<?xml version="1.0" encoding="utf-8"?>
<!DOCTYPE article PUBLIC "-//EDP//DTD EDP Publishing JATS v1.0 20130606//EN" "JATS-edppublishing1.dtd">
<article article-type="case-report" dtd-version="1.0" specific-use="sps-1.6" xml:lang="es" xmlns:mml="http://www.w3.org/1998/Math/MathML" xmlns:xlink="http://www.w3.org/1999/xlink">
	<front>
		<journal-meta>
			<journal-id journal-id-type="publisher-id">anco</journal-id>
			<journal-title-group>
				<journal-title>Acta Neurológica Colombiana</journal-title>
				<abbrev-journal-title abbrev-type="publisher">Acta Neurol Colomb.</abbrev-journal-title>
			</journal-title-group>
			<issn pub-type="ppub">0120-8748</issn>
			<publisher>
				<publisher-name>Asociación Colombiana de Neurología</publisher-name>
			</publisher>
		</journal-meta>
		<article-meta>
			<article-id pub-id-type="doi">10.22379/24224022155</article-id>
			<article-categories>
				<subj-group subj-group-type="heading">
					<subject>Caso clínico</subject>
				</subj-group>
			</article-categories>
			<title-group>
				<article-title>Síndrome de Opalski, una variante del síndrome de Wallenberg: reporte de caso y revisión de la literatura</article-title>
				<trans-title-group xml:lang="en">
					<trans-title>Opalski Syndrome, a variant of Wallenberg Syndrome: Case report and literature review</trans-title>
				</trans-title-group>
			</title-group>
			<contrib-group>
				<contrib contrib-type="author">
					<name>
						<surname>Navarro Castro</surname>
						<given-names>Cristian E.</given-names>
					</name>
					<xref ref-type="aff" rid="aff1"><sup>(1)</sup></xref>
					<xref ref-type="corresp" rid="c1"><sup>*</sup></xref>
				</contrib>
				<contrib contrib-type="author">
					<name>
						<surname>Macea Ortiz</surname>
						<given-names>Jaiver</given-names>
					</name>
					<xref ref-type="aff" rid="aff2"><sup>(2)</sup></xref>
				</contrib>
			</contrib-group>
			<aff id="aff1">
				<label>(1)</label>
				<institution content-type="original"> Médico residente, Unidad de Neurología, Departamento de Medicina, Universidad Nacional de Colombia, Colombia</institution>
				<institution content-type="normalized">Universidad Nacional de Colombia</institution>
				<institution content-type="orgname">Universidad Nacional de Colombia</institution>
				<country country="CO">Colombia</country>
			</aff>
			<aff id="aff2">
				<label>(2)</label>
				<institution content-type="original"> Neurólogo clínico, Hospital Universitario Nacional de Colombia, Colombia</institution>
				<institution content-type="orgname">Hospital Universitario Nacional de Colombia</institution>
				<country country="CO">Colombia</country>
			</aff>
			<author-notes>
				<corresp id="c1">
					<label>*</label>Correspondencia: Cristian Eduardo Navarro Castro, <email>cenavarroc@unal.edu.co</email>
				</corresp>
				<fn fn-type="conflict" id="fn2">
					<label>Conflicto de intereses</label>
					<p> Los autores manifiestan no tener conflictos de intereses en este estudio.</p>
				</fn>
			</author-notes>
			<pub-date pub-type="epub-ppub">
				<season>Jul-Sep</season>
				<year>2017</year>
			</pub-date>
			<volume>33</volume>
			<issue>3</issue>
			<fpage>182</fpage>
			<lpage>187</lpage>
			<history>
				<date date-type="received">
					<day>26</day>
					<month>02</month>
					<year>2017</year>
				</date>
				<date date-type="accepted">
					<day>22</day>
					<month>08</month>
					<year>2017</year>
				</date>
			</history>
			<permissions>
				<license license-type="open-access" xlink:href="http://creativecommons.org/licenses/by-nc-nd/4.0/" xml:lang="es">
					<license-p>Este es un artículo publicado en acceso abierto bajo una licencia Creative Commons</license-p>
				</license>
			</permissions>
			<abstract>
				<title>RESUMEN</title>
				<p>Se presenta un caso local de la variante de Opalski, del síndrome medular lateral (síndrome de Wallenberg) y se hace una revisión de la literatura sobre los síntomas de este cuadro clínico, así como las posibles razones que explican esta modificación en la expresión clínica. La variante de Opalski fue descrita en 1948, ochenta y nueve años después de la descripción original del síndrome por Adolf Wallenberg, su principal característica es la presencia de hemiparesia o hemiplejía del cuerpo del mismo lado de la lesión del bulbo raquídeo. La etiología es vascular en la mayoría de casos, por obstrucción de la arteria cerebelosa postero-inferior o de los ostium de vasos penetrantes que se originan en la arteria. No hay estudios que reporten la incidencia exacta de este cuadro clínico a nivel mundial, sin embargo, su presentación no es tan infrecuente. Lo más interesante al analizar cada caso, es que los hallazgos semiológicos son una muestra de la profunda organización del sistema nervioso.</p>
			</abstract>
			<trans-abstract xml:lang="en">
				<title>SUMMARY</title>
