Actualización
https://doi.org/10.22379/2422402215
Teoría Prión - Enfermedades Priónicas
Prion Theory - Prion Diseases
Gabriel Toro González (1), Uriel Esteban Sierra Zuleta (2), Luis Alberto Gómez Grosso (3)
(1) Gabriel Toro G. Neuropatólogo, Profesor Emérito y Honorario de la Universidad Nacional de Colombia. Académico de Número. Academia Colombiana de Ciencias Exactas Físicas y Naturales y de la Academia Nacional de Medicina. Investigador Emérito. Instituto Nacional de Salud. Bogotá, D.C. Colombia.
(2) Uriel Esteban Sierra. Patólogo Veterinario. Coordinador Grupo Red Laboratorios de Diagnóstico Veterinario. Subgerencia de análisis y Diagnóstico. Instituto Colombiano Agropecuario. Bogotá, D.C. Colombia.
(3) Luis Alberto Gómez. Académico Correspondiente de la Academia Colombiana de Ciencias Exactas Físicas y Naturales. Director del Grupo de Fisiología Molecular del Instituto Nacional de Salud.Profesor Titular, Catedrático. Departamento de Ciencias Fisiológicas. Facultad de Medicina, Universidad Nacional de Colombia. Bogotá, D.C. Colombia.
Recibido: 20/10/14. Aceptado: 21/02/15.
Correspondencia: Luis Alberto Gómez: lgomez@ins.gov.co
Resumen
Un enorme progreso se ha logrado en la identificación, prevención, control y estudio de las enfermedades priónicas. El objetivo de esta actualización es presentar un breve Resumen de la historia de la Teoría Prión, de la participación nacional en relación con la salud humana y animal, así como algunos avances sobre la estructura molecular del amiloide priónico. Se explica, en parte, por qué hasta hoy solo tenemos en nuestro país presencia de la Enfermedad de Creutzfeldt-Jakob (ECJ) en su variedad esporádica y una ausencia comprobada de la Encefalopatía Espongiforme Bovina (EEB o “Enfermedad de las vacas locas”), lo que descarta la posible aparición de la variante de la ECJ (vCJ), de carácter zoonótico. Finalmente, como un avance reciente en investigación básica, se actualiza la evidencia experimental sobre una posible relación entre el amiloide de las enfermedades priónicas, el beta amiloide, ßA, de la enfermedad de Alzheimer y la alfa sinucleina de la enfermedad de Parkinson, que hasta hace muy poco se ha empezado a investigar. Se discute el mecanismo de neurotoxicidad, nucleación, transmisión del mal plegamiento y la restricción de su transmisión entre especies.
Palabra clave: Encefalopatías Espongiformes, Enfermedades virales lentas, Enfermedades priónicas; Estructura molecular; Amiloide; Enfermedad de Alzheimer, Enfermedad de Parkinson (DECS).
Summary
There has been tremendous progress in the identification, prevention, control and study of prion diseases. This update presents a brief Summary of the history of Prion theory and the national participation in relation to human and animal health, which may partly explain why we have presence in our country of Creutzfeldt-Jakob disease (CJD) only in its sporadic variant and an absence of bovine spongiform encephalopathy (BSE or “mad cow disease”) until today. These also rule out the possible occurrence of variant CJD (vCJ), which is a zoonotic disease. Finally, as recent advances in basic research, we show a similarity in prion amyloid aggregate structure formed by prions, ßA amyloid aggregates of Alzheimer's disease and alpha synuclein of Parkinson disease, which until recently began being investigated. A mechanism of neural toxicity, nucleation, transmission misfolding and restriction of transmission between species is discussed.
Key words. Spongiform encephalopathies, Lentiviral diseases, Prion diseases; Molecular structure; Amyloid; Alzheimer's disease (MeSH).
“Es cada vez más intolerable que sigamos de espectadores de cualquier tragedia lejana”. Yehudi Menuhin.
Introducción
Las enfermedades priónicas son enfermedades mortales que pertenecen al grupo de enfermedades neurodegenerativas del cerebro de los animales y los seres humanos. También pertenecen al grupo de las enfermedades causadas por el mal plegamiento de proteínas, del que que hoy se sabe también que incluye la enfermedad de Alzheimer, la demencia frontotemporal, las enfermedades de Huntington y Parkinson y la esclerosis lateral amiotrófica. La característica común de estas enfermedades es que su etiología está ligada al mal plegamiento y a la agregación de una proteína del huésped. Durante mucho tiempo se pensó que era una peculiaridad de las enfermedades priónicas. Sin embargo, cada vez es más claro que formas de agregados de otras proteínas amiloidogénicas como ß-amiloide, alfa sinucleína, las proteínas Tau y la Superóxido dismutasa, SOD1, también pueden propagarse de célula a célula in vitro e in vivo (1-3) revelando una nueva característica patológica común de varias enfermedades neurodegenerativas por el mal plegamiento de proteínas. No obstante, es clara la distinción que debe hacerse entre la transmisión intercelular y la capacidad de infección, propia de los priones.
En los últimos 15 años se ha logrado un enorme progreso en la identificación, prevención, control y estudio de las enfermedades priónicas, así como en la comprensión de los mecanismos por los que estas proteínas se pliegan mal y desencadenan neurodegeneración. Varios estudios han puesto de manifiesto las similitudes entre las enfermedades priónicas clásicas y los mecanismos patogénicos subyacentes a trastornos neurodegenerativos más comunes como la enfermedad de Alzheimer y la enfermedad de Parkinson.
Por lo tanto, los objetivos de esta actualización son presentar un breve Resumen de la evolución de la Teoría Prión desde sus orígenes, hacer una síntesis de la participación nacional en relación con la salud humana y animal, y discutir algunos avances sobre la estructura molecular del amiloide priónico y la evidencia experimental sobre una posible relación entre el amiloide de las enfermedades priónicas, el beta amiloide, ßA, de la enfermedad de Alzheimer y la alfa sinucleina de la enfermedad de Parkinson, que hasta hace muy poco se ha empezado a investigar en el laboratorio. Se discute el mecanismo de neurotoxicidad, nucleación, transmisión del mal plegamiento y la restricción de su transmisión entre especies.
Hitos en el conocimiento de algunas enfermedades priónicas y la participación nacional
Omitiendo algunos pocos antecedentes, se puede afirmar que la información acumulada en los 60 años (1954-2014) de ejemplarizante investigación amerita considerar esta temática como uno de los más relevantes hitos de la neurobiología.
La historia de las enfermedades priónicas está consignada en innumerables documentos, de los que se extractan para este artículo solo algunos de los hechos que son más significativos, veamos:
En 1511 a Antonio de Abreu-navegante portugués a su paso por Nueva Guínea le impresionó el temblor que tantas personas presentaban, hoy se sabe que padecían Kuru, palabra que en el lenguaje nativo significa temblar o tiritar.
En 1732 - El Scrapie aparece en Inglaterra y fue descrita por Teissier en 1810. Luego se demuestra en Irlanda, Kenia, India, Sur África, Emiratos Árabes, Australia, Nueva Zelandia y en varios países de Europa Occidental, así como en Estados Unidos de América, en donde se detectó en 1942 en Michigan y luego en 1954 en California causando la muerte de 576 animales (ovejas y cabras).
