https://doi.org/10.22379/242240229
Caso clínico
Trombosis de senos venosos cerebrales asociado a síndrome antifosfolípidos en un paciente pediátrico
Cerebral sinovenous thrombosis associated with antiphospholipid syndrome in a pediatric patient
José Mauricio Chilatra Fonseca (1), Ives Teófilo Villamizar Schiller (2)
(1) Médico Interno. Universidad Autónoma de Bucaramanga - UNAB, Bucaramanga, Colombia.
(2) Neurólogo Pediatra. Fundación Cardiovascular de Colombia FCV, Bucaramanga, Colombia.
Recibido: 6/08/14. Aceptado: 11/02/15.
Correspondencia: José Mauricio Chilatra Fonseca: jchilatra@unab.edu.co
Resumen
La trombosis de senos venosos cerebrales es un evento relativamente infrecuente en la población pediátrica. Su origen se ha asociado a múltiples condiciones y factores de riesgo como infecciones locales o sistémicas, malformaciones cardíacas, trauma, deshidratación, enfermedades crónicas y, en especial, a factores genéticos protrombóticos. La localización puede variar dependiendo de la etiología; además, puede cursar con una amplia variabilidad de signos y síntomas dependiendo de la edad del paciente. Se presenta el caso de un paciente masculino de 5 años, que desde los 2 años de edad presenta episodios de cefalea y ataxia de forma intermitente, con autorresolución. Posterior a un evento presenta crisis tónico-clónica del hemicuerpo derecho, seguida de un estado epiléptico súper refractario.
En la neuroimagenes (RNM-angioresonancia) se evidencia trombosis de senos venosos cerebrales asociada a un accidente cerebrovascular isquémico en el globus pallidus, el mesencéfalo y los hemisferios cerebelosos. El paciente presenta el anticuerpo anticardiolipina IgM y es positivo para anticoagulante lúpico. Hematología y reumatología pediátrica confirman el diagnóstico de trombosis de senos venosos cerebrales secundario a síndrome antifosfolípidos. El paciente logra mejoría clínica con la implementación de inmunoterapia más anticoagulación.
Palabra clave: Trombosis de los Senos Intracraneales, Síndrome Antifosfolípido, Preescolar (DeCS).
Summary
Cerebral sinovenous thrombosis is a relatively rare disorder in the pediatric population, it has been associated with multiple conditions and risk factors such as local or systemic infections, cardiac malformations, trauma, dehydratation, chronic diseases and especially genetic prothrombotic factors. The location may vary depending on the etiology and may occur with a wide variability in symptoms and signs depending on the age of the patient. Case: 5 year-old male patient, with episodes of self-resolving headache and intermittent ataxia starting at 2 years of age. The patient later presents focal motor seizures, followed by a super refractory status epilepticus.
The magnetic resonance imaging (brain MRI and magnetic resonance angiography) shows evidence of a partial cerebral venous deep sinus thrombosis associated with ischemic stroke in globus pallidus, midbrain and cerebellar hemispheres. The patient is positive for IgM anticardiolipin antibody and lupus anticoagulant, where pediatric rheumatology and hematology confirmed diagnosis of cerebral venous sinus thrombosis secondary to antiphospholipid syndrome. Clinical improvement was achieved by implementing immunotherapy plus anticoagulation.
Key words. Intracranial Sinus Thrombosis, Antiphospholipid síndrome, Child Preschool(MeSH).
Introducción
La trombosis de senos venosos cerebrales (TSVC) es un evento relativamente infrecuente en la población pediátrica; tiene una incidencia estimada de 0.67 casos por 100,000 niños al año, y el periodo neonatal contribuye en primer lugar con una frecuencia del 40 % (1, 2). La localización puede variar dependiendo de la etiología, pero el seno transverso es el de mayor afectación, seguido del seno sagital superior y en menor proporción los senos del sistema venosos profundo. Estos últimos cursan con un potencial mayor de secuelas (3, 4). Su origen se ha asociado a múltiples condiciones y factores de riesgo como infecciones locales o sistémicas, malformaciones cardiacas, trauma, deshidratación, enfermedades crónicas (5); para la población pediátrica, en especial, los factores genéticos protromboticos desempeñan un papel importante. Entre los más destacados se encuentran las alteraciones en la actividad de la antitrombina III, proteína S y C, factor V de Leiden, anticoagulante lúpico, anticuerpos anticardiolipina y mutaciones en el gen G20210A- de la protrombina (6, 7).
