Acta Neurológica Colombiana
0120-8748
Asociación Colombiana de Neurología
https://doi.org/10.22379/24224022151

Recibido: 15 de junio de 2016; Aceptado: 27 de junio de 2017

Aspergilosis cerebral en un paciente postrasplante cardiaco: reporte de caso


Brain Aspergilosis after Cardiac Transplant: Case Report

A. Martínez-Serrano, (1)A. Pabon, (2)J. Mantilla-Hernández, (3)C. Guerrero Gómez, (4)F. Silva Sieger, (5)*

Adriana Marcela Serrano, Instituto Neurológico, Hospital Internacional de Colombia, Fundación Cardiovascular de Colombia, Colombia. Hospital Internacional de Colombia Fundación Cardiovascular de Colombia Colombia
Alexander Pabón, Instituto Neurológico, Hospital Internacional de Colombia, Fundación Cardiovascular de Colombia, Colombia. Hospital Internacional de Colombia Fundación Cardiovascular de Colombia Colombia
Julio César Mantilla-Hernández, Departamento de Patología Universidad Industrial de Santander, Colombia. Universidad Industrial de Santander Departamento de Patología Universidad Industrial de Santander Colombia
Carlos Fernando Guerrero Gómez, Servicio de Radiología, Instituto Cardiovascular, Hospital Internacional de Colombia, Fundación Cardiovascular de Colombia, Colombia. Hospital Internacional de Colombia Fundación Cardiovascular de Colombia Colombia
Federico Silva, Instituto Neurológico, Hospital Internacional de Colombia, Fundación Cardiovascular de Colombia, Colombia. Hospital Internacional de Colombia Fundación Cardiovascular de Colombia Colombia

Correspondencia: Federico A. Silva Sieger, federicosilva@fcv.org
Los autores manifiestan no tener conflictos de intereses en este estudio.

RESUMEN

Los pacientes trasplantados son susceptibles a complicaciones neurológicas derivadas entre otros aspectos, de las complicaciones mismas del procedimiento, el cuidado crítico que requieren los pacientes, y de los efectos secundarios a los medicamentos utilizados y el efecto inmunoderpresor de los mismos. Este último hace que los pacientes estén expuestos a infecciones oportunistas. Dentro de estas, las Infecciones del Sistema Nervioso Central en el paciente trasplantado constituyen un reto diagnóstico.

Dentro de los procesos infecciosos es importante tener en cuenta aquellos relacionados con hongos, especialmente en los 3 primeros meses posterior al trasplante.

Se presenta el caso de un paciente 67 años con antecedente de trasplante cardíaco, quien ingresa con un proceso febril y posterior compromiso neurológico.

PALABRAS CLAVES:

Aspergilosis, Neuroaspergilosis, Aspergilosis Invasiva del Sistema Nervioso Central, (DeCS).

SUMMARY

Transplanted patients are susceptible to neurological complications arising, among other things, from the complications of the procedure itself, the critical care, and the side effects to the medications used and the immunodepressive effect thereof. It's causes patients to be exposed to opportunistic infections. Within these, Central Nervous System Infections in the transplanted patient constitute a diagnostic challenge.

Within infectious processes it is important to take into account those related to fungi, especially in the first 3 months after transplantation.

We present the case of a 67 years old patient with a history of heart transplantation, which enters with a febrile process and subsequent neurological compromise.

KEY WORDS:

Neuroaspergillosis, Aspergillosis, Nervous System Invasive Aspergillosis, (MeSH).

INTRODUCCIÓN

Desde el primer trasplante de corazón realizado en 1967 por Christian Barnard 1, los avances en las técnicas quirúrgicas y en la eficacia y seguridad de la terapia inmuno-supresora han logrado aumentar las tasas de supervivencia en los últimos 10 años, del 80 % para el primer año y 73 % en cinco años 2. En Colombia, según datos del Instituto Nacional de Salud (INS), entre 1998 y el primer semestre de 2015 se realizaron 852 trasplantes cardíacos, con una tasa para el 2015 de 1,6 trasplantados por millón de habitantes (DANE, población proyectada 2015: 48.203.405) 3.