				<p>A clinical case of the Opalski variant of the lateral medullary syndrome (Wallenberg's syndrome) is presented and a literature review about the symptoms of this clinical picture is done, as well as the possible reasons explaining this modification in the clinical expression. The Opalski variant was described in 1948, eighty-nine years after the original description of the syndrome by Adolf Wallenberg, its main feature is the presence of hemiparesis or hemiplegia of the ipsilateral side of the injury in the medulla oblongata. In most cases the etiology is vascular when the postero-inferior cerebellar artery is occluded or there is an obstruction of the ostium of penetrating vessels originating in the artery. There are no studies that accurately report the worldwide incidence of this clinical variant, however, its presentation is not uncommon. The most interesting discovery of each case is that semiological findings are a good example of the profound organization of the nervous system.</p>
			</trans-abstract>
			<kwd-group xml:lang="es">
				<title>PALABRAS CLAVES:</title>
				<kwd>arteria vertebral</kwd>
				<kwd>bulbo raquídeo</kwd>
				<kwd>fosa craneal posterior</kwd>
				<kwd>infarto cerebral</kwd>
				<kwd>síndrome medular lateral (DeCS)</kwd>
			</kwd-group>
			<kwd-group xml:lang="en">
				<title>KEY WORDS:</title>
				<kwd>Vertebral artery</kwd>
				<kwd>medulla oblongata</kwd>
				<kwd>posterior cranial fossa</kwd>
				<kwd>cerebral infarction</kwd>
				<kwd>lateral medullary syndrome (MeSH)</kwd>
			</kwd-group>
			<counts>
				<fig-count count="8"/>
				<table-count count="1"/>
				<equation-count count="0"/>
				<ref-count count="17"/>
				<page-count count="6"/>
			</counts>
		</article-meta>
	</front>
	<body>
		<sec sec-type="intro">
			<title>INTRODUCCIÓN</title>
			<p>El síndrome de Wallenberg o síndrome medular lateral se produce por un infarto lacunar de la porción dorsal lateral del bulbo raquídeo, fue descrito por Adolf Wallenberg en un paciente en el cual observó la presentación de 3 signos clínicos: hemianestesia cruzada, ataxia cerebelosa y parálisis bulbar. Se ha postulado desde entonces que la causa del cuadro es la oclusión de la arteria cerebelosa postero-inferior; pero con la información actual provista por estudios de necropsia se ha determinado que la arteria comprometida no siempre es la anteriormente mencionada e incluso se ha documentado que la lesión causante puede ser diferente a una oclusión vascular. Actualmente se reconoce que el espectro clínico es variable y no se observa siempre la presencia de la triada descrita originalmente, incluso se han descrito dos variables poco frecuentes, el síndrome de Opalski y el síndrome de Babinski-Nageotte, los cuales se diferencian por el lado en el que se observa el déficit motor del individuo.</p>
			<p>A continuación se presenta el caso de un paciente con un cuadro del síndrome de Opalski, se revisa las potenciales causas y la semiología del cuadro.</p>
		</sec>
		<sec sec-type="cases">
			<title>Presentación del caso</title>
			<p>Hombre de 50 años de edad que ingresa a la institución de salud consultando por cuadro clínico que inicia 3 días antes consistente en vértigo rotatorio asociado a emesis en seis oportunidades, sensación de inestabilidad cuando está sentado y al caminar, además de disfonía e imposibilidad para deglutir líquidos y sólidos. Los síntomas iniciaron de forma súbita posterior a un giro brusco de la cabeza a la derecha mientras realizaba actividad física. Concomitante con el inicio de los síntomas, tuvo cefalea hemicraneana izquierda de tipo punzada y tirante, intermitente, que mejoró con la toma de ibuprofeno, no presentó síntomas visuales o sensitivos ni limitación de la actividad física. Desde el día previo al ingreso observó que la mitad izquierda de la cara no sudaba y presentaba visión borrosa por el ojo ipsilateral. Como único antecedente, el paciente presenta hipertensión arterial sin tratamiento, diagnosticada 2 años antes del ingreso, niega fumar tabaco, ser diabético o tomar algún tipo de medicamento de uso crónico.</p>
			<p>En la valoración inicial en el servicio de urgencias, presenta los siguientes signos vitales: presión arterial de 142/92 mmHg, frecuencia cardiaca de 73/minuto, frecuencia respiratoria de 18/minuto, saturación de oxígeno de 93 % al ambiente. Tuvo un examen cardiopulmonar, abdominal y osteomuscular normal.</p>
			<p>Al examen físico neurológico a nivel de pares craneanos se halló pupila derecha de 4 mm normorreactiva e izquierda de 2 mm fija, enoftalmos izquierdo, hipoestesia hemicara izquierda y anhidrosis, simetría facial, elevación simétrica del velo del paladar, disfonía. En el examen sensitivo-motor se evidenció hipoestesia al tacto superficial y dolor del hemicuerpo derecho con fuerza 5/5, en el hemicuerpo izquierdo fuerza 4+/5 proximal y 4/5 distal con respuesta plantar indiferente. El examen cerebeloso detectó dismetría izquierda de rápida corrección y disdiadococinesia izquierda leve, sin disartria y con latero-pulsión izquierda y ataxia; el signo de Romberg era no concluyente.</p>
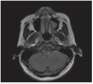
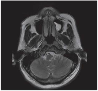
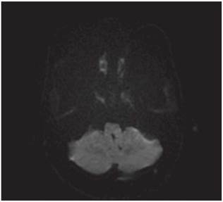
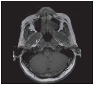