La TSVC cursa con una gran variabilidad de signos y síntomas dependiendo de la edad del paciente. En la población neonatal se presentan manifestaciones inespecíficas como nauseas, emesis, alteración del estado de conciencia y convulsiones (8). En el resto de la población pueden cursar de forma aguda con convulsiones, cefalea, papiledema, emesis, déficit motor, alteración del estado de conciencia, falla respiratoria y otros déficit neurológicos focales (9). En algunos casos los pacientes pueden presentar un cuadro clínico subagudo cursando con cefalea crónica, letargia, vómito y anorexia por tres semanas o más (10).
El síndrome antifosfolípidos (SAF) es un trastorno autoinmune, caracterizado por manifestaciones clínicas de trombosis venosa y arterial, pérdidas fetales recurrentes y trombocitopenia, asociados a la presencia de anticuerpos antifosfolípidos. Estos últimos propician la activación de células y factores protrombóticos afectando en mayor proporción a la población femenina (11-13). El SAF se clasifica como primario si no se encuentra asociado a una enfermedad o como secundario si, está relacionado con una enfermedad de origen autoinmune principalmente.
PRESENTACIÓN DE CASO
Paciente masculino de 5 años, que desde los 2 años de edad presenta episodios de cefalea y ataxia de forma intermitente con auto-resolución de la ataxia de forma espontánea. El paciente es producto de la segunda gestación, nace en el hogar vía vaginal, con un peso al nacer de 3500gr. Proviene de Ocaña, Norte de Santander, y consultó por un cuadro de tres días de evolución que inició con presencia de aura, por visión de "arboles de colores", seguido de cefalea frontal severa, náuseas y emesis, asociados a un episodio convulsivo tónico-clónico del hemicuerpo derecho. Posteriormente, el paciente entra en estado epiléptico sin recuperación del estado de conciencia y con una mejoría parcial de movimientos; no presenta antecedentes personales de importancia. En los hallazgos de laboratorio inicial se evidencia uroanálisis, creatinina, BUN, hemograma y PCR entre los parámetros de normalidad; LCR: normal, negativo para neuroinfección. El paciente fue referido a la Fundación Cardiovascular de Colombia (FCVC) de la ciudad de Bucaramanga, donde se realiza un TAC de cráneo simple y con contraste, en el que se observa edema del hemisferio cerebral izquierdo de predominio cortical, área hipodensa a nivel del brazo posterior de capsula interna izquierda que se extiende hasta región talamica ipsilateral, con desviación de línea media. Al paso de medio de contraste, se evidenció un realce leve leptomeníngeo izquierdo y realce de vasos ganglio basales izquierdos, cisternas de la base permeables. Al examen físico se encontró al paciente en coma profundo, bajo sedación, pupilas isocóricas reactivas a la luz de 3mm, hipotonía generalizada, reflejos musculo tendinosos +/++++, retracciones distales en miembros inferiores. No hubo evidencia de deshidratación, hipotensión, infección en oído, mastoides y/o próximos. Al examen físico posterior al control del estado no-convulsivo superrefractario, se vio al paciente con los ojos abiertos, con escasa interacción con el medio, el paciente fijaba la mirada, mantuvo y hizo seguimiento visual parcial. Presentó oftalmoparesia difusa, diplejía facial, plejía de velo del paladar y cuadriparesia espástica con retracciones musculares en las 4 extremidades, con pérdida de todos los hitos del neurodesarrollo esperado para la edad.
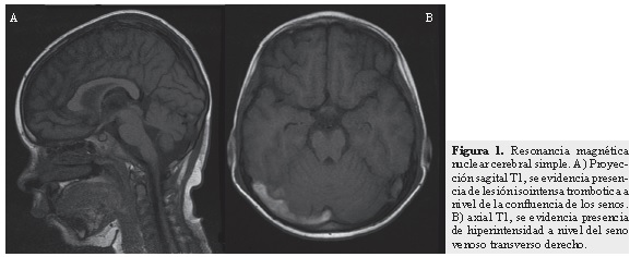
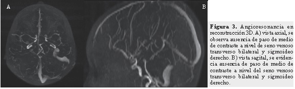
Se realizó Doppler arterial transcraneano y se encontraron, a nivel de arterias cerebrales medias, cambios compatibles con estado de hiperperfusión en las regiones izquierdas que pueden estar en relación con edema cerebral de ese lado. En la RNM cerebral simple y con gadolineo más angioresonancia se evidenció trombosis de senos venosos cerebrales profundos (parcial de seno longitudinal superior, completa de seno venoso transverso de predominio izquierdo, parcial a nivel de senos venosos sigmoideos y trombosis a nivel de la confluencia de los senos) (Figuras 1 y 3). Se evidenciaron accidentes cerebrovasculares (ACV) isquémicos venosos gangliobasales izquierdo y derecho, talámico izquierdo y hemisferios cerebelosos. Así mismo, se vio edema cortical en las regiones occipitales bilaterales y hemisférica izquierda por proceso de congestión venosa veno-capilar y se observaron áreas de necrosis laminar cortical fronto-parietales izquierdas. En la RMN cerebral de control hay evidencia de ACV isquémico en los globus pallidus bilaterales de mayor compromiso en región gangliobasal izquierda (Figura 2) y ACV isquémico en el mesencéfalo a nivel de los pedúnculos cerebrales de forma bilateral, sin evidencia de progresión de la trombosis con respecto a la RNM previa.