Las complicaciones neurológicas se asocian con una morbilidad significativa, y se conoce que cerca de un tercio de los receptores de trasplante experimentan alteraciones neurológicas con una incidencia que oscila del 10 % al 5 9 % 4. En el caso del trasplante de corazón, y teniendo en cuenta que las infecciones y el rechazo son los factores determinantes más importantes de la mortalidad, las complicaciones neurológicas se presentan entre un 50 % a 70 %, y el 20 % tiene como causa primaria de muerte una complicación neurológica 5.

Las infecciones del sistema nervioso central (SNC) en el paciente trasplantado, implican un reto diagnóstico y terapéutico, especialmente si se toma en cuenta que el reconocimiento y tratamiento oportuno, pueden mitigar las potenciales secuelas y en algunos casos evitar el desenlace fatal.

Se presenta el caso de un paciente con antecedente de trasplante cardíaco, quien ingresa con un proceso febril y posterior compromiso neurológico.

Presentación del caso clínico

Paciente masculino de 67 años a quien se le practicó trasplante cardiaco ortotópico por insuficiencia cardiaca refractaria de etiología chagásica, 64 días después ingresó por fiebre subjetiva asociada a astenia, adinamia y disminución de la fuerza en miembros inferiores. Al examen físico se encontró álgico, con palidez mucocutánea, taqui-cárdico, con hipoventilación y estertores en base pulmonar izquierda, edema escrotal, dolor testicular a la palpación y edema grado II en miembros inferiores. Al examen neurológico se encontraba alerta, bradipsiquia leve, temblor distal en miembros superiores de moderada amplitud tanto en reposo como de intención, sin rigidez ni bradiquinesia, fuerza en miembros inferiores de 4/5, marcha con leve aumento del polígono de sustentación. Ante estos hallazgos se hospitalizó, considerando inicialmente la posibilidad diagnóstica de efecto medicamentoso secundario al tacro-limus y epididimitis por lo cual se inició ciprofloxacina. Los niveles de tacrolimus en sangre fueron normales (11.3 ng/ ml). La tomografia computarizada (TC) de tórax mostró múltiples nódulos con diámetros de 5 y 21 mm, algunos de ellos de contornos espiculados con tendencia a la coa-lescencia en el aspecto medial de la língula, sugiriendo la posibilidad de neoplasia tipo linfoma versus infecciones oportunistas por hongos. Se realizó fibrobroncoscopia que mostró epitelio bronquial atrófico compatible con proceso inflamatorio crónico y en el lóbulo inferior derecho lesiones epiteliales "en empedrado", que en este contexto sugirió infección oportunista micótica por aspergillus, cryptococcus, candida o mucor, fue tratado con vancomicina, meropenem y caspofungina.

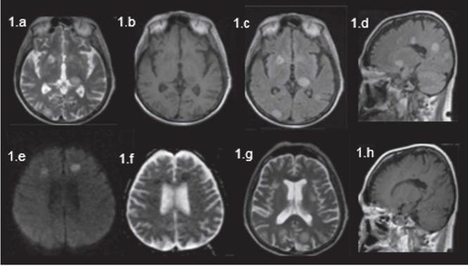
Al día 31 de hospitalización el paciente se observó con mayor deterioro general, inestabilidad hemodinámica y somnolencia, desorientación en tiempo y espacio. Se realizó TC cerebral evidenciando múltiples lesiones hipodensas intraaxiales supratentoriales redondeadas, de localización subcortical, en ganglios basales, tálamo izquierdo, y en sustancia blanca profunda, con diámetros entre 5 y 19 mm. La resonancia magnética (RM) contrastada mostró sutil realce en anillo en algunas lesiones luego de la administración del contraste paramagnético (figura 1). El citoquímico del líquido cefalorraquídeo (LCR) fue normal. Se inició anfote-ricina B ante la sospecha de infección micótica del sistema nervioso central (SNC).

Imágenes de resonancia magnética nuclear en equipo de 1,5 UT con cortes axiales en eco axial en Dwi (e), ADCwi (f), T2 (g), Sag T1 (h) identificando múltiples lesiones focales distribuidas indistintamente en los hemisferios cerebrales de aspecto inflamatorios de alta intensidad de señal en T2 y flair, baja señal en T1 con restricción de la difusión.