			<p>Los estudios de hemograma, nitrógeno ureico, creatinina, glucemia y electrolitos se encontraron dentro de los rangos normales, el perfil lipídico mostró: colesterol total 160 mg/dl, colesterol HDL 50 mg/dl, colesterol LDL 89,8 mg/dl, triglicéridos 101 mg/dl. La tomografia de cráneo simple no mostró sangrado ni signos de isquemia. Se realizó una resonancia magnética cerebral simple que permitió evidenciar en las secuencias de T2 y FLAIR <italic>(Fluid Attenuation Inversion Recovery)</italic> una zona de hiperintensidad de señal a nivel del bulbo raquídeo en la región dorso-lateral caudal izquierda que es hipointensa en T1 (<xref ref-type="fig" rid="f1">figuras 1</xref>,<xref ref-type="fig" rid="f2">2</xref>,<xref ref-type="fig" rid="f3">3</xref>,<xref ref-type="fig" rid="f4">4</xref>). En la secuencia de difusión se observa restricción de la misma en la zona descrita con fenómeno de pseudonormalización al igual que en el mapa ADC <italic>(Apparent Coefficient Diffusion}</italic> (<xref ref-type="fig" rid="f5">figuras 5</xref>,<xref ref-type="fig" rid="f6">6</xref>). Los anteriores hallazgos se interpretaron como compatibles con un infarto bulbar lateral izquierdo.</p>
			<p>
				<fig id="f1">
					<label>Figura 1</label>
					<caption>
						<title>Secuencia T2 de resonancia magnética cerebral en corte axial</title>
					</caption>
					<graphic xlink:href="https://actaneurologica.com/index.php/anc/article/download/1169/642/6093"/>
				</fig>
			</p>
			<p>
				<fig id="f2">
					<label>Figura 2</label>
					<caption>
						<title>Secuencia T2 de resonancia magnética cerebral en corte coronal</title>
					</caption>
					<graphic xlink:href="https://actaneurologica.com/index.php/anc/article/download/1169/642/6094"/>
				</fig>
			</p>
			<p>
				<fig id="f3">
					<label>Figura 3</label>
					<caption>
						<title>Secuencia FLAIR de resonancia magnética cerebral en corte axial</title>
					</caption>
					<graphic xlink:href="https://actaneurologica.com/index.php/anc/article/download/1169/642/6095"/>
				</fig>
			</p>
			<p>
				<fig id="f4">
					<label>Figura 4</label>
					<caption>
						<title>Secuencia T1 de resonancia magnética cerebral en corte axial</title>
					</caption>
					<graphic xlink:href="https://actaneurologica.com/index.php/anc/article/download/1169/642/6096"/>
				</fig>
			</p>
			<p>
				<fig id="f5">
					<label>Figura 5</label>
					<caption>
						<title>Secuencia difusión de resonancia magnética cerebral en corte axial</title>
					</caption>
					<graphic xlink:href="https://actaneurologica.com/index.php/anc/article/download/1169/642/6097"/>
				</fig>
			</p>
			<p>
				<fig id="f6">
					<label>Figura 6</label>
					<caption>
						<title>Secuencia mapa ADC de resonancia magnética cerebral en corte axial.</title>
					</caption>
					<graphic xlink:href="https://actaneurologica.com/index.php/anc/article/download/1169/642/6098"/>
				</fig>
			</p>
			<p>Se inició tratamiento de antiagregación plaquetaria con ácido acetilsalicílico 100 mg/día, así como esquema de alta intensidad de estatina con atorvastatina 80 mg/ día. Teniendo en cuenta el grupo etario del paciente, se realizaron estudios adicionales y se descartó un estado de hipercoagulabilidad, de aumento de la agregabilidad plaquetaria y de vasculitis; se realizó la panangiografía cerebral de 4 vasos y no se evidenció lesión arterial según la lectura de radiología (las imágenes no fueron entregadas al paciente por el centro de diagnóstico radiológico).</p>
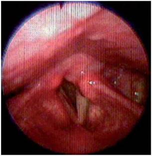
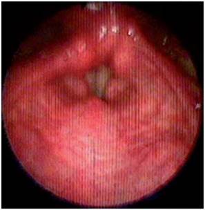
			<p>El paciente paulatinamente presentó mejoría de la visión borrosa y principalmente de la disfagia y vértigo, hacia la semana siguiente ya podía alimentarse sin dificultad y mejoró la fuerza del hemicuerpo izquierdo completamente. Se dio egreso del hospital solo con leve disfonía, anhidrosis hemicara izquierda y marcha atáxica leve lográndose desplazar con bastón. En el seguimiento, luego de 1 y 3 meses posterior al inicio de los síntomas, el paciente retornó a su estado funcional previo y solo persistió con disfonía, la cual se explicó por la parálisis de la cuerda vocal izquierda que se confirmó por estudio de nasofibrolaringoscopia (<xref ref-type="fig" rid="f7">figuras 7</xref>,<xref ref-type="fig" rid="f8">8</xref>). El paciente dio su consentimiento para realizar la publicación de su caso.</p>
			<p>
				<fig id="f7">
					<label>Figura 7</label>
					<caption>
						<title>Nasofibrolaringoscopia, glotis cerrada</title>
					</caption>
					<graphic xlink:href="https://actaneurologica.com/index.php/anc/article/download/1169/642/6099"/>
				</fig>
			</p>
			<p>
				<fig id="f8">
					<label>Figura 8</label>
					<caption>
						<title>Nasofibrolaringoscopia, glotis abierta con ubicación de cuerda vocal izquierda en línea media.</title>
					</caption>
					<graphic xlink:href="https://actaneurologica.com/index.php/anc/article/download/1169/642/6100"/>
				</fig>
			</p>
		</sec>
		<sec sec-type="discussion">
			<title>DISCUSIÓN</title>