La enfermedad pudo transmitirse de oveja a oveja en 1936, como es descrito por J Cuille y PL Chelle, y de oveja a ratón en 1961 de acuerdo con RL Chandler. Mc Farlane Burnet, en 1939, se refiere al accionar lento de algunos bioelementos, inicialmente observado en virus herpes. Este hecho quedó bien definido en el libro “The Herpes viruses” que Albert Kaplan dedicó a este. Esta observación de Burnet permite entender mejor por qué B. Sigurdsson (veterinario islandés) expresó en 1954: “Estas enfermedades, las encefalopatías espongiformes, semejan una película en cámara lenta”; ello llevó a que durante tres décadas se hablara de enfermedades virales lentas. Desde 1982 se acepta que lentas sí pero virales no (4).
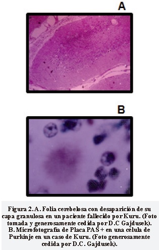
A pesar de lo anterior, el indiscutible punto de partida de esta ejemplarizante investigación fue el lapso desde 1954 a 1956 con los trabajos de D. Carleton Gajdusek y Vincent Zigas. Gajdusek por más de 30 años realizó numerosos viajes a la Nueva Guinea y estudió el Kuru y lo hizo principalmente en las localidades de Okapa y Kainantu en la tribu Fore, una comunidad compuesta por unos 12.000 nativos (Figuras 1, A y B). En 1959 Igor Klatzo fue el primero que observó Placas PAS (+) en cerebros de fallecidos por Kuru (Figura 2, A y B), las relacionó con amiloide y planteó la semejanza de Kuru con Scrapie de oveja, con Alzheimer y en su contexto general clínico-patológico con enfermedad de Creutzfeldt-Jakob (ECJ). Esta en su variante esporádica descubierta entre los años 1920-21 por estos autores Creutzfeldt y Jakob, cuya prevalencia es un paciente por millón de habitantes y su evolución fatal entre 1 a 2 años (5).


En 1968 se publicó el primer libro sobre ECJ con 150 casos (6). Ya para entonces estaba clara la imagen histopatológica: cambio espongiforme, ausencia del infiltrado inflamatorio, pérdida neuronal, proliferación glial (astrocitaria básicamente) y placas amiloides. DC Gajdusek visitó por primera vez nuestro país en 1966 (Figura 3) y documentó que los primeros primates inoculados intracerebralmente unos 4 años antes con cerebro infectado por Kuru hacían ataxia de tallo cerebral y tenían cambios de encefalopatía espongiforme (Figura. 4). Se concluyó que el Kuru era experimentalmente transmisible (7) y a partir de este momento crece nuestro interés en el tema.


Robert Glasse, antropólogo de la Universidad de New York, afirmó que el canibalismo ritual es la causa del Kuru (8) lo cual contribuyó a que empezara su control y su desaparición. Además, se estableció que existe la transmisión oral y una vez que se comprobó, se difundió en varios artículos con titulares como estos: “Non eating your neighbor” (Figura 5).

Ya desde la década 1960-70 se comprendió que diversas encefalopatías espongiformes eran afines en su etiología, patogenia, en su patología y también en su forma de transmisión. Clínicamente su denominador común es la ataxia y el temblor.
En 1974, Philip Duffy, de la Universidad de Columbia, comunicó la primera transmisión de la ECJ esporádica por injerto de cornea. Después se demostró la transmisión a través de electrodos contaminados, de extracto de hipófisis, de injerto de duramadre de transfusión sanguínea (9). Se concluyó que la ECJ puede ser iatrogénica, un nuevo tipo cuya casuística ya para el año 2002 superaba dos centenares así: por extracto hipofisiario 130, por duramadre 110, por electrodos 2, por trasplante de cornea 1 caso comprobado y 2 posibles y por transfusión sanguínea dos casos. En la última década el mayor conocimiento ha limitado su ascenso.
En 1970 J.S. Griffith y R. Latarget propusieron que las encefalopatías espongiformes transmisibles podrían tratarse de errores en el procesamiento de las proteínas, ocasionando el depósito de péptidos anormales y se opusieron a la etiología viral, dada la ya conocida carencia de ADN y ARN, su largo periodo de incubación, la ausencia de respuesta inmunológica y de infiltrado inflamatorio, de estructuras visibles al microscopio electrónico, su extrema resistencia a la radiación ultravioleta, los rayos X, al formaldehido y, al mismo tiempo, su sensibilidad a los métodos que degradan proteínas (10,11).
En 1976 se otorga el premio Nobel de Medicina a D.C. Gajdusek (Figura 6) tras tres décadas de un descomunal acopio de información pero en ambiente de acalorado debate.

Entre 1982 y 1984 Stanley B. Prusiner propuso la Teoría prión (proteína infecciosa en la que la proteína precursora, PrPc que normalmente es sensible a proteasa, se concentra en la membrana neuronal y en la sinapsis, se transforma en una proteína PrPsc infecciosa, resistente a la proteinasa K. También se propusieron y se cuestionaron como mecanismos: a) ¿Un efecto dominó multiplicador? b) ¿Polimerización en cadena? c) ¿Proteínas chaperonas que modificarían el plegamiento de la proteína precursora PrPc? El punto de partida de Prusiner fue la propuesta de Griffith y Latarget en 1970 en la que se dice: “yo me interesé por primera vez en las enfermedades por priones en 1972, cuando siendo residente de Neurología en la Universidad de California, vi morir a uno de mis pacientes debido a la enfermedad de Creutzfeldt Jakob” (9).
Treinta años más tarde se aceptó que los priones eran los agentes etiológicos del Kuru, de las cuatro variedades de la Enfermedad de Creutzfeldt-Jakob: esporádica, iatrogénica, familiar (la más discutida) y la nueva variante vCJ (la única de carácter zoonótico causada por la Encefalopatía Espongiforme Bovina -EEB) y también de la enfermedad (o síndrome) de Gerstmann Straussler Scheinker (descrita en 1936 en una familia austriaca) del insomnio familiar (inicialmente 20 casos entre parientes italianos) y del insomnio fatal esporádico (4).
1984. Una vez introducida la teoría Prión, la sinonimia utilizada para estas patologías quedó así: 1. encefalopatías espongiformes, 2. enfermedades virales lentas, 3. demencias transmisibles vs encefalopatías subagudas espongiformes transmisibles (ESET), 4. amiloidosis viral del sistema nervioso, 5. enfermedades priónicas.
1985-1986. La Encefalopatía Espongiforme Bovina (EEB) apareció en el Reino Unido y por sus manifestaciones clínicas se le denominó “enfermedad de las vacas locas”. Como antecedente a esta se había demostrado la encefalopatía espongiforme en animales de zoológicos que estaban recibiendo desde 1981 alimentos que incluían proteínas provenientes de ovejas afectadas de Scrapie. Esto llevó a pensar que por idéntica razón la oveja pudo infectar a la vaca y se acepta ahora que además de Scrapie y EEB pueden sufrir enfermedad priónica la cabra, el bisón, el ciervo, el venado, el alce, el gato, el gran kudu, el nyala, el oryx. Más recientemente se han identificado priones en especies menores no vertebradas.
