Microbiology and Infectious Disease 2014, May; 79(1):37-42.

7. ROOS KL. Encephalitis. Handbook of Clinical Neurology 2014; (121):1377-81.

8. BÁRCENA-PANERO A, ORY F DE, CASTELLANOS A, ECHEVARRÍA JE. Mumps-associated meningitis and encephalitis in patients with no suspected mumps infection. Original research article. Diagnostic Microbiology and Infectious Disease 2014, Jun; 79(2): 171-3.

9. THOMAS L, MAILLES A, DESESTRET V. Autoimmune N-methyl-D-aspartate receptor encephalitis is a differential diagnosis of infectious encephalitis. Journal of Infection 2014, May; 68(5): 419-22.

10. SIMON DW, SILVA YS DA, ZUCCOLI G, CLARK RSB. Acute Encephalitis. Review article. Critical Care Clinics 2013, Apr; 29(2): 259-77.

11. SOLOMON T, MICHAEL BD, SMITH PE, SANDERSON F, DAVIES NWS. Management of suspected viral encephalitis in adults - Association of British Neurologists and British Infection Association National Guidelines Journal of Infection 2012, Apr; 64(4): 347-73.

12. SONNEVILLE R, KLEIN I, BROUCKER T DE, WOLF M. Post-infectious encephalitis in adults: Diagnosis and management. Review article. Journal of Infection 2009, May; 58(5): 321-28.

13. WHITLEY RJ. Herpes simplex encephalitis: Adolescents and adults. Antiviral Research 2006, Sep; 71(2-3): 141-48.

14. BLOCH KC, GLASER C. Diagnostic approaches for patients with suspected encephalitis. Curr Infect Dis Rep. 2007, Jul; 9(4):315-22.

15. JAINN-JIM LIN, MDA, KUANG-LIN LIN, MDC, MENG-YING HSIEH, MDC, I-JUN CHOU, M. Anti-N-Methyl-d-Aspartate Receptor Encephalitis in Taiwan-A Comparison Between Children and Adults 2014, Jun; 50(6): 574-80.

16. TURTLE L, SOLOMON T. Encephalitis, Viral. Encyclopedia of the Neurological Sciences, second edition; 2014. p. 20-4.