			<p>El síndrome de Wallenberg o síndrome medular lateral se produce por un infarto lacunar de la porción dorsal lateral del bulbo raquídeo que puede afectarlo en toda su extensión e incluso puede presentarse concomitantemente con infarto hemisférico cerebeloso en su porción posterior e inferior. Fue descrito por primera vez en 1895 por Adolf Wallenberg, neurólogo alemán <xref ref-type="bibr" rid="B1"><sup>1</sup></xref><sup>,</sup><xref ref-type="bibr" rid="B2"><sup>2</sup></xref> en un único paciente. Basándose en el caso postuló la triada clínica del síndrome compuesta por: hemianestesia cruzada, ataxia cerebelosa y parálisis bulbar <xref ref-type="bibr" rid="B3"><sup>3</sup></xref>. Unos años después, cuando el paciente falleció por broncoaspiración secundaria a la disfagia severa, el Dr. Wallengberg realizó la autopsia y halló que la causa fue la oclusión de la arteria cerebelosa postero-inferior (PICA por sus siglas en inglés), con lo cual durante muchos años se determinó que esta era la causa principal del síndrome. De acuerdo a diferentes reportes de caso <xref ref-type="bibr" rid="B4"><sup>4</sup></xref> se ha podido determinar una frecuencia variable de causas por medio de estudios de angioresonancia cerebral y cervical y arteriografía convencional; dentro de éstas, el infarto de origen aterotrombótico corresponde con el 44 % de los casos, disección de la arterial vertebral 22 %, enfermedad de pequeño vaso penetrante 18 % y cardioembólico 6,5 %; se debe tener en cuenta que de acuerdo al grupo etario las incidencias cambian, ya que en pacientes menores de 50 años con trauma cervical, la disección de la arteria se vuelve más frecuente. Por otro lado, si en la resonancia cerebral no hay lesión cerebelosa concomitante, es muy probable que la causa sea la oclusión de una arteria perforante al bulbo raquídeo cuyo ostium se ubique en la arteria vertebral o en la cerebelosa postero-inferior, lo anterior siendo más frecuente en pacientes mayores de 50 años con factores de riesgo como diabetes mellitus, tabaquismo e hipertensión arterial. En cuanto a la disección arterial se ha determinado que el origen del infarto no es propiamente un fenómeno embolico, si no la oclusión de los ostium de las arterias penetrantes en el momento en que la pared se lesiona.</p>
			<p>La manifestación clínica es variada dentro de un espectro de hallazgos clínicos que se determinan según la extensión del infarto bulbar (<xref ref-type="table" rid="t1">tabla 1</xref>); entre los principales síntomas están las náuseas y emesis 88 %, ataxia 88 %, síndrome de Horner 88 %, nistagmo 71 %, emesis 65 %, disfagia 62 %, disfonía 41 % <xref ref-type="bibr" rid="B5"><sup>5</sup></xref>.</p>
			<p>
				<table-wrap id="t1">
					<label>Tabla 1</label>
					<caption>
						<title>Manifestación clínica de cada una de las estructuras lesionadas en el síndrome medular lateral.</title>
					</caption>
					<graphic xlink:href="https://actaneurologica.com/index.php/anc/article/download/1169/642/6101"/>
				</table-wrap>
			</p>
			<p>El diagnóstico se basa en la historia clínica con una anamnesis completa, adecuado y detallado examen físico neurológico y el apoyo de imágenes diagnósticas como resonancia cerebral simple con secuencia de difusión y mapa ADC (Apparent Coefficient Diffusion). Para determinar la lesión vascular es importante la ayuda de angiografía por tomografía o resonancia magnética, así como por método convencional, siendo este último el método más importante y eficiente puesto que evidencia la ateromatosis de los vasos y la amputación de las ramas arteriales que dependen de la pared disecada.</p>
			<p>Una de las variantes del síndrome medular lateral, es el síndrome de Opalski cuya incidencia no es reportada pero que en la práctica clínica no es infrecuente verla. fue descrito inicialmente por Adam Opalski, neurólogo polaco en 1948 <xref ref-type="bibr" rid="B6"><sup>6</sup></xref><sup>,</sup><xref ref-type="bibr" rid="B7"><sup>7</sup></xref>, se presenta con síntomas y signos similares a los ya descritos previamente, pero en el paciente además se evidencia hemiparesia o hemiplejía que es ipsilateral a la lesión bulbar <xref ref-type="bibr" rid="B8"><sup>8</sup></xref>. Se han planteado diferentes hipótesis para explicar este fenómeno: 1. Lesión de fibras cortico-espinales que no se decusan en las pirámides; 2. Extensión caudal del infarto y por consiguiente lesión de fibras cortico-espinales ya decusadas <xref ref-type="bibr" rid="B9"><sup>9</sup></xref><sup>-</sup><xref ref-type="bibr" rid="B12"><sup>12</sup></xref>; 3. Hipotonía muscular por lesión del tracto espino-cerebeloso; siendo la más plausible la segunda como lo demuestran algunos estudios por resonancia magnética con secuencias de tensor de difusión y anisotropía fraccional. Las causas son similares a las descritas para el síndrome medular lateral puro <xref ref-type="bibr" rid="B13"><sup>13</sup></xref><sup>-</sup><xref ref-type="bibr" rid="B15"><sup>15</sup></xref>, y pocas veces se documenta infarto cerebeloso asociado <xref ref-type="bibr" rid="B16"><sup>16</sup></xref>.</p>
			<sec>
				<title>Correlación clínica</title>
				<p>El paciente se caracterizó por tener principalmente dis-fagia, disfonía, vértigo, ataxia y hemiparesia ipsilateral, las cuales rápidamente mejoraron, siendo llamativo la ausencia de nistagmo el cual se reporta en una incidencia importante. El estudio por resonancia magnética se logró realizar 1 semana posterior al inicio de los síntomas, lo cual generó la limitante de observar pseudo-normalización en la secuencia DWI (Diffusion Weighted Imaging) y por ende ausencia de una clara restricción de la difusión. En el T2 corte coronal se puede ver extensión hacia zonas caudales de la unión bul-bomedular, lo cual explicaría por qué presentó compromiso del tracto cortico-espinal siendo la primera causa, la lesión de las fibras ya decusadas provenientes del hemisferio contrala-teral ya sea por isquemia o por efecto de masa por el edema adyacente, este hallazgo se correlaciona con lo mayormente reportado en otras publicaciones. Un elemento importante