1985-1989. El Reino Unido exporta 50,000 bovinos (génesis de aparición de la EEB en varios países de Europa y fuera de ella).
1996. El 6 de abril The Lancet publicó los primeros once casos de vCJ en jóvenes ordeñadores ingleses con edad promedia de 28 años. Para finales de 2012, según la Organización Mundial de la Salud, esta variante totalizó 249 casos, 175 de ellos en el Reino Unido, 25 en Francia. En España, Irlanda, Holanda y otros países europeos también se detectaron sus primeros casos.
1997. Premio Nobel para Stanley B. Prusiner, pero el debate continua (12,13). (Figura 7).

1999. El Comité inglés encargado de la vigilancia aceptó la transmisión de vCJ del vacuno con EEB al humano, aunque diez años antes lo había negado. Hoy se sabe que la transmisión no ocurre de oveja a humano pero si de oveja a vacuno.
El periodo de incubación de la vCJ es entre 5 y 8 años y su perfil para identificación de caso es el siguiente: es un desorden neuropsiquiátrico progresivo que evoluciona fatalmente entre 6 y 12 meses, sin historia de exposición iatrogénica, pero sí a los llamados materiales específicos de riesgo como son cerebro, ojos, médula espinal, raíces y ganglios nerviosos, tonsilas e intestino. Además los resultados del EEG, del LCR y de imágenes descartan la ECJ esporádica, en la que sí se evidencian cambios electroencefalográficos, la presencia de la proteína 14-3-3 en el líquido cefalorraquídeo y una localización cortical difusa de la lesión en imágenes de resonancia magnética (RMN), diferente del aumento de señal en el pulvinar bilateral que se observa en la nueva variante. La vCJ también se caracteriza por tener síntomas psiquiátricos tempranos, síntomas sensoriales dolorosos persistentes con ataxia, mioclonias, distonía y demencia tardía. Los hallazgos histopatológicos mantienen el perfil de las enfermedades priónicas (4).
A partir de 1970 Paul Brown, del grupo de Bethesda, hizo numerosas recomendaciones sobre Bioseguridad (14), entre ellas: esterilización con autoclave por más tiempo que el convencional y a mayor temperatura, Hipoclorito de sodio (5%), Hidróxido de sodio (1N) y otras medidas que también se adoptaron a partir de 1982 para manejo del SIDA.
La participación y seguimiento a la evolución de ésta patología en Colombia ha sido ininterrumpida desde su comienzo, pero sobre todo a partir de la década de los sesenta en el Hospital San Juan de Dios, desde su excelente departamento de psiquiatría y posteriormente en el INS desde la Red Nacional de Laboratorios, cuando Toro G comenzó a recibir solicitudes de autopsia de pacientes fallecidos por la variedad esporádica de ECJ. Más todavía a partir de 1996 cuando se conoció la primera comunicación de la existencia de una nueva variante de la enfermedad de Creutzfeldt-Jakob (vCJ). Se aceptó además su carácter de zoonosis a partir de la EEB, se iniciaron acciones directas para su control que incluyeron multiplicar información con el estudio de casos esporádicos de ECJ. En 1981 se dio el caso de una oveja con Scrapie con cuyo diagnóstico oportuno y la toma de las medidas pertinentes se logró evitar que machos de la raza Cheviot traídos de Escocia para reproducción a la Hacienda Don Benito de Zipaquirá diseminaran esta patología en la sabana de Bogotá, la transmitieran al ganado vacuno y crearan riesgo de aparición de la enfermedad humana vCJ.
Además, se realizaron múltiples talleres, conferencias y publicaciones de las que se citan sólo las dos que contienen la más rica información con amplia bibliografía (4,15). Estas fueron reproducidas por la revista Medicina, órgano oficial de la Academia Nacional de Medicina, que transcribieron los Decretos reglamentarios para su manejo (Decreto 2350 de 2004 modificado por el Decreto 3752 de 2006), la guía para identificación y seguimiento de la vCJ y su inclusión en el Sistema Nacional de Vigilancia, SIVIGILA. La elaboración de este material aglutinó las entidades que tienen la máxima responsabilidad en la prevención y control de este problema y cita además la vigencia del convenio de cooperación técnica INS-ICA contrato CN 099 de 2002 y la composición del Comité que vigilará su estricto cumplimiento, integrado por delgados de: 1. Ministerio de Salud, 2. Instituto Nacional de Salud, 3. Instituto Nacional de Vigilancia de Alimentos y Medicamentos INVIMA, 4. Instituto Colombiano Agropecuario ICA, 5. La Academia Nacional de Medicina como invitada.
La participación nacional en la identificación, el seguimiento y la evolución de ésta patología hasta su estado actual se ha complementado con el enriquecimiento y difusión del conocimiento clínico y patológico de la Enfermedad de Creutzfeldt-Jakob (ECJ) en su variedad esporádica. Esta, como es sabido, tiene distribución geográfica universal y no se le conoce relación alguna con la transmisión zoonótica y la variante denominada vCJ. Entre estas variantes se encuentran diferencias clínicas, paraclínicas en el líquido cefalorraquídeo, en el electroencefalograma, en sus imágenes y en su patología bien conocida desde 1996 y cuyo origen universalmente aceptado desde 1999 es su transmisión a partir de la Encefalopatía Espongiforme Bovina (EEB o “Enfermedad de las vacas locas”). Esta participación de Toro y colaboradores permitió medir la presencia ocasional de la forma esporádica de la ECJ y la inexistencia en nuestro país hasta hoy de la vCJ. Adicionalmente, se siguieron las normas de bioseguridad para el manejo de las enfermedades priónicas que en buena hora sirvieron de modelo en lo atinente al VIH-Sida.
Como la demencia es la mayor tragedia que puede sobrevenir al ser humano debemos hacer todo lo que esté a nuestro alcance para prevenirla; afortunadamente en el caso de la vCJ lo estamos logrando (Figura 8). Este logro se debe en gran parte a la vigilancia de la Encefalopatía Espongiforme Bovina (EEB) o “Enfermedad de las vacas locas”. Desde 1986 hasta la fecha se han registrado más de 190,000 casos en el mundo, incluyendo los casos de Canadá, los Estados Unidos y un caso de Brasil (16-18).

En el año 2008, países como Francia e Italia, en el marco de la vigilancia epidemiológica activa en las plantas de beneficio animal, en la rutina de verificar que todas las canales bovinas para consumo humano fueran negativas a una prueba confirmatoria de EEB, encontraron en el Western blot que la banda no glicosilada, diagnóstica para la EEB clásica, no tenía el mismo patrón molecular. Esto llevó a inferir que se encontraban proteínas de alto y de bajo peso molecular e indujo a denominar a estos casos Encefalopatía Espongiforme Bovina Atípica (BASE, por las siglas en inglés) (19), que no son más que diagnósticos que presentan similitudes en las propiedades moleculares de los casos de la forma esporádica de la enfermedad de Creutzfeldt-Jakob (CJD) en humanos (20,21). En este contexto, a la fecha se han presentado 47 casos de BASE, contando los casos de EE.UU, algunos de Canadá y el caso de Brasil en el 2012. Debido a que la mayoría de los priones en la forma atípica se concentran en la corteza cerebral y no en el tallo encefálico, se cambió el sistema de muestreo, por cuanto se deben tomar muestras de corteza, cerebro medio, cerebelo, hipocampo y tallo encefálico.