Figura 1: Imágenes de resonancia magnética nuclear en equipo de 1,5 UT con cortes axiales en eco axial en Dwi (e), ADCwi (f), T2 (g), Sag T1 (h) identificando múltiples lesiones focales distribuidas indistintamente en los hemisferios cerebrales de aspecto inflamatorios de alta intensidad de señal en T2 y flair, baja señal en T1 con restricción de la difusión.

El paciente continuó el deterioro general con inestabilidad hemodinámica y requerimiento de soporte vasopresor; el día 39 presentó mayor deterioro del estado de conciencia hasta el coma, al examen no había papiledema, las pupilas eran simétricas de 2,5 mm hiporeactivas a la luz, reflejo corneal disminuido bilateralmente con reflejos oculocefa-logiros limitados. No se observaron signos meníngeos, el tono muscular disminuido, no había Hoffman y la respuesta plantar era neutra. Al día 40 presentó paro cardiorrespira-torio y falleció.

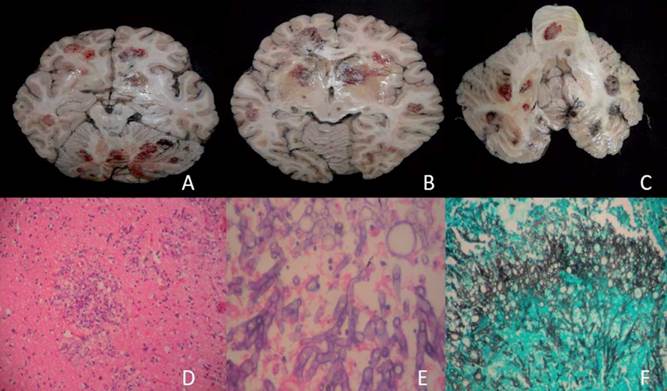
La necropsia mostró un cerebro edematoso con múltiples lesiones de forma irregular de aspecto necrótico y hemorrágico de 0,5 a 3 cm, distribuidas de manera difusa en el cerebelo, lóbulos frontales, parietales, temporales y occipitales. El estudio histopatológico evidenció en las zonas afectadas presencia de hifas grandes, de contorno tosco e irregular, que se bifurcaron en ángulo agudo, con morfología correspondiente a Aspergillus sp (figura 2).

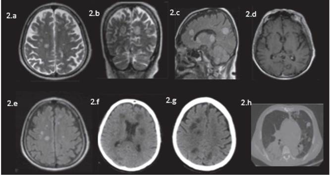
Imágenes de resonancia magnética nuclear en equipo de 1,5 UT con cortes axial en eco spin para T2 (a), coronal T (b), sagital flair (C), axial T1 post- contraste (D) axial flair (e), correlación en cortes tomográficos (f,g), corte axial tomográfico en parénquima pulmonar (h) identificando lesiones de alta intensidad de señal en T2 y flair, baja señal en T1 con restricción de la difusión sin actual captación de contraste, que en correlación tomográfica se representan con lesiones hipodensas focales edematosas múltiples y con curso clínico de nódulos parenquimatosos pulmonares concomitantes.

Figura 2: Imágenes de resonancia magnética nuclear en equipo de 1,5 UT con cortes axial en eco spin para T2 (a), coronal T (b), sagital flair (C), axial T1 post- contraste (D) axial flair (e), correlación en cortes tomográficos (f,g), corte axial tomográfico en parénquima pulmonar (h) identificando lesiones de alta intensidad de señal en T2 y flair, baja señal en T1 con restricción de la difusión sin actual captación de contraste, que en correlación tomográfica se representan con lesiones hipodensas focales edematosas múltiples y con curso clínico de nódulos parenquimatosos pulmonares concomitantes.

Como dato interesante el paciente había consultado 3 semanas antes por cuadro clínico de 3 días de evolución de fiebre subjetiva, malestar general y dolor dorsal derecho. En esta oportunidad no había ningún síntoma neurológico y el examen neurológico fue normal. Al examen se encontraron signos de consolidación en la base pulmonar derecha y la radiografía de tórax fue compatible con neumonía basal derecha, por lo que se inició vancomicina, amikacina y cefepime. La fibrobroncoscopia mostró candidiasis en orofaringe y laringe; la citología de lavado bronquial mostró proceso infeccioso por Cándida albicans y por Acinetobacter iwoffi. Al día 3 presentó falla renal aguda y se le trató con cefepime y caspofungina. Al día 5 hubo evolución favorable de la función renal, disminuyeron los signos de respuesta inflamatoria, y al día 15 se dio egreso con manejo de tacrolimus 6 mg/día, micofenolato 2 gr/ día, itraconazol 100 mg /día y prednisolona 20 mg/ día.