en el paciente fue el inicio súbito de los síntomas posterior a realizar una rotación brusca del cuello con dolor cervical asociado, lo cual debe ubicar al clínico en un contexto cuya principal etiología a estudiar sea la disección cervical dada además la ausencia de factores de riesgo cardiovasculares y la edad cercana a los 50 años, sin embargo, en una angiografía convencional tomada 3 semanas después, no se evidenció esta etiología según lo informado por radiología. A pesar del compromiso motor, no todos los pacientes que cursan con síndrome de Opalski tienen una afectación marcada de la funcionalidad e independencia <xref ref-type="bibr" rid="B17"><sup>17</sup></xref> y la debilidad evidenciada es leve y transitoria permitiendo su recuperación hasta el 100 % previo, como se observó en este caso. Por otro lado, es importante evitar complicaciones tempranas como la broncoaspiración y neumonitis secundaria y, por ende, se hace imperativo plantear desde el ingreso de estos pacientes una vía alterna de alimentación a través de sonda naso u orogástrica o gastrostomía mientras se lleva a cabo el proceso de rehabilitación de la disfagia de forma paralela.</p>
				<p>Casos como este realmente no son infrecuentes como lo anotan las publicaciones extranjeras; se hace necesario informar su incidencia y caracterizar sus causas, así como su evolución clínica, para que con esta información se pueda aportar al conocimiento sobre las diversas formas de presentación del ataque cerebro vascular y se piense en otros diagnósticos diferenciales.</p>
			</sec>
		</sec>
		<sec sec-type="conclusions">
			<title>CONCLUSIONES</title>
			<p>El síndrome de Opalski es una variante del síndrome medular lateral faltando aún determinar su incidencia en la población. Los síntomas y signos que presentan son cruciales para el diagnóstico y el uso de imágenes diagnósticas y estudios de extensión contribuye en aclarar la etiología, estos deben hacerse en la mayor brevedad posible. La principal característica del síndrome es la hemiparesia o hemiplejía ipsilateral al lado de la lesión, con lo cual se hace el diagnóstico de la variante respecto a la forma clásica del síndrome de Wallenberg. Su abordaje diagnóstico no cambia y el plan terapéutico variará según el compromiso clínico y las necesidades del paciente.</p>
		</sec>
	</body>
	<back>
		<ref-list>
			<title>REFERENCIAS</title>
			<ref id="B1">
				<label>1</label>
				<mixed-citation>1. Wallenberg A. Anastomischer befund in rinen als &quot;acute bulbar affection (embolie der art. cerebellar. post. inf. sinister)?&quot; beschriebenen falle. Arch Psychiatr Nervenkr. 1901;34 923-59.</mixed-citation>
				<element-citation publication-type="journal">
					<person-group person-group-type="author">
						<name>
							<surname>Wallenberg</surname>
							<given-names>A</given-names>
						</name>
					</person-group>
					<article-title>Anastomischer befund in rinen als &quot;acute bulbar affection (embolie der art. cerebellar. post. inf. sinister)?&quot; beschriebenen falle</article-title>
					<source>Arch Psychiatr Nervenkr</source>
					<year>1901</year>
					<volume>34</volume>
					<fpage>923</fpage>
					<lpage>959</lpage>
				</element-citation>
			</ref>
			<ref id="B2">
				<label>2</label>
				<mixed-citation>2. Zeidman LA, Mohan L. Adolf Wallenberg: giant in neurology and refugee from Nazi Europe. J Hist Neurosci. 2014;23(1):31-44. <ext-link ext-link-type="uri" xlink:href="http://dx.doi.org/10.1080/0964704X.2013.786295">http://dx.doi.org/10.1080/0964704X.2013.786295</ext-link></mixed-citation>
				<element-citation publication-type="journal">
					<person-group person-group-type="author">
						<name>
							<surname>Zeidman</surname>
							<given-names>LA</given-names>
						</name>
						<name>
							<surname>Mohan</surname>
							<given-names>L</given-names>
						</name>
					</person-group>
					<article-title>Adolf Wallenberg: giant in neurology and refugee from Nazi Europe</article-title>
					<source>J Hist Neurosci</source>
					<year>2014</year>
					<volume>23</volume>
					<issue>1</issue>
					<fpage>31</fpage>
					<lpage>44</lpage>
					<ext-link ext-link-type="uri" xlink:href="http://dx.doi.org/10.1080/0964704X.2013.786295">http://dx.doi.org/10.1080/0964704X.2013.786295</ext-link>
				</element-citation>
			</ref>
			<ref id="B3">
				<label>3</label>
				<mixed-citation>3. Kato S, Takikawa M, Ishihara S, Yokoyama A, Kato M. Pathologic reappraisal of Wallenberg syndrome: A pathologic distribution study and analysis of literature. Yonago Acta Med. 2014;57(1):1-14.</mixed-citation>
				<element-citation publication-type="journal">
					<person-group person-group-type="author">
						<name>
							<surname>Kato</surname>
							<given-names>S</given-names>
						</name>
						<name>
							<surname>Takikawa</surname>
							<given-names>M</given-names>
						</name>
						<name>
							<surname>Ishihara</surname>
							<given-names>S</given-names>
						</name>
						<name>
							<surname>Yokoyama</surname>
							<given-names>A</given-names>
						</name>
						<name>
							<surname>Kato</surname>
							<given-names>M</given-names>
						</name>
					</person-group>
					<article-title>Pathologic reappraisal of Wallenberg syndrome: A pathologic distribution study and analysis of literature</article-title>