La OIE (Organización Mundial de Sanidad Animal) y la OMS (Organización Mundial de la Salud) han exhortado a los países a establecer las medidas sanitarias necesarias para prevenir que estas enfermedades ingresen a sus territorios, y a definir su situación en relación con las Encefalopatías Espongiformes Transmisibles (EET) a través de una evaluación de riesgos y del establecimiento de un sistema de vigilancia y seguimiento continuo especifico por siete años (22,23).
El programa Nacional de prevención de la EEB está soportado por un marco normativo cuya aplicación llevó a obtener y a mantener el reconocimiento de Colombia como país con riesgo insignificante, condición sanitaria perentoria para la admisibilidad al comercio internacional del ganado y garante para la salud pública (Resolución N° 18 de la 80 a Sesión General de la OIE en mayo de 2012 y Resolución N° 20 de la 81 a Sesión General de la OIE en mayo de 2013).
El programa Nacional establece como obligatoria la notificación inmediata de la existencia de cualquier caso sospechoso de presentar síntomas compatibles con EEB, su atención inmediata y diagnóstico, así como la vigilancia epidemiológica a nivel de plantas de sacrificio, predios, empresas productoras de alimentos suplementarios para rumiantes. Así mismo, se exige la búsqueda, ubicación y seguimiento permanente de todos los bovinos, ovinos y caprinos importados a Colombia de países que en la actualidad registran EEB.
En el ICA se evaluaron por histopatología 6,210 casos, como diagnóstico diferencial de EEB y de Scrapie, y no se vieron cambios morfológicos compatibles con éstas enfermedades. Así mismo, se analizaron por inmunohistoquímica como prueba confirmatoria para el diagnóstico de EEB (n=2,824 muestras) y por pruebas bioquímicas (n=1,684), todas con resultados negativos, corroborando la ausencia de la EEB y de las EET en Colombia.
Este Resumen histórico permite concluir que a nivel nacional nos hemos venido preparando para que la información requerida por los entes gubernamentales, al ICA, al INS y demás instituciones afines, sea totalmente confiable para apoyar las decisiones más acertadas, justamente ahora cuando varios tratados de libre comercio han entrado en vigencia.
Posible relación entre la estructura molecular del amiloide de las enfermedades priónicas, el ßA de la enfermedad de Alzheimer y la alfa Sinucleina de la enfermedad de Parkinson.
Las amiloidosis representan un espectro de enfermedades que resultan del depósito patológico de fibrillas de cerca de 28 moléculas proteicas diferentes incluyendo cadenas ligeras de inmunoglobulinas, hormonas polipeptídicas, moléculas de transporte, transtiretina, polipéptido amiloide A, proteína Tau, proteína precursora amiloide, huntintina entre otras (24). El amiolide puede acumularse y causar amiloidosis sistémicas, que son un grupo de enfermedades mortales en los que diferentes órganos acumulan agregados de proteínas. Recientemente, se ha propuesto que otras proteínas asociadas con trastornos neurodegenerativos comunes, tales como la enfermedad de Alzheimer, la enfermedad de Parkinson, la enfermedad de Huntington y sus proteínas amiloidogénicas pueden auto-replicarse como priones, con un perfil neurotóxico en el sistema nervioso y se consideran como enfermedades similares a las priónicas. La generación de fibrillas amiloides, a partir de polipeptidos amiloidogénicos mal plegados, ocurre por un proceso dependiente de nucleación in vivo e in vitro.
La relación entre proteínas amiloides y su capacidad de replicarse y de transmitirse a través de mecanismos semejantes a los priónes se puso en consideración desde hace más de una década (25, 26). De hecho, Tau, B-amiloide y α-sinucleina tienen la habilidad de diseminarse célula a célula. Una de las preguntas sigue siendo si las proteínas amiloidogénicas tienen un potencial zoonótico similar a la que previamente fue demostrado para otras enfermedades por priones como la EEB (24). Sin embargo, a la fecha no hay evidencia disponible de su transmisión entre individuos.
Hipótesis amiloide de la enfermedad de Alzheimer y amiloide priónico
Braak y Braak (1991) propusieron la hipótesis amiloide de la enfermedad de Alzheimer. Esta hipótesis planteó que la agregación y depósito de péptidos beta-amiloide (ßA, por sus siglas en inglés) derivados de la proteína precursora amiloide (APP, por sus siglas en inglés) y la diseminación de esos depósitos ßA en el cerebro constituyen los eventos claves más tempranos en la progresión de la enfermedad de Alzheimer (27). Hardy J y Selkoe DJ (2002) revisan los progresos de ésta hipótesis y sus implicaciones en la terapéutica de ésta devastadora enfermedad neurodegenerativa (28).
Recientemente, Prusiner y colaboradores (29) propusieron la hipótesis de que péptidos beta amiloide (ßA) de la enfermedad de Alzheimer se comportan como priones y publicaron un trabajo en el que utilizan un modelo experimental de enfermedad de Alzheimer en ratones transgénicos. Este tipo de ratones son susceptibles a la generación de depósitos de beta amiloide a nivel cerebral porque expresan los genes mutantes humanos que codifican para la proteína precursora amiloide, APP23 y CNDR28, mutadas. En estos ratones transgénicos la expresión de las formas mutantes fueron controlados por el promotor del gen que codifica para la proteína ácida fibrilar glial, (GFAP, por sus siglas en inglés) y estaban acopladas al gen que codifica para la enzima luciferasa, para poder detectar y monitorear en el tiempo las señales de bioluminiscencia cerebral.
En dicho artículo se presentó evidencia experimental de que la inoculación de homogenizados de cerebro de ratones que expresan formas mutantes de la proteína APP, la inoculación de fibrillas ßA purificadas de homogenizados de cerebro que las contenían, así como la inoculación de péptidos sintéticos beta amiloide en el hemisferio derecho de ratones transgénicos susceptibles, indujeron un incremento sostenido en las señales luminiscentes cerebrales (con el homogenizado a los 261 y 238 días post inoculación, dpi, con las fibrillas ßA purificadas a los 161 y 173 dpi, y con los péptidos sintéticos beta amiloide 229 y 235 dpi, respectivamente). Por su parte, las señales permanecieron bajas en los ratones inoculados con homogenizados de cerebro de ratones no transgénicos (333 días post inoculación), lo que sugirió un incremento y una diseminación de depósitos de péptidos beta-amiloide. Esto fue confirmado por ensayos de Western blot, ensayos inmuno-enzimáticos e inmunocitoquímica, que mostraron un incremento relativo de la proteína amiloide, un incremento de la proteína GFAP y una distribución bilateral del amiloide en los dos hemisferios del cerebro anterior. Estos hallazgos sugieren que los agregados ßA podrían diseminarse en el cerebro de ratones transgénicos susceptibles por la inoculación de homogenizados cerebrales que contienen agregados ßA, por las fibrillas ßA purificadas y por péptidos sintéticos beta amiloide de manera similar al comportamiento de los priones (29). A pesar de las observaciones realizadas en el modelo experimental presentado, no se demuestra si los péptidos ßA inoculados son suficientes para el ensamblaje y autopropagación de las placas amiloide extracelulares, o si hay o no factores asociados al hospedero, por tratarse de ratones transgénicos, que sean los responsables del fenómeno observado.