En la monitorización electroencefalográfica continua (EEGc) se observó presencia de estado eléctrico, por lo que el paciente fue llevado a coma barbitúrico. Con esto se logró la supresión eléctrica con evidencia de brotes ocasionales de complejos de polipunta/punta onda lenta generalizada de predominio izquierdo. Se continuó el manejo con tiopental por cinco días. Después se suspendió al lograr una disminución casi completa de las crisis clónicas focales del hemicuerpo derecho. Se continuó la politerapia anticonvulsivante con vigabatrina, levetiracetam, topiramato y ácido valpróico; se logró una mejoría en el estado de conciencia evidenciado por los siguientes factores: parpadeo, apertura ocular, ausencia de seguimiento visual (coma vigil), pupilas de 5mm, reflejos fotomotor y consensual negativos, ausencia de papiledema, ausencia de hemorragias retinianas, presencia de reflejo tusígeno y nauseoso presentes. En lo relacionado con el estado motor se observó cuadriparesia flácida con arreflexia músculo-tendinosa generalizada. En su evolución presentó crisis convulsivas clónicas del hemicuerpo derecho seguidas de una generalización tónico-clónica; posteriormente se presentan múltiples crisis parciales continuas o Síndrome De Kojewnikow. La video telemetría de 12 horas en la Unidad de Cuidados Iintensivos Pediátricos mostró la presencia de actividad continua interictal en el hemisferio izquierdo con una atenuación y lentificación severa de dicho hemisferio. Se registraron crisis clónicas continuas en el miembro superior derecho y movimientos clónicos de la cabeza a la derecha, con duración entre 3 y 16 minutos. En la telemetría de control realizada 19 días después, se evidenció la presencia clara de encefalopatía epiléptica continua y severa, con importante compromiso del trazado de fondo, por lo cual se dio inicio a la inmunoterapia con inmunoglobulina G endovenosa. Con este tratamiento se logró una mejoría parcial de las crisis con disminución en la frecuencia y severidad de más del 75%. Adicionalmente se continuó anticoagulación con enoxaparina y ácido acetil salicílico y presentó mioclonus distales como movimientos de liberación de tallo secundario a lesión mesencefálica.
Los resultados de paraclínicos reportaron ácido láctico, gases arteriales, actividad funcional de Proteínas C y S, Antitrombina III funcional, complemento sérico C3 Y C4, agregación plaquetaria, homocisteina sérica, serología, plasminogeno, factor XII, electroforesis de hemoglobina dentro de parámetros de normalidad. AC anticardiolipina IgM y anticoagulante lupico positivo. También reportaron: ANAS, Ac antiDNA, factor reumatoideo, estudio de mutaciones de factor V de Leyden y mutación gen de la protrombina G202210A como negativos. Se realizaron paraclínicos de control 4 meses después que mostraron anticoagulante lúpico y anticardiolipina IgM positivos, por lo que hematología y reumatología pediátrica confirmaron el diagnóstico de trombosis de senos venosos cerebrales secundario a un síndrome antifosfolípidos.
Discusión
La TSVC es un evento cerebrovascular con una muy baja incidencia en la población pediátrica, siendo más frecuente en recién nacidos, con un índice de 40% (14, 15). Dentro de los factores de riesgo asociados en la población pediátrica se encuentran la deshidratación, sepsis, complicaciones perinatales, infecciones en cabeza y cuello, anemia por deficiencia de hierro, enfermedades sistémicas agudas, enfermedades crónicas, alteraciones protromboticas como mutaciones en el factor V de Leiden y Gen G20210A de la protrombina, anticuerpos anticardiolipina, anticoagulante lúpico, alteración en la actividad de la antitrombina III, y proteína C y S (16-18).