					<source>Yonago Acta Med</source>
					<year>2014</year>
					<volume>57</volume>
					<issue>1</issue>
					<fpage>1</fpage>
					<lpage>14</lpage>
				</element-citation>
			</ref>
			<ref id="B4">
				<label>4</label>
				<mixed-citation>4. Lee MJ, Park YG, Kim SJ, Lee JJ, Bang OY, Kim JS. Characteristics of stroke mechanisms in patients with medullary infarction. Eur J Neurol. 2012;19(11): 1433-39. <ext-link ext-link-type="uri" xlink:href="http://dx.doi.org/10.1111/j.1468-1331.2012.03722.x">http://dx.doi.org/10.1111/j.1468-1331.2012.03722.x</ext-link></mixed-citation>
				<element-citation publication-type="journal">
					<person-group person-group-type="author">
						<name>
							<surname>Lee</surname>
							<given-names>MJ</given-names>
						</name>
						<name>
							<surname>Park</surname>
							<given-names>YG</given-names>
						</name>
						<name>
							<surname>Kim</surname>
							<given-names>SJ</given-names>
						</name>
						<name>
							<surname>Lee</surname>
							<given-names>JJ</given-names>
						</name>
						<name>
							<surname>Bang</surname>
							<given-names>OY</given-names>
						</name>
						<name>
							<surname>Kim</surname>
							<given-names>JS</given-names>
						</name>
					</person-group>
					<article-title>Characteristics of stroke mechanisms in patients with medullary infarction</article-title>
					<source>Eur J Neurol</source>
					<year>2012</year>
					<volume>19</volume>
					<issue>11</issue>
					<fpage>1433</fpage>
					<lpage>1439</lpage>
					<ext-link ext-link-type="uri" xlink:href="http://dx.doi.org/10.1111/j.1468-1331.2012.03722.x">http://dx.doi.org/10.1111/j.1468-1331.2012.03722.x</ext-link>
				</element-citation>
			</ref>
			<ref id="B5">
				<label>5</label>
				<mixed-citation>5. Kim JS, Lee JH, Choi CG. Patterns of lateral medullary infarction: Vascular lesion magnetic resonance imaging correlation of 34 cases. Stroke.1998;29(3): 645-52.</mixed-citation>
				<element-citation publication-type="journal">
					<person-group person-group-type="author">
						<name>
							<surname>Kim</surname>
							<given-names>JS</given-names>
						</name>
						<name>
							<surname>Lee</surname>
							<given-names>JH</given-names>
						</name>
						<name>
							<surname>Choi</surname>
							<given-names>CG</given-names>
						</name>
					</person-group>
					<article-title>Patterns of lateral medullary infarction: Vascular lesion magnetic resonance imaging correlation of 34 cases</article-title>
					<source>Stroke</source>
					<year>1998</year>
					<volume>29</volume>
					<issue>3</issue>
					<fpage>645</fpage>
					<lpage>652</lpage>
				</element-citation>
			</ref>
			<ref id="B6">
				<label>6</label>
				<mixed-citation>6. Opalski A. A new sub-bulbar syndrome: Partial syndrome of the posterior vertebrospinal artery. Paris Medical. 1946:214-220.</mixed-citation>
				<element-citation publication-type="journal">
					<person-group person-group-type="author">
						<name>
							<surname>Opalski</surname>
							<given-names>A</given-names>
						</name>
					</person-group>
					<article-title>A new sub-bulbar syndrome: Partial syndrome of the posterior vertebrospinal artery</article-title>
					<source>Paris Medical</source>
					<year>1946</year>
					<fpage>214</fpage>
					<lpage>220</lpage>
				</element-citation>
			</ref>
			<ref id="B7">
				<label>7</label>
				<mixed-citation>7. Polo G. Opalski syndrome: A variant of lateral-medullary syndrome. Neurologia. 2013; 28(6):382-84.</mixed-citation>
				<element-citation publication-type="journal">
					<person-group person-group-type="author">
						<name>
							<surname>Polo</surname>
							<given-names>G</given-names>
						</name>
					</person-group>
					<article-title>Opalski syndrome: A variant of lateral-medullary syndrome</article-title>
					<source>Neurologia</source>
					<year>2013</year>
					<volume>28</volume>
					<issue>6</issue>
					<fpage>382</fpage>
					<lpage>384</lpage>
				</element-citation>
			</ref>
			<ref id="B8">
				<label>8</label>
				<mixed-citation>8. Parathan KK, Kannan R, Chitrambalam P, Aiyappan SK, Deepthi N. A rare variant of Wallenberg's syndrome: Opalski syndrome. J Clin Diagnostic Res. 2014;8(7):5-6. <ext-link ext-link-type="uri" xlink:href="http://dx.doi.org/10.7860/JCDR/2014/9547.4626">http://dx.doi.org/10.7860/JCDR/2014/9547.4626</ext-link></mixed-citation>
				<element-citation publication-type="journal">
					<person-group person-group-type="author">
						<name>
							<surname>Parathan</surname>
							<given-names>KK</given-names>
						</name>
						<name>
							<surname>Kannan</surname>
							<given-names>R</given-names>
						</name>
						<name>
							<surname>Chitrambalam</surname>
							<given-names>P</given-names>
						</name>
						<name>
							<surname>Aiyappan</surname>
							<given-names>SK</given-names>
						</name>
						<name>
							<surname>Deepthi</surname>
							<given-names>N</given-names>
						</name>
					</person-group>
					<article-title>A rare variant of Wallenberg's syndrome: Opalski syndrome</article-title>
					<source>J Clin Diagnostic Res</source>
					<year>2014</year>
					<volume>8</volume>
					<issue>7</issue>
					<fpage>5</fpage>
					<lpage>6</lpage>