Algunas observaciones ya publicadas son:
Por otra parte, también hay evidencia experimental de que en la enfermedad de Parkinson se presentan inclusiones o cuerpos de Lewy, cuyo principal componente es la α - sinucleína, y que el desarrollo de estos agregados intracelulares por el mal plegamiento dela α - sinucleína se puede propagar célula a célula. Estos resultados y otros han llevado a la hipótesis de que existe un mecanismo similar a los priones para explicar la propagación de la α - sinucleína en el sistema nervioso (35,36).
Aunque los agregados ßA y los agregados de α - sinucleína se comportaron de manera similar a los priones en los modelos experimentales, actualmente no hay evidencia de que la enfermedad de Alzheimer y la enfermedad de Parkinson sean contagiosas, en el sentido de que sean transmisible entre los humanos. No obstante, de llegar a confirmarse que los agregados ßA, la α - sinucleína y otros polipéptidos amiloidogénicos se comportan como priones, una pregunta a responder es ¿cuál podría ser la relación entre la biología de los priones y la estructura de los agregados amiloides? Para intentar responder a esta pregunta, nos centraremos en esta revisión en la biología de los priones y de los agregados ßA de la enfermedad de Alzheimer.
Posible relación entre la biología de los priones y de los agregados ßA
Es ampliamente aceptado, aunque no universalmente, que algunos priones son causantes de un grupo de patologías neurodegenerativas letales, conocidas como encefalopatías espongiformes transmisibles, en ocasiones heredables. En seres humanos la enfermedad de Creutzfeldt-Jakob (ECJ) es transmisible debido a las malas prácticas quirúrgicas y en un 10% a 15% de los casos el origen es genético. El Kuru, está restringido a poblaciones de Papúa Nueva Guinea y relacionado con prácticas caníbales; la encefalopatía espongiforme familiar asociada a una nueva mutación en el gen PRNP que es hereditaria y autosómica dominante y la variante de la enfermedad de Creutzfeldt-Jakob, transmitida por la ingesta de productos procedentes de reses afectadas con la denominada encefalopatía espongiforme bovina (37,38).
En animales, además de la enfermedad de las vacas locas, se describen otras enfermedades como la "Tembladera" o Scrapie en ovejas y otras patologías como la enfermedad caquectizante de alces y la encefalopatía espongiforme felina (30). Algunos microorganismos como la levadura Saccharomyces cerevisiae también se ven afectados por priones, como es el caso de las levaduras [PSI+] y [URE3], cuyos priones son las formas anormalmente plegadas de las proteínas Sup35 y Ure2, respectivamente (39,40). En estas levaduras, las proteínas anormales o priones son capaces de propagarse pero no son mortales, sino que los fenotipos asociados a la infección reflejan una deficiencia de la actividad de las proteínas solubles normales.
La teoría Prion propone que algunas proteínas pueden actuar como agentes infecciosos. Originalmente, esta teoría se formuló para explicar que las proteínas mal plegadas, llamadas priones, podían transmitir una característica bioquímica y algunas enfermedades de manera horizontal, sin la necesidad del acompañamiento de un ácido nucleico. En esta teoría propone que los priones entran en un organismo sano, actúan sobre la forma normal del mismo tipo de proteína existente en el organismo, la modifican y la convierten en prión (38). Los priones se propagarían mediante la transmisión del mal plegamiento a través de la inducción de ese mal plegamiento a otra proteína normal de la misma especie a manera de un velcro. Los priones recién formados pueden transformar más proteínas, provocando una reacción en cadena que generaría la diseminación de la conformación de la proteína prion. En animales que no expresan la forma normal con la misma secuencia de aminoácidos de las proteínas priónicas no se puede desarrollar o transmitir la enfermedad. Por lo tanto, la propagación de la conformación del prión dependería de la presencia de las proteínas normalmente plegadas en las que los priones pueden inducir el mal plegamiento.
Entre las principales características bioquímicas de las proteínas priónicas se pueden describir:
Generalmente, las proteínas priónicas pierden parcial o totalmente su función original. Como se mencionó anteriormente la mayoría de los priones conocidos inducen la formación de amiloide, que se caracteriza por formar un agregado filamentoso que consiste en péptidos plegados en hojas ß, perpendiculares al eje longitudinal de los filamentos. En el caso de moléculas con formación de amiloide, como el caso de la proteína ß amilode, ßA, de la enfermedad de Alzheimer, la α - sinucleína de la enfermedad de Parkinson y de otros péptidos que generan amilode, se precisa una comparación de interacciones intermoleculares que ayuden a entender los cambios en el plegamiento proteico asociados con posibles mecanismos de replicación y propiedades biológicas (43).
La comparación de estructuras y de posibles interacciones intra- e inter-moleculares de agregados amiloides de la proteína priónica y de la proteína beta amiloide ßA y algunos cambios de plegamiento mediante RNM y análisis molecular asistido por computadora en dos y tres dimensiones aportan evidencia de que agregados de proteínas priónicas y de la proteína beta amiloide ßA contienen en su estructura cadenas laterales de aminoácidos con la capacidad de interactuar. Esta posibilidad de interacciones intra- e inter-moleculares, asociadas a un plegamiento en paralelo de las hojas beta, les confieren mayor estabilidad y resistencia a proteasas (44-47).
En la arquitectura molecular de los dos tipos de agregados polipeptídicos, los enlaces de hidrógeno son intermoleculares a excepción de las interacciones inter-hoja ß. En la región hélice, la mitad o más de las interacciones entre las cadenas laterales fueron intra-moleculares (48,49). Estos resultados indican que existe similitud en la estructura amiloide priónica de los agregados formados por priones y la estructura de los agregados beta amiloide, ßA de la enfermedad de Alzheimer. Las interacciones moleculares son consistentes con algunas de sus propiedades bioquímicas como su gran estabilidad, resistencia a proteasas y permiten proponer cómo se propagaría el cambio en la estructura.
Adicional a la similitud molecular en la estructura amiloide priónica y en agregados beta amiloide, la evidencia de que péptidos beta amiloide (ßA) de la enfermedad de Alzheimer se podrían comportar como priones (29) también sugiere una posible relación entre las propiedades biológicas de los agregados de proteínas priónicas y de la proteína beta amiloide. Por lo tanto, se podría proponer que la relación entre la biología de los priones y la estructura de los agregados ßA podría estar definida de las siguientes formas:
en primer lugar, una proteína seleccionada en la evolución para ser un prión, como la proteína precursora (PPA) debería tener una sola variante/estructura, ya que se ha seleccionado para realizar una tarea específica. No es sorprendente que haya múltiples variantes priónicas, sobre todo ahora que se propone una explicación de cómo cualquiera de las varias conformaciones alternativas de la misma molécula de proteína pueden ser propagadas de forma estable.