En este paciente llama la atención el antecedente de eventos paroxísticos de cefalea y ataxia que se resuelven espontáneamente con una duración de los eventos de 2 a 4 horas, y que inician a los dos años de edad. Por estos motivos, que creemos que correspondían a eventos vasculares tipo AIT de tipo arterial. Durante el evento neurológico severo, el paciente debutó con un estado epiléptico súper refractario para el que se inició manejo de inmunoterapia (inmunoglobulina G), logrando una disminución en la severidad y la frecuencia de las crisis. Es importante recordar que en los pacientes pediátricos el riesgo de recurrencia de trombosis es mayor durante los primeros 6 meses si el primer evento trombótico se diagnostica después de los 2 años de edad; esto corresponde al caso anteriormente descrito (19).
Encontramos que el pronóstico de los pacientes con TSVC es variable; la mortalidad oscila en un 10% y el coma se considera un predictor de muerte. Las secuelas y déficit neurológicos están presentes entre un 17% y un 79% de los pacientes y estos cuentan con mal pronóstico si presentan compromisos de múltiples vasos, convulsiones y lesiones parenquimatosas (2, 15). Además se ha evidenciado que en la población pediátrica la alteración en el estado cognitivo y el comportamiento tienen un gran impacto en la calidad de vida (20). Por esto decimos que en términos generales que la trombosis venosa cerebral, especialmente la de los senos venosos cerebrales profundos, es de muy mal pronóstico neurológico en niños.
El SAF es una causa rara de TSVC en preescolares. Encontramos que en la población pediátrica el SAF primario representa el 49,5% comparado con un 53-57% en población adulta (21). En pediatría, el diagnostico de SAF se establece con mayor frecuencia en pacientes con eventos trombóticos (22), en donde la trombosis venosa es la más frecuente en un 43%-60%, seguida de la trombosis arterial 32-39%, la trombosis de pequeños vasos 6% y la trombosis mixta arterial y venosa en un 2%. Entre estos eventos trombóticos, la trombosis venosa profunda en miembros inferiores es la que se presenta con una mayor frecuencia en un 40% y en el caso de la TSVC solo se presenta en un 7% (21, 23).
Es de resaltar que nuestro paciente presentó anticoagulante lúpico y anticardiolipina IgM positivo en varias tomas, por lo cual hematología y reumatología pediátrica confirmaron el diagnóstico de SAF primario. En este caso es importante notar que los niños que cursan con anticoagulante lúpico están en un mayor riesgo de trombosis, principalmente en el sistema venoso (24). Además, es necesario recordar que en la clínica de los pacientes con SAF pueden presentar manifestaciones no clásicas; dentro de las más frecuentes se encuentran las manifestaciones hematológicas 39%, trastornos cutáneos 25% y alteraciones neurológicas no trombóticas en un 16% (22).
Finalmente, queremos hacer hincapié en que en el estudio tanto de la cefalea intermitente como de los eventos paroxísticos de la infancia, se deben siempre tener en cuenta la etiología de patologías de origen vascular o enfermedades del tejido conectivo en niños y en adolescentes. Así, será posible realizar su respectiva valoración con las ayudas diagnósticas más acordes al caso.
Conflicto de intereses
Los autores declaran no tener conflicto de intereses.
Referencias
1. HEDLUND GL. Cerebral sinovenous thrombosis in pediatric practice. Pediatr Radiol (2013) 43:173-188.
2. JACKSON BF, PORCHER FK, ZAPTON DT, LOSEK JD. Cerebral Sinovenous Thrombosis in Children Diagnosis and Treatment. Pediatr Emer Care 2011; 27: 874-883.
3. MENASCU S, LOTAN A, BEN ZEEV B, NOWAK-GOTTL U, KENET G. Cerebral Venous Thrombosis in the Mediterranean Area in Children. Mediterr J Hematol Infect Dis 2011; 3.
4. VIEIRA JP, LUIS C, MONTEIRO JP, TEMUDO T, CAMPOS MM, QUINTAS S, ET AL. Cerebral sinovenous thrombosis in children: clinical presentation and extension, localization and recanalization of thrombosis. Eur J Paediatr Neurol 2010 Jan; 14 (1): 80-5.
5. CARVALHO KS, BODENSTEINER JB, CONNOLLY PJ, GARG BP. Cerebral venous thrombosis in children. J Child Neurol. 2001, Aug; 16(8):574-80.