					<ext-link ext-link-type="uri" xlink:href="http://dx.doi.org/10.7860/JCDR/2014/9547.4626">http://dx.doi.org/10.7860/JCDR/2014/9547.4626</ext-link>
				</element-citation>
			</ref>
			<ref id="B9">
				<label>9</label>
				<mixed-citation>9. Nakamura S, Kitami M, Furukawa Y. Opalski syndrome: Ipsilateral hemiplegia due to a lateral-medullary infarction. Neurology. 2010;75(18):16-58. WNL.0b013e3181fb4479. <ext-link ext-link-type="uri" xlink:href="http://dx.doi.org/10.1212/">http://dx.doi.org/10.1212/</ext-link></mixed-citation>
				<element-citation publication-type="journal">
					<person-group person-group-type="author">
						<name>
							<surname>Nakamura</surname>
							<given-names>S</given-names>
						</name>
						<name>
							<surname>Kitami</surname>
							<given-names>M</given-names>
						</name>
						<name>
							<surname>Furukawa</surname>
							<given-names>Y</given-names>
						</name>
					</person-group>
					<article-title>Opalski syndrome: Ipsilateral hemiplegia due to a lateral-medullary infarction</article-title>
					<source>Neurology</source>
					<year>2010</year>
					<volume>75</volume>
					<issue>18</issue>
					<fpage>16</fpage>
					<lpage>58</lpage>
					<comment>WNL.0b013e3181fb4479</comment>
					<ext-link ext-link-type="uri" xlink:href="http://dx.doi.org/10.1212/">http://dx.doi.org/10.1212/</ext-link>
				</element-citation>
			</ref>
			<ref id="B10">
				<label>10</label>
				<mixed-citation>10. Deshpande A, Shetty A, Pai AR, Rao S. Abnormal brain MRI diffusion-weighted imaging in a case of Opalski syndrome. BMJ Case Rep. 2014;2014:1-2. <ext-link ext-link-type="uri" xlink:href="http://dx.doi.org/10.1136/bcr-2013-201695">http://dx.doi.org/10.1136/bcr-2013-201695</ext-link></mixed-citation>
				<element-citation publication-type="journal">
					<person-group person-group-type="author">
						<name>
							<surname>Deshpande</surname>
							<given-names>A</given-names>
						</name>
						<name>
							<surname>Shetty</surname>
							<given-names>A</given-names>
						</name>
						<name>
							<surname>Pai</surname>
							<given-names>AR</given-names>
						</name>
						<name>
							<surname>Rao</surname>
							<given-names>S</given-names>
						</name>
					</person-group>
					<article-title>Abnormal brain MRI diffusion-weighted imaging in a case of Opalski syndrome</article-title>
					<source>BMJ Case Rep</source>
					<year>2014</year>
					<volume>2014</volume>
					<fpage>1</fpage>
					<lpage>2</lpage>
					<ext-link ext-link-type="uri" xlink:href="http://dx.doi.org/10.1136/bcr-2013-201695">http://dx.doi.org/10.1136/bcr-2013-201695</ext-link>
				</element-citation>
			</ref>
			<ref id="B11">
				<label>11</label>
				<mixed-citation>11. Kimura Y, Hashimoto H, Tagaya M, Abe Y, Etani H. Ipsilateral hemiplegia in a lateral medullary infarct-Opalski's syndrome. J Neuroimaging. 2003;13(1):83-84.</mixed-citation>
				<element-citation publication-type="journal">
					<person-group person-group-type="author">
						<name>
							<surname>Kimura</surname>
							<given-names>Y</given-names>
						</name>
						<name>
							<surname>Hashimoto</surname>
							<given-names>H</given-names>
						</name>
						<name>
							<surname>Tagaya</surname>
							<given-names>M</given-names>
						</name>
						<name>
							<surname>Abe</surname>
							<given-names>Y</given-names>
						</name>
						<name>
							<surname>Etani</surname>
							<given-names>H</given-names>
						</name>
					</person-group>
					<article-title>Ipsilateral hemiplegia in a lateral medullary infarct-Opalski's syndrome</article-title>
					<source>J Neuroimaging</source>
					<year>2003</year>
					<volume>13</volume>
					<issue>1</issue>
					<fpage>83</fpage>
					<lpage>84</lpage>
				</element-citation>
			</ref>
			<ref id="B12">
				<label>12</label>
				<mixed-citation>12. Bailon O, Garcia PY, Logak M, Timsit S. Opalski syndrome detected on DWI MRI: A rare lateral medullary infarction. Case report and review. Rev Neurol.2011;167 (2):177-180. <ext-link ext-link-type="uri" xlink:href="http://dx.doi.org/10.1016/j.neurol.2010.07.020">http://dx.doi.org/10.1016/j.neurol.2010.07.020</ext-link>.</mixed-citation>
				<element-citation publication-type="journal">
					<person-group person-group-type="author">
						<name>
							<surname>Bailon</surname>
							<given-names>O</given-names>
						</name>
						<name>
							<surname>Garcia</surname>
							<given-names>PY</given-names>
						</name>
						<name>
							<surname>Logak</surname>
							<given-names>M</given-names>
						</name>
						<name>
							<surname>Timsit</surname>
							<given-names>S</given-names>
						</name>
					</person-group>
					<article-title>Opalski syndrome detected on DWI MRI: A rare lateral medullary infarction. Case report and review</article-title>
					<source>Rev Neurol</source>
					<year>2011</year>
					<volume>167</volume>
					<issue>2</issue>
					<fpage>177</fpage>
					<lpage>180</lpage>
					<ext-link ext-link-type="uri" xlink:href="http://dx.doi.org/10.1016/j.neurol.2010.07.020">http://dx.doi.org/10.1016/j.neurol.2010.07.020</ext-link>
				</element-citation>
			</ref>
			<ref id="B13">
				<label>13</label>