En segundo lugar, como se señaló anteriormente, la arquitectura en paralelo de las hojas ß de los priones es compatible con cualquiera de las diferentes estructuras propagadas, pero la estructura en hélice parece más probable de producir como una sola estructura. La conformación helicoidal introduce una restricción no presente en la arquitectura en paralelo de los priones. En la arquitectura molecular de los priones, todos los enlaces de Hidrógeno son intermoleculares a excepción de las interacciones inter-hoja. En la hélice, la mitad o más de las interacciones entre las cadenas laterales longitudinales son intramoleculares. Se ha propuesto que esto limitaría a la -hélice a un menor número de formas (49).
Una tercera relación de la estructura amiloide y la biología de los priones podría ser en la producción de la toxicidad e infectividad. Diferentes variantes con diferentes ubicaciones y a su vez la posible heterogeneidad de tamaños de los agregados podría producir diferentes tipos de toxicidad celular y capacidad infectiva (50,51). Por ejemplo, recientemente, se identificó al receptor CD36 involucrado en la acumulación de depósitos de amiloide en los vasos sanguíneos cerebrales, una condición conocida como la angiopatía amiloide cerebral (CAA). En la mayoría de los pacientes con Alzheimer, la capacidad del cerebro para eliminar amiloide-β está deteriorada y, en consecuencia, el amiloide-β (βA42) se acumula en las placas amiloides y el (βA40) se acumula en las arterias del cerebro, dando lugar a CAA (52). Estos hallazgos sugieren que el amiloide, además de dañar las neuronas, también amenaza el suministro de sangre al cerebro y aumenta la susceptibilidad a un daño por la falta de oxígeno.
Aunque el mecanismo molecular de la neuro-toxicidad no se conoce, se acepta que las fibrillas de agregados ßA42, aunque no directamente tóxicas, proporcionan una superficie catalítica para la generación continua de oligómeros tóxicos (53). Estos son especies que también pueden crecer y convertirse en fibrillas adicionales promoviendo así, en un ciclo catalítico, la formación de mas especies tóxicas adicionales, que van a interaccionar con otras proteínas y moléculas, tales como la proteína Tau (54).
La proteína citosólica Tau, que modula la estabilidad de los microtúbulos y la ruta del transporte axonal, está hiperfosforilada en la enfermedad de Alzheimer y forma mallas u ovillos de fibrillas. De manera similar al ßA, la proteína Tau se pliega de manera aberrante, se puede encontrar extracelularmente y se transmite en regiones cerebrales y en las neuronas que se conectan anatómicamente, propagándose de una manera similar a los priones (26). Muchos factores pueden causar la hiperfosforilación de Tau por la 3B-Glicógeno sintasa cinasa (GSK-3B) tales como peroxinitritos, productos finales de glicación, el estrés del retículo endoplásmico, la disfunción del proteasoma y los oligomeros de Aß42. La activación de GSK-3B se asocia con inhibición de la fosfatasa PP2A, lo cual aumenta la hiperfosforilación, la formación de agregados, la disrupción de los microtúbulos y la disminución de la plasticidad sináptica asociada a las placas de amiloide-β, pero el mecanismo molecular es complejo y no es claro.
El mecanismo de la toxicidad y neurodegeneración en las enfermedades como Alzheimer, Parkinson y priónicas es entendido pobremente. En un estudio más reciente, Zhou M y col (55) reportaron que la degeneración inducida in vivo por una proteína priónica en neuronas del hipocampo ocurre por una depleción de NAD+ inducida por la proteína amiloidogénica mal plegada que se asoció con activación de la autofagia y la neurodegeneración. Proponen que la proteína priónica entra a la célula e induce una excesiva ADP-ribosilación consumiendo el NAD+, lo cual genera una falla metabólica. Esto, dado que el NAD+ es esencial para la síntesis de ATP, es un cofactor esencial para la glicólisis y para las reacciones de oxido-reducción y la amortiguación del estrés oxidativo en los ciclos NAD+/NADH y NADP+/NADPH. Igualmente, es imprescindible en la homeóstasis del calcio intracelular por ser el precursor de sus reguladores NADP+ y cADPR y en la respuesta de desacetilación de proteínas histonas y no histonas que se presenta en la reparación de daños en el DNA y cambios epigenéticos. Estos cambios se asociaron con autofagia y muerte celular neuronal.
Además, recientemente, un estudio sobre los perfiles epigenéticos en cerebros de modelos animales de AD observó cambios en la expresión de genes que participan de la respuesta inmunológica y propone que la neurodegeneración y la disminución en la plasticidad neuronal se pueden asociar con la función inmune y por efectos no genéticos, tales como la dieta, la educación, la actividad física y la edad, que se cree conducen a cambios epigenéticos relacionados con reserva cognitiva (56).
A pesar de los recientes avances en el conocimiento de los priones y de las enfermedades asociadas, es importante resaltar que aún existen problemas no resueltos completamente y surgen nuevas dificultades. Por ejemplo, aun no es suficientemente claro cuáles son las funciones fisiológicas de las proteínas priónicas normales, aunque se sabe que algunas proteínas a las que se unen pertenecen principalmente a las categorías de proteínas de choque térmico y receptores de membrana. Hay evidencia de que podrían tener un papel en la sinapsis; por ejemplo, algunos estudios señalan a PrPC como una molécula de unión de cobre en la hendidura sináptica y que su unión a moléculas de señalización sugiere un papel de PrPC en transmitir información del medio extracelular a la célula y un papel en la supervivencia celular (57).
Además, no es claro cuáles son los mecanismos moleculares de la replicación de los priones, cuál de las posibles variantes de los priones sea la responsable de propagar los cambios conformacionales de las proteínas normales bien plegadas y si se requiere la asistencia de otras proteínas, ácidos nucleicos, iones u otros metabolitos. Tampoco es claro, cómo los priones alcanzan el cerebro después de haber ingresado al organismo y qué moléculas y estructuras están involucradas en este proceso. No se sabe cuáles son los mecanismos de la neurodegeneración asociada a los priones ni como interferir o proteger del daño neuronal.