6. DEVEBER G, ANDREW M, ADAMS C, BJORNSON B, BOOTH F, BUCKLEY DJ, ET AL. Cerebral sinovenous thrombosis in children. N Engl J Med 2001; 345:417-23.
7. KENET G, WALDMAN D, LUBETSKY A, KORNBRUT N, KHALIL A, KOREN A, ET AL. Paediatric cerebral sinus vein thrombosis. Thromb Haemost 2004; 92:713-8.
8. JONAS KIMCHI T, LEE SK, AGID R, SHROFF M, TER BRUGGE KG. Cerebral sinovenous thrombosis in children. Neuroimaging Clin N Am. 2007, May; 17(2):239-44.
9. HELLER C, HEINECKE A, JUNKER R, KNÖFLER R, KOSCH A, KURNIK K ET AL. Cerebral Venous Thrombosis in Children A Multifactorial Origin. Circulation. 2003; 108:1362-1367.
10. SEBIRE G, TABARKI B, SAUNDERS DE, LEROY I, LIESNER R, SAINT-MARTIN C ET AL. Cerebral venous sinus thrombosis in children: risk factors, presentation, diagnosis and outcome. Brain 2005; 128: 477-489.
11. RUIZ-IRASTORZA G, CROWTHER M, BRANCH W, KHAMASHTA MA. Antiphospholipid syndrome. Lancet. 2010, Oct, 30; 376(9751):1498-509.
12. GIANNAKOPOULOS B, KRILIS SA. The pathogenesis of the antiphospholipid syndrome. N engl J Med 2013; 368:1033-44.
13. Committee on Practice Bulletins-Obstetrics. Practice Bulletin No. 132: Antiphospholipid syndrome. Obstet Gynecol. 2012, Dec; 120(6):1514-21.
14. CUMURCIUC R, CRASSARD I, SAROV M, VALADE D, BOUSSER MG. Headache as the only neurological sign of cerebral venous thrombosis: a series of 17 cases. J Neurol Neurosurg Psychiatry 2005; 76:1084-1087.
15. DLAMINI N, BILLINGHURST L, KIRKHAMBFJ. Cerebral venous sinus (sinovenous) thrombosis in children. am. 2010; 21(3-5): 511-527.
16. ESTEY A, LYNCH T, LIM RK. Cerebral Sinovenous Thrombosis Masquerading as Migraine. Pediatr Emer Care 2009; 25: 174-176.
17. CARPENTER J, TSUCHIDA T. Cerebral sinovenous thrombosis in children. Curr Neurol Neurosci Rep. 2007, Mar; 7(2):139-46.
18. VIELHABER H, EHRENFORTH S, KOCH HG, SCHARRER I, VAN DER WERF N, NOWAK-GÖTTL U. Cerebral venous sinus Thrombosis in infancy and childhood: role of genetic and acquired risk factors of thrombophilia. Eur J Pediatr. 1998, Jul; 157(7):555-60.
19. KENET G, KIRKHAM F, NIEDERSTADT T, HEINECKE A, SAUNDERS D, STOLL M ET AL. Risk factors for recurrent venous thromboembolism in the European collaborative paediatric database on cerebral venous thrombosis: a multicentre cohort study. Lancet Neurol 2007; 6: 595-603.
20. FRIEFELD SJ, WESTMACOTT R, MACGREGOR D, DEVEBER GA. Predictors of quality of life in pediatric survivors of arterial ischemic stroke and cerebral sinovenous thrombosis. J Child Neurol. 2011, Sep; 26(9):1186-92.
21. AVCIN T, ROLANDO CIMAZ R, SILVERMAN ED, CERVERA R, GATTORNO M, GARAY S, ET AL. Pediatric Antiphospholipid Syndrome: Clinical and Immunologic Features of 121 Patients in an International Registry. Pediatrics 2008; 122:e1100-1107.
22. AVCIN T. Antiphospholipid syndrome in children. Curr Opin Rheumatol. 2008, Sep; 20(5):595-600.
23. BERKUN Y, PADEH S, BARASH J, UZIEL Y, HAREL L, MUKAMEL M, ET AL. Antiphospholipid Syndrome and Recurrent Thrombosis in Children. Arthritis Care & Research 2006, Dec; 55 (6): 850-855.
24. PARKER RI. Thrombosis in the pediatric population. Crit Care Med 2010; 38 (Suppl.):S71-S75.