DISCUSIÓN

Los pacientes inmunocomprometidos incluyendo los receptores de trasplante cardiaco, están en riesgo de infecciones por hongos y otras infecciones oportunistas. La aspergilosis cerebral es una neuroinfección poco frecuente que afecta especialmente a pacientes inmunocomprome-tidos, con un diagnóstico que no es fácil y se asocia con una alta mortalidad 5. La incidencia de infección fúngica diseminada por aspergillus para los pacientes sometidos a trasplante de corazón es de 0,3 - 0,8 %, afecta comúnmente las vías respiratorias y hace diseminación por vía hemató-gena a cerebro, corazón, ojos y piel 6,7. El caso presentado tuvo un curso clínico inicial de sintomatología respiratoria, con posterior compromiso neurológico y finalmente falla multisistémica. La presentación de las infecciones fúngicas en el paciente trasplantado generalmente ocurren en los primeros tres meses en comparación con las infecciones por bacterias que son más frecuentes en las primeras semanas (figura 3) 8. Este caso concuerda en el tiempo de evolución descrito por la literatura, manifestándose a los 64 días postrasplante y a partir de un proceso pulmonar (figura 4).

Estudio anatomopatológico en cerebro

Figura 3: Estudio anatomopatológico en cerebro

Cronología de infecciones después del trasplante de corazón

Figura 4: Cronología de infecciones después del trasplante de corazón

Los pacientes en riesgo de aspergilosis invasiva (AI) son aquellos con neutropenia severa y prolongada, síndrome de inmunodeficiencia adquirida (SIDA), enfermedad gra-nulomatosa crónica, pacientes trasplantados, tratamiento con glucocorticoides y aquellos que han sido sometidos a quimioterapia. Además existen otros factores de riesgo que pueden precipitar la aparición temprana de AI, como el trasplante de urgencia, permanecer en UCI un mes antes del trasplante, terapia con esteroides o antimicrobianos el mes previo al trasplante, uso de catecolaminas 24 horas posterior al trasplante, estancia en la UCI más de 5 días postrasplante, ventilación mecánica 2 días previos al trasplante, retrasplante de urgencias, re intervención quirúrgica, falla renal postrasplante, hemodiálisis postrasplante, infección bacteriana postrasplante, infección por citomegalovirus (CMV) y anticuerpos monoclonales antiCD3 9. El caso reportado, tuvo varios de estos factores de riesgo como potenciales facilitadores de la aparición de AI.

Otro punto relevante es la dificultad que existe en el diagnóstico de las patologías infecciosas del SNC del paciente trasplantado, lo que hace que a menudo se diagnostiquen tardíamente, dada las características clínicas inespecíficas y la poca sensibilidad o especificidad de las pruebas diagnósticas. En el caso del reporte, el paciente fue diagnosticado y tratado como posible infección fúngica diseminada dado los factores de riesgo, el comportamiento y curso clínico insidioso, además los hallazgos en la fibrobroncoscopia lograron orientar el tratamiento. Para la AI la prueba de elección es la detección de antígenos de galactomananos en sangre llevados a cabo por ELISA doble sándwich con anticuerpos monoclonales 10. En el caso descrito no se realizó este examen de laboratorio.

En la resonancia magnética (RM) cerebral se describen tres patrones de compromiso por imágenes en pacientes con afección del SNC por aspergilosis:

  1. Múltiples áreas extensas corticales y subcorticales en T2 (con o sin hemorragia).

  2. Múltiples lesiones con realce anillo.

  3. Realce dural con lesiones adyacentes a los senos parana-sales, realce dural de la vaina del nervio óptico y la grasa orbital, que refleja la extensión directa de la enfermedad naso-sinusal 11.