				<mixed-citation>13. García-García J, Ayo-Martín O, Segura T. Lateral medullary syndrome and ipsilateral hemiplegia (Opalski syndrome) due to left vertebral artery dissection. Arch Neurol. 2009;66(12):1574-75. <ext-link ext-link-type="uri" xlink:href="http://dx.doi.org/10.1001/archneurol.2009.268">http://dx.doi.org/10.1001/archneurol.2009.268</ext-link></mixed-citation>
				<element-citation publication-type="journal">
					<person-group person-group-type="author">
						<name>
							<surname>García-García</surname>
							<given-names>J</given-names>
						</name>
						<name>
							<surname>Ayo-Martín</surname>
							<given-names>O</given-names>
						</name>
						<name>
							<surname>Segura</surname>
							<given-names>T</given-names>
						</name>
					</person-group>
					<article-title>Lateral medullary syndrome and ipsilateral hemiplegia (Opalski syndrome) due to left vertebral artery dissection</article-title>
					<source>Arch Neurol</source>
					<year>2009</year>
					<volume>66</volume>
					<issue>12</issue>
					<fpage>1574</fpage>
					<lpage>1575</lpage>
					<ext-link ext-link-type="uri" xlink:href="http://dx.doi.org/10.1001/archneurol.2009.268">http://dx.doi.org/10.1001/archneurol.2009.268</ext-link>
				</element-citation>
			</ref>
			<ref id="B14">
				<label>14</label>
				<mixed-citation>14. Dembo T, Tanahashi N. Opalski syndrome caused by vertebral artery compression of the lateral surface of the medulla oblongata. Intern Med. 2013;52 (10):1115-20.</mixed-citation>
				<element-citation publication-type="journal">
					<person-group person-group-type="author">
						<name>
							<surname>Dembo</surname>
							<given-names>T</given-names>
						</name>
						<name>
							<surname>Tanahashi</surname>
							<given-names>N</given-names>
						</name>
					</person-group>
					<article-title>Opalski syndrome caused by vertebral artery compression of the lateral surface of the medulla oblongata</article-title>
					<source>Intern Med</source>
					<year>2013</year>
					<volume>52</volume>
					<issue>10</issue>
					<fpage>1115</fpage>
					<lpage>1120</lpage>
				</element-citation>
			</ref>
			<ref id="B15">
				<label>15</label>
				<mixed-citation>15. Montaner J, Alvarez-Sabín J. Opalski's syndrome. J Neurol Neurosurg Psychiatry. 1999;67(5):688-89.</mixed-citation>
				<element-citation publication-type="journal">
					<person-group person-group-type="author">
						<name>
							<surname>Montaner</surname>
							<given-names>J</given-names>
						</name>
						<name>
							<surname>Alvarez-Sabín</surname>
							<given-names>J</given-names>
						</name>
					</person-group>
					<article-title>Opalski's syndrome</article-title>
					<source>J Neurol Neurosurg Psychiatry</source>
					<year>1999</year>
					<volume>67</volume>
					<issue>5</issue>
					<fpage>688</fpage>
					<lpage>689</lpage>
				</element-citation>
			</ref>
			<ref id="B16">
				<label>16</label>
				<mixed-citation>16. Kim HY, Koh SH, Lee Kyu-Yong, Lee Young Joo et al. Opal-ski's syndrome with cerebellar infarction. J Clin Neurol. 2006; 2 (4): 276-278.</mixed-citation>
				<element-citation publication-type="journal">
					<person-group person-group-type="author">
						<name>
							<surname>Kim</surname>
							<given-names>HY</given-names>
						</name>
						<name>
							<surname>Koh</surname>
							<given-names>SH</given-names>
						</name>
						<name>
							<surname>Kyu-Yong</surname>
							<given-names>Lee</given-names>
						</name>
						<name>
							<surname>Joo</surname>
							<given-names>Lee Young</given-names>
						</name>
						<etal/>
					</person-group>
					<article-title>Opal-ski's syndrome with cerebellar infarction</article-title>
					<source>J Clin Neurol</source>
					<year>2006</year>
					<volume>2</volume>
					<issue>4</issue>
					<fpage>276</fpage>
					<lpage>278</lpage>
				</element-citation>
			</ref>
			<ref id="B17">
				<label>17</label>
				<mixed-citation>17. Guerrero GO, Araujo AB, Gómez PT, Muñoz J, González A, Arango G, et al. Opalski syndrome: reporte de caso. Acta Neurol Colomb. 2011;27(3):172-76.</mixed-citation>
				<element-citation publication-type="journal">
					<person-group person-group-type="author">
						<name>
							<surname>Guerrero</surname>
							<given-names>GO</given-names>
						</name>
						<name>
							<surname>Araujo</surname>
							<given-names>AB</given-names>
						</name>
						<name>
							<surname>Gómez</surname>
							<given-names>PT</given-names>
						</name>
						<name>
							<surname>Muñoz</surname>
							<given-names>J</given-names>
						</name>
						<name>
							<surname>González</surname>
							<given-names>A</given-names>
						</name>
						<name>
							<surname>Arango</surname>
							<given-names>G</given-names>
						</name>
						<etal/>
					</person-group>
					<article-title>Opalski syndrome: reporte de caso</article-title>
					<source>Acta Neurol Colomb</source>
					<year>2011</year>
					<volume>27</volume>
					<issue>3</issue>
					<fpage>172</fpage>
					<lpage>176</lpage>
				</element-citation>
			</ref>
		</ref-list>
		<fn-group>
			<fn fn-type="other" id="fn1">
				<label>CONTRIBUCIÓN DE LOS AUTORES</label>
				<p> Cristian Navarro, recolección de los datos e información del caso. Diseño y elaboración del artículo. Jaiver Macea, diseño y elaboración del artículo. Revisor de la discusión.</p>
			</fn>
		</fn-group>
	</back>
</article>