Por lo tanto, existe una similitud en la estructura amiloide priónica de los agregados formados por priones y la estructura de los agregados beta amiloide, ßA de la enfermedad de Alzheimer que puede indicar una posible relación en sus propiedades biológicas. Esta relación se fundamenta en tres fenómenos: 1. la mayoría de los priones conocidos inducen la formación de amiloide, que se caracteriza por formar un agregado filamentoso que consiste en plegamientos en hojas ß, perpendiculares al eje longitudinal de estos filamentos. 2. Evidencia experimental de que péptidos beta amiloide (ßA) de la enfermedad de Alzheimer, se podrían comportar como priones. 3. Algunos análisis de las interacciones intermoleculares en la estructura amiloide priónica y en agregados beta amiloide, ßA, de la enfermedad de Alzheimer muestran que en su estructura existen interacciones intra- e inter-moleculares, asociadas a un plegamiento en paralelo de las hojas beta, que se pueden propagar. Esos resultados indican que es posible que desde la estructura molecular del amiloide exista una aproximación de las enfermedades priónicas, la enfermedad de Alzheimer y posiblemente algunas enfermedades neurodegenerativas como la enfermedad de Parkinson, la enfermedad de Huntington, la esclerosis lateral amiotrófica, entre otras.
En conclusión, queda mucho por investigar y valorar el riesgo de transmisibilidad. Si se resolvieran los interrogantes y otros problemas planteados arriba, en las enfermedades priónicas y las parecidas a estas, se podría aportar al conocimiento de las bases celulares y moleculares de parte de la neurofisiología y la neuropatología, que son necesarias para avanzar en aplicaciones más efectivas en prevención, diagnóstico y tratamiento de este tipo de enfermedades neurodegenerativas.
Conflicto de intereses
Los autores declaran no tener conflicto de intereses.
Referencias
1. AGUZZI A, HAASS C. Games played by rogue proteins in prion disorders and Alzheimer's disease. Science. 2003;302:814-8.
2. BRUNDIN P, MELKI R, KOPITO, R. Prion-like transmission of protein aggregates in neurodegenerative diseases. Nat. Rev. Mol. Cell Biol. 2010; 11, 301-307.
3. OLANOW CW, BRUNDIN P. Parkinson's disease and alpha synuclein: is Parkinson's disease a prion-like disorder? Mov Disord 2013; 28: 31-40.
4. TORO G, DÍAZ A, SAAD C. Ayer, hoy y mañana? de la teoría Prión. Acta Neurol Colomb. 2002;184:187-203.
5. KIRSBAUM WR. Creutzfeldt-Jakob Disease. New York-American Elsevier, 1968.
6. GAJDUSEK DC, GIBBS CJ JR, ALPERS M. Transmission and passage of experimenal "kuru" to chimpanzees. Science. 1967;155:212-4.
7. GAJDUSEK DC, GIBBS CJ JR, ALPERS M. Transmission and passage of experimenal "kuru" to chimpanzees. Science. 1967;155:212-4.
8. MATHEWS JD, GLASSE R, LINDENBAUM S. Kuru and cannibalism. Lancet. 1968;2:449-52.
9. DUFFY P, WOLF J, COLLINS G, DEVOE AG, STREETEN B, COWEN D. Possible person-to-person transmission of Creutzfeldt-Jakob disease. N Engl J Med. 1974;290:692
10. GRIFFITH JS. Self-replication and scrapie. Nature. 1967;215:1043-4.
11. LATARJET R, MUEL B, HAIG DA, CLARKE MC, ALPER T. Inactivation of the scrapie agent by near monochromatic ultraviolet light. Nature. 1970;227:1341-3.
12. PRUSINER SB. Novel proteinaceous infectious particles cause scrapie. Science. 1982;216:136-44.
13. CHIESA R, HARRIS DA. Prion diseases: what is the neurotoxic molecule? Neurobiol Dis. 2001;8:743-63.
14. FRADKIN JE, SCHONBERGER LB, MILLS JL, GUNN WJ, PIPER JM, WYSOWSKI DK, ET AL. Creutzfeldt-Jakob disease in pituitary growth hormone recipients in the United States. JAMA. 1991;265:880-4.
15. TORO G, PACHECO OE, SIERRA UE, BELTRAN M, DÍAZ A, PARRA EA, BONILLA E. Encefalopatías subagudas Espongiformes Transmisibles (ESET). La teoría prión-Enfermedades priónicas Acta Neurol Colomb. 2005;21:134-62.
16. BARON TG, BIACABE AG, BENCSIK A AND LANGEVELD JPM. Transmission of new bovine prion to mice. Emerg Infect Dis. 2006;12:1125-1128.
17. COMOY EE, CASALONEC, LESCOUTRA-ETCHEGARAY N, ZANUSSO G, FREIRE S, MARCÉ D, ET AL. 2008 Atypical BSE (BASE) Transmitted from Asymptomatic Aging Cattle to a Primate. PLoS ONE 3 (8): e3017. Doi:10.1371/journal.pone.0003017.
18. KONG Q, ZHENG M, CASALONE C, QUING L, HUANG S, CHAKRABORTY B, ET AL. Evaluation of the human transmission risk of an atypical bovine spongiform encephalopathy prion strain. J Virol. 2008;82:3697-701.
19. BERINGUE V, BENCSIK A, LE DUR A, REINE F, LAI TL, CHENAIS N, ET AL. TAFS Position Paper on Atypical scrapie and Atypical BSE. (May 16, 2007), Isolation from cattle of a Prion Strain distinct that causing Bovine Spongiform Encephalopathy. PLoS Pathogens. 2006;2:E112. 0956-0963.
20. CASALONE G, ZANUSSO P, ACUTIS S, FERRARI L, CAPUCCI F, TAGLIAVINI S, ET AL. Identification of a second bovine amyloidotic spongiform encephalopathy: Molecular similarities with sporadic Creutzfeldt-Jakob disease C. Proc Nat Acad Sci. 2004; 101:3065-70.
21. BUSCHMANN A, GRETZSCHEL A, BIACABE AG, SCHIEBEL K, CORONA C, HOFFMANN C, ET AL. Atypical BSE in Germany proof of transmissibility and biochemical characterization. Vet Microbiol. 2006;117:103-16.
22. ORGANIZACIÓN MUNDIAL DE SANIDAD ANIMAL OIE. Manual de las pruebas de Diagnóstico y de las Vacunas para los animales Terrestres. 2013; Capítulo 2.4.6 Encefalopatía espongiforme bovina (NB: Versión adoptada en mayo de 2010).
23. CAPOBIANCO R, CASALONE C, SUARDI S, MANGIERI M, MICCOLO C, LUMIDO L, ET AL. Conversion of the BASE Prion Strain into the BSE strain: The Origin of BSE. PLoS Pathogens. 2007;3:e31. 1-8.
24. AGUILAR-CALVO P, GARCÍA C, ESPINOSA JC. Prion and prion-like diseases in animals. Virus Res. (2014), http://dx.doi.org/10.1016/j.virusres.2014.11.026
25. LUNDMARK K,WESTERMARK GT, NYSTROM S, MURPHY CL, SOLOMON A, WESTERMARK P. Transmissibility of systemic amyloidosis by a prion-like mechanism. Proc. Natl. Acad. Sci. USA. 202; 99:6979-84
26. KRAUS A, GROVEMAN BR, CAUGHEY B. Prions and the Potential Transmissibility of Protein Misfolding Diseases. Annu. Rev. Microbiol. 2013. 67:543-64
27. BRAAK H, BRAAK E. Demonstration of amyloid deposits and neurofibrillary changes in whole brain sections. Brain Pathol. 1991;1:213-6.