Los estudios de RM cerebral del caso en estudio mostraron innumerables lesiones redondeadas de baja señal en secuencias potenciadas en T1 y alta señal en secuencias potenciadas en T2 y FLAIR, que comprometían tanto la fosa posterior como la región supratentorial, de predominio subcortical y en sustancia blanca, algunas de ellas también en núcleos de la base de ambos hemisferios y en la región talámica izquierda con diámetros entre 5 y 19 mm, y solo algunas de ellas presentaron un sutil realce en anillo sin edema perilesional, con alta señal en las secuencias de difusión y baja señal en los mapas de ADC.

Ante la complejidad del caso y la evolución natural de la enfermedad hacia la muerte, solo fue posible realizar el diagnostico etiológico definitivo a partir de histopatología post mórtem, a pesar de que varios estudios orientaban hacia una infección fúngica invasiva.

La terapia anti fúngica profiláctica y el uso de flujo de aire laminar (LAF) o de alta eficiencia para partículas de aire (HEPA) en las habitaciones de pacientes con trasplantes de médula ósea y otros pacientes de alto riesgo, pueden disminuir la incidencia de aspergilosis invasiva 12. En los pacientes con trasplantes de órganos sólidos, especialmente de pulmón en quienes el Aspergillus se cultiva a partir de esputo sin evidencia de neumonía (colonización), la anfoteri-cina B inhalada puede ser una alternativa terapéutica 12,13.

La Sociedad de Enfermedades Infecciosas de los Estados Unidos publicó las guías para el tratamiento de aspergi-losis invasiva en el 2008, y la Sociedad Americana de Tórax publicó las guías para el tratamiento de infecciones fúngicas pulmonares en adultos en el 2011, en las cuales recomiendan los polienos, los azoles y las equinocandinas 15,16.

El compromiso del SNC está asociado con la mortalidad más alta entre todas las distintas formas de AI. La evidencia respalda al voriconazol como tratamiento de primera elección para el manejo de la aspergilosis del SNC (evidencia A-I) 17. Otras alternativas son: el itraconazol (evidencia B-II), el posaconazol (evidencia B-II) o las formulaciones lipídicas de anfotericina (LFAB por su sigla en inglés) con evidencia A-II, como opciones en pacientes que presentan intolerancia o resistencia al voriconazol (evidencia B-III). El uso de las equinocandinas es menos aceptado y es considerado como último recurso en el tratamiento de la aspergilosis del SNC. De momento no se recomienda el tratamiento combinado primario como tratamiento de rutina ante la falta de evidencia clínica a pesar de que en algunos casos particulares se considere adicionar un segundo antimicótico en pacientes cuya enfermedad progresa a pesar del tratamiento con monoterapia 18. El tratamiento combinado de anti fúngicos azoles y anfotericina B, es controvertido porque los azoles compiten con los sitios de unión de la anfotericina y por lo tanto pueden disminuir su eficacia 18,19.

Debido a la alta mortalidad que presenta la aspergi-losis cerebral se ha planteado la resección quirúrgica de las lesiones infectadas como complemento importante para mejorar el tratamiento antimicótico (A-II). Diversas publicaciones destacan el papel de la resección quirúrgica en la aspergilosis del SNC (A-II) 19-21. La práctica de la quimioterapia antimicótica intratecal o intralesional no es recomendable en el tratamiento de la aspergilosis del SNC (evidencia B-III). La administración intratecal de la AMB no permite la penetración más allá de la piamadre y puede asociarse a aracnoiditis química, convulsiones, cefaleas intensas y alteraciones mentales 15.

El paciente del caso, en el primer ingreso a hospitalización presentó afección pulmonar, posiblemente ya por Aspergillus y recibió tratamiento con caspofungina. Se desconoce si algunos aspectos como el haber recibido tratamiento con antibióticos sistémicos pudieron contribuir a la progresión de la aspergilosis a AI o si el paciente tenía resistencia a la monoterapia. Sin embargo, se adicionó a la monoterapia la anfotericina B, pero a pesar del cubrimiento antimicótico la infección progreso hasta el desenlace mortal del caso.

CONCLUSIÓN

Este caso orienta sobre la importancia de sospechar clínicamente de las infecciones fúngicas del SNC como la aspergilosis en pacientes postrasplante cardiaco, especialmente en aquellos con síntomas pulmonares previos. Aunque el compromiso del SNC está asociado con la mortalidad más alta entre todas las distintas formas de AD, el tratamiento anti fúngico iniciado tempranamente puede contribuir a disminuir la mortalidad y mitigar el impacto de secuelas.