28. HARDY J, SELKOE DJ. The amyloid hypothesis of Alzheimer's disease: progress and problems on the road to therapeutics. Science. 2002;297:353-6.
29. STÖHR J, WATTS JC, MENSINGER ZL, OEHLER A, GRILLO SK, DEARMOND SJ, ET AL. Purified and synthetic Alzheimer's amyloid beta (Aβ) prions. Proc Natl Acad Sci U S A. 2012;109:11025-30.
30. EISELE YS, OBERMÜLLER U, HEILBRONNER G, BAUMANN F, KAESER SA, WOLBURG H, et al. Peripherally applied A beta-containing inoculates induce cerebral beta-amyloidosis. Science. 2010;330:980-82.
31. SCHENK D, BARBOUR R, DUNN W, GORDON G, GRAJEDA H, GUIDO T, ET AL. Immunization with amyloid-beta attenuates Alzheimer-disease-like pathology in the PDAPP mouse. Nature.1999; 400:173-7.
32. JANUS C, PEARSON J, MCLAURIN J, MATHEWS PM, JIANG Y, SCHMIDT SD, ET AL. A beta peptide immunization reduces behavioural impairment and plaques in a model of Alzheimer's disease. Nature. 2000; 408:979-82.
33. ORGOGOZO JM, GILMAN S, DARTIGUES JF, LAURENT B, PUEL M, KIRBY LC, ET AL. Subacute meningoencephalitis in a subset of patients with AD after Abeta42 immunization. Neurology. 2003;61:46-54.
34. GILMAN S, KOLLER M, BLACK RS, JENKINS L, GRIFFITH SG, FOX NC, ET AL. Clinical effects of Abeta immunization (AN1792) in patients with AD in an interrupted trial. Neurology. 2005;64:1553-62.
35. ANGOT E, STEINER JA, HANSEN C, LI JY, BRUNDIN P. Are synucleinopathies prion-like disorders? Lancet Neurol. 2010;9:1128-38.
36. DUNNING CJ, GEORGE S., AND BRUNDIN, P. (2013) What's to like about the prion-like hypothesis for the spreading of aggregated α-synuclein in Parkinson disease? Prion 2013;7:92-7.
37. COLLINGE J. Prion diseases of humans and animals: their causes and molecular basis. Annu Rev Neurosci. 2001;24:519-50.
38. TORO G, ROMÁN G, URIBE C. Neurociencia. Contribución a la historia. Enfermedades "viejas" y "nuevas". Editor Mauricio Pérez. Instituto Nacional de Salud. Bogotá. Colombia. Primera edición. 2006: 1-113.
39. SHEWMAKER F, WICKNER RB, TYCKO R. Amyloid of the prion domain of Sup35p has an in-register parallel -sheet structure. Proc Natl Acad Sci USA.2006;103:19754-9.
40. BAXA U, WICKNER RB, STEVEN AC, ANDERSON D, MAREKOV L, YAU W-M, ET AL. Characterization of sheet structure in Ure2p1-89 yeast prion fibrils by solid state nuclear magnetic resonance. Biochemistry. 2007;46:13149-62.
41. CHIEN P, WEISSMAN JS, DEPACE AH. Emerging principles of conformation-based prion inheritance. Annu Rev Biochem. 2004;73:617-56.
42. RITTER C, MADDELEIN ML, SIEMER AB, LUHRS T, ERNST M, MEIER BH, ET AL. Correlation of structural elements and infectivity of the HET-s prion. Nature. 2005; 435:844-8.
43. WASMER C, LANGE A, VAN MELCKEBEKE H, SIEMER AB, RIEK R, MEIER BH. Amyloid fibrils of the HET-s(218-279) prion form a beta solenoid with a triangular hydrophobic core. Science. 2008;319:1523-6.
44. ANTZUTKIN ON, BALBACH JJ, LEAPMAN RD, RIZZO NW, REED J, TYCKO R. Multiple quantum solid-state NMR indicates a parallel, not antiparallel, organization of beta-sheets in Alzheimer's beta-amyloid fibrils. Proc Natl Acad Sci USA. 2000;97:13045-50.
45. TYCKO R. Molecular structure of amyloid fibrils: insights from solid-state NMR. Quart Revs Biophys. 2006;1:1-55
46. PETKOVA AT, YAU WM, TYCKO R. Experimental constraints on quaternary structure in Alzheimer's beta-amyloid fibrils. Biochemistry. 2006;45:498-512.
47. ANTZUTKIN ON, BALBACH JJ, TYCKO R. Site-specific identification of non-beta-strand conformations in Alzheimer's beta-amyloid fibrils by solid-state NMR. Biophys J. 2003;84:3326-35.
48. PARAVASTU AK, LEAPMAN RD, YAU WM, TYCKO R. Molecular structural basis for polymorphism in Alzheimer's -amyloid fibrils. Proc Natl Acad Sci USA. 2008; 105:18349-54.
49. ROSS ED, MINTON AP, WICKNER RB. Prion domains: sequences, structures and interactions. Nat Cell Biol. 2005;7:1039-44.
50. NICOLL AJ, PANICO S, FREIR DB, WRIGHT D, TERRY C, RISSE E, ET AL. Amyloid-ß nanotubes are associated with prion protein-dependent synaptotoxicity. Nat Commun. 2013;4:2416.
51. DERDOWSKI A, SINDI SS, KLAIPS CL, DISALVO S, SERIO TR. A size threshold limits prion transmission and establishes phenotypic diversity. Science. 2010;330:680-3.
52. PARK L, ZHOU J, ZHOU P, PISTICK R, EL JAMAL S, YOUNKIN L, ET AL. Innate Immunity receptor CD36 promotes cerebral amyloid angiopathy. Proc Natl Acad Sci U S A. 2013;110:3089-94. doi: 10.1073/pnas.1300021110.
53. PEGGION C, SORGATO MC, BERTOLI A. Prions and Prion-Like Pathogens in Neurodegenerative Disorders. Pathogens 2014;3:149-163; doi:10.3390/pathogens3010149.
54. COHEN SIA, AROSIO P, PRESTO J, KURUDENKANDY FR, BIVERSTAL H, DOLFE L, ET AL. A molecular chaperone braks the catalytic cycle that generate toxic AB oligomers. Nat Struct Mol Biol. 2015; Advanced publication doi:10.1038/nsmb.2971
55. ZHO M, OTTENBERG G, SFERRAZZA GF, HUBB C, FALLAHI M, RUMBAUGH G, ET AL. Neuronal death induced by misfolded prion protein is due to NAD+ deletion and can be relieved in vitro and in vivo by NAD+ replenishment. 2015; Advanced publication doi:10.1093/brain/awv002.
56. GJONESKA E, PFENNING AR, MATHYS H, QUON G, KUNDAJE A, TSAI LH, ET AL. Conserved epigenomic signals in mice and humans reveal immune basis of Alzheimer's disease. Nature. 2015; 518:365-72. doi:10.1038/nature14252.
57. GENEREUX JC, QU S, ZHOU MH, RYNO LM, WANG SY, SHOULDERS MD, ET AL. Embo J. 2015;31